症例詳細
Case detail
横顔をすっきりさせたい 下の前歯が1本少ない方の変則的な抜歯矯正
治療症例の内容
- 診療科目
- 治療カテゴリ
- 担当医
- 患者様
- 20代女性
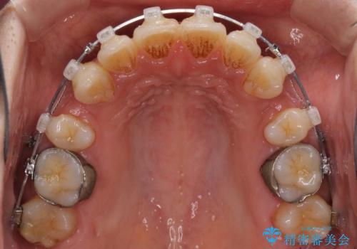
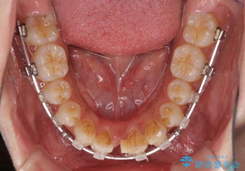
- 矯正装置
- クリアブラケット
- 治療期間
- 2年2ヶ月
- 治療回数
- 10-30回
- 治療計画
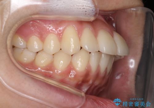
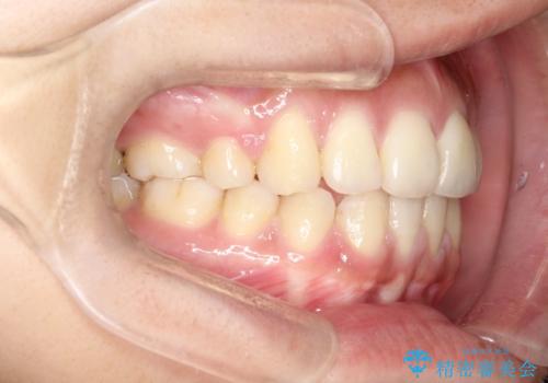
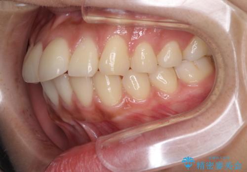
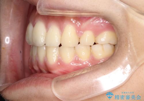
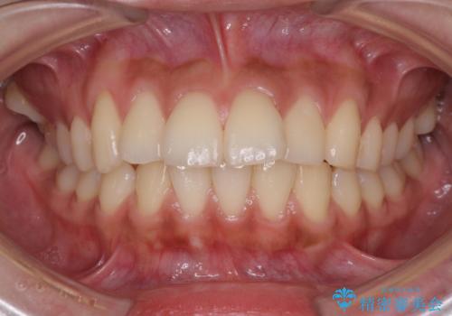
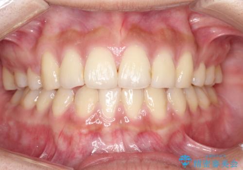
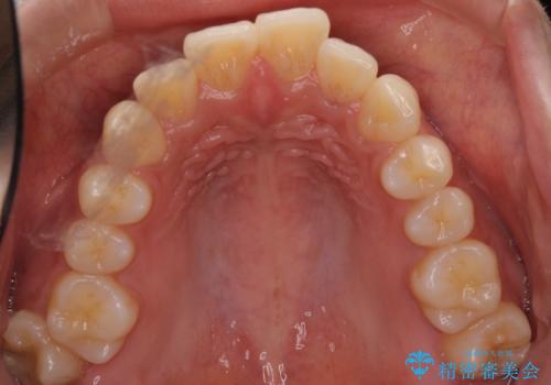
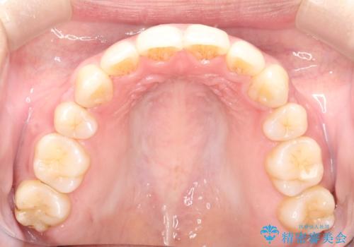
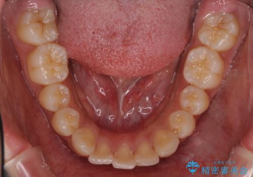
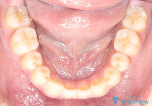
- 口元を引っ込めたいとのことで来院されました。
口元の突出感がありと、下顎の前歯が1本欠損していました。
上顎の前から両側の前から4番目の歯と、下あごの前歯を1本抜歯して、口元をすっきりさせる計画としました。
- 費用(概算)
- 約90万円費用は治療当時の料金となります
治療について
もともと大人の歯が欠損している方はたくさんいます。
その場合、事前の治療計画が重要となります。
ワイヤー矯正の注意事項(リスク・副作用など)
- 治療中は違和感や痛みが起こることがあります
- 症状により、抜歯が必要な場合があります
- 治療中は歯磨きがしにくくなるため、虫歯や歯周病になりやすくなります
- 矯正治療後の保定が不十分だと後戻り(元の位置に戻ろうとする動き)をします
- 自費診療(保険適用外)となります
当サイトの内容、テキスト、画像等の無断転載、複製、複写、盗用を固く禁じます。



















