症例詳細
Case detail
インビザラインで機能面に問題のある歯列を改善
治療症例の内容
- 診療科目
- 治療カテゴリ
- 担当医
- 藤巻太一朗(ドクタープロフィール)
- 患者様
- 30代女性
- 矯正装置
- インビザライン
- 治療期間
- 1年8ヶ月
- 治療回数
- 10-30回
- 治療計画
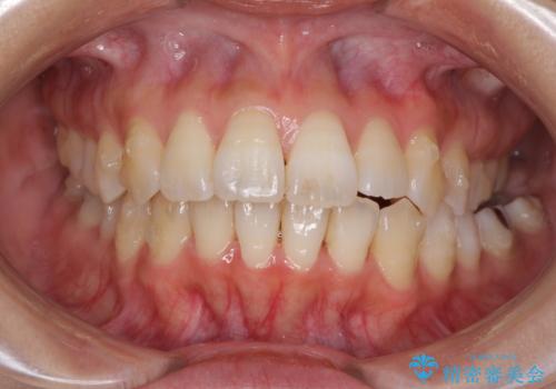
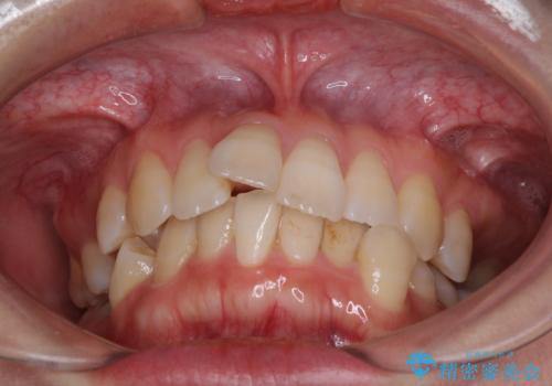
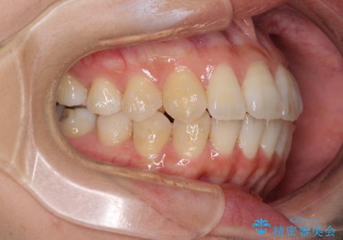
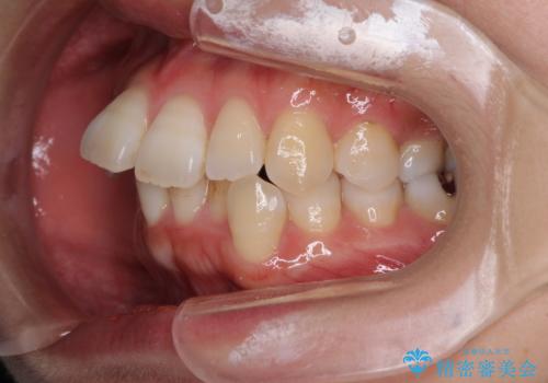
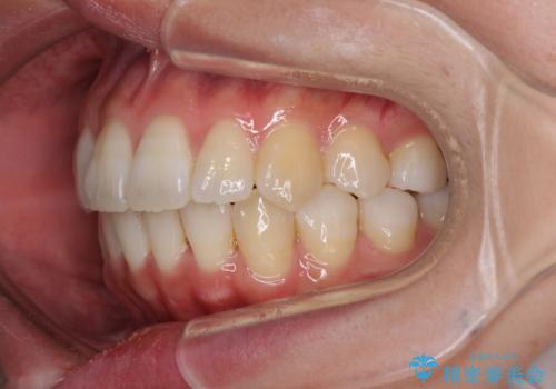
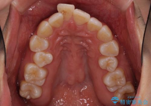
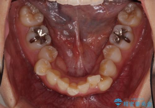
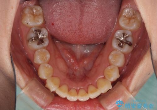
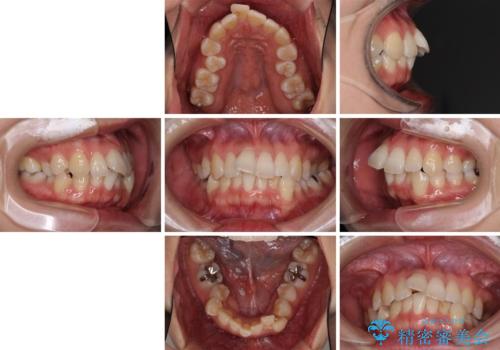
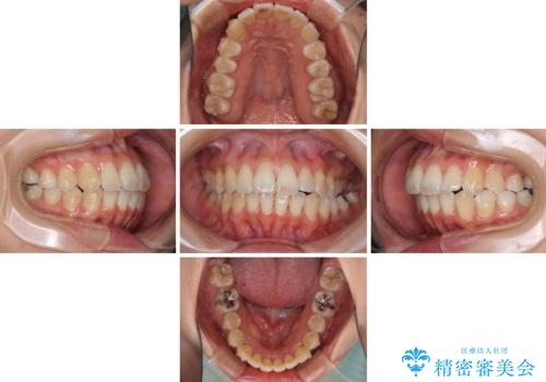
- 上下の歯の前後関係が乱れ、歯に負担がかかるとのことで来院された患者様です。
下顎が右左側に変位しているため、左側奥歯の咬み合わせが上下反対の関係となっていました。
また、上下ともに歯列が狭窄しており、奥歯以外にも反対咬合が認められました。
歯列全体の拡大と、歯と歯の間を削ることでスペースを獲得し、インビザラインによる矯正治療を行うこととしました。
- 費用(概算)
- 治療費の目安: 75万円費用は治療当時の料金となります
治療について
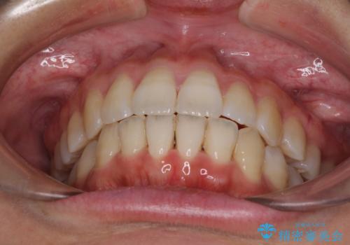
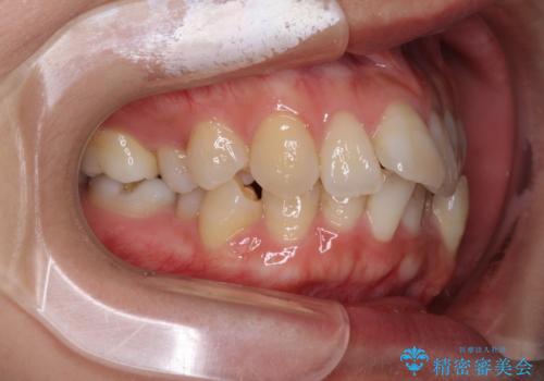
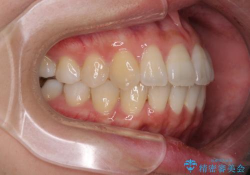
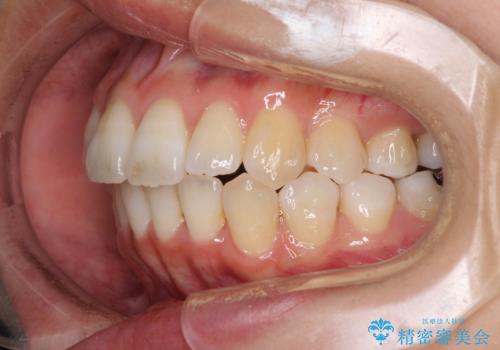
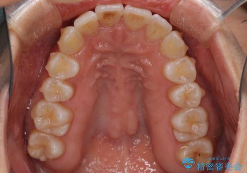
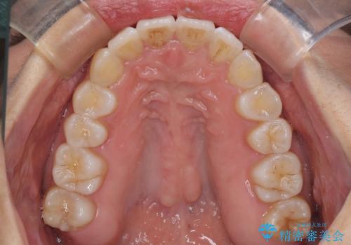
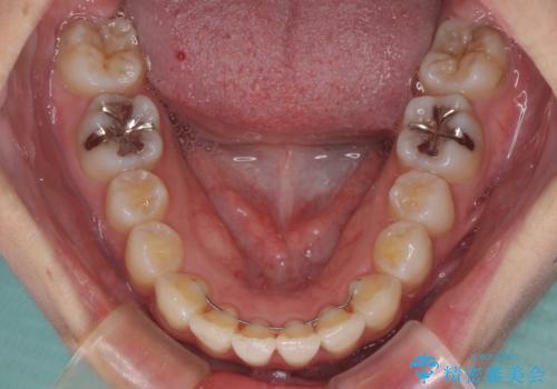
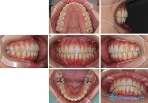
骨格的な問題を抱えた左奥以外は比較的早く咬み合わせが改善しましたが、左奥はどこで咬み合えば良いのか分からず、大変不便な思いをされていました。
ゴムかけにご協力いただき、最終的には反対咬合を改善することができ、患者様には大変満足していただきました。
マウスピース矯正の注意事項(リスク・副作用など)
- 口腔内・歯並びの状態によっては対応できない場合があります
- マウスピース型矯正装置の長時間装着(1日20時間以上)が必須です
- 治療計画通りに進めるためには、患者様の意志が重要になります
- 矯正治療後の保定が不十分だと後戻り(元の位置に戻ろうとする動き)をします
- 薬機法対象外の矯正歯科装置のため医薬品副作用被害救済制度の対象外となる場合があります
- 自費診療(保険適用外)となります
当サイトの内容、テキスト、画像等の無断転載、複製、複写、盗用を固く禁じます。




























