症例詳細
Case detail
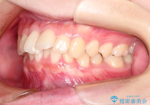
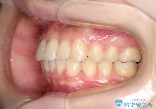
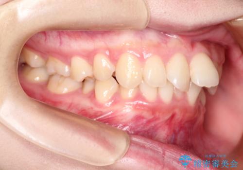
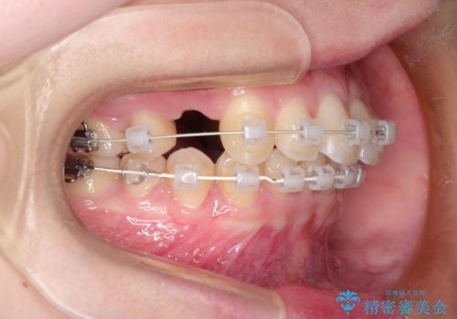
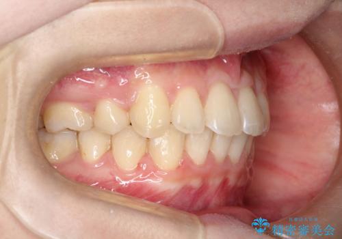
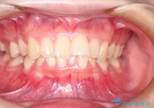
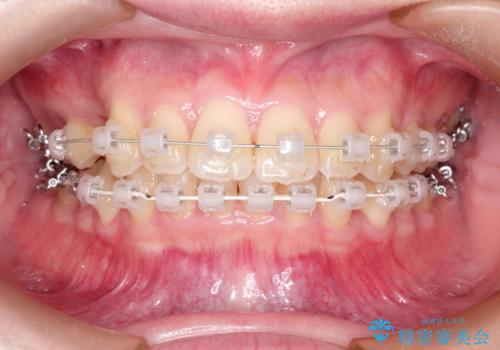
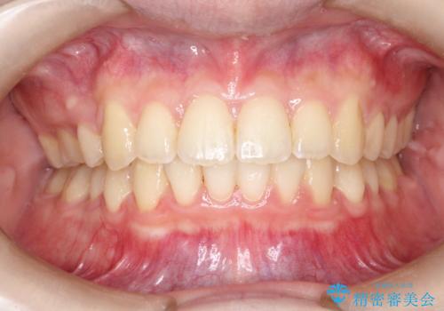
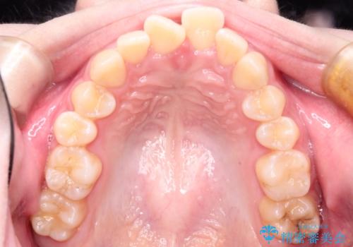
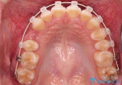
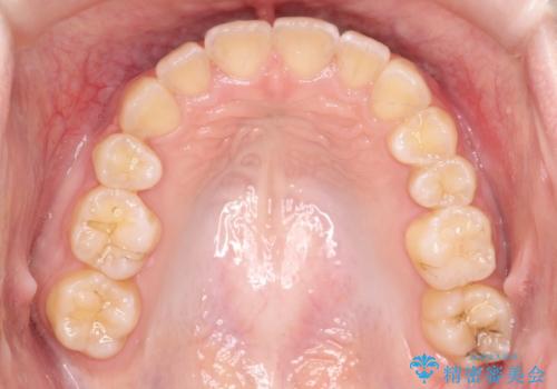
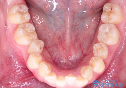
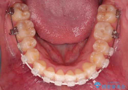
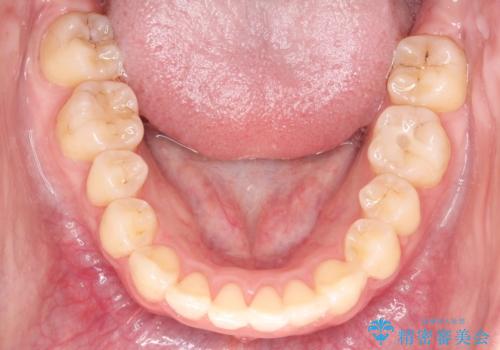
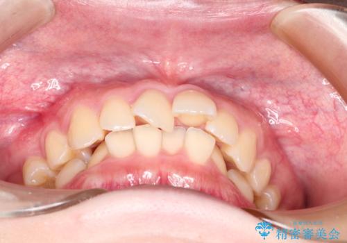
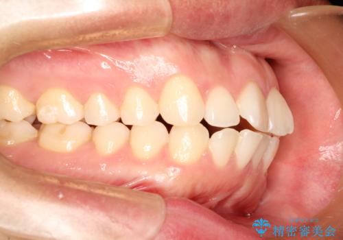
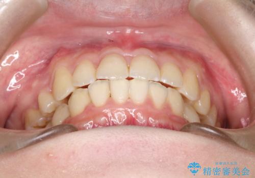
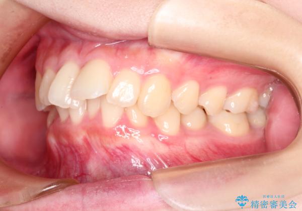
ワイヤーによる抜歯矯正 全体的なガタガタを整った歯並びへ
治療症例の内容
- 診療科目
- 担当医
- 患者様
- 20代女性
- 矯正装置
- 審美装置
- 治療期間
- 2年3ヶ月
- 治療回数
- 10-30回
- 治療計画
- 全体的なガタガタをきれいにしたいとのことで来院されました。
マウスピースとワイヤーの二つの方法で治療方法をご提案しましたが、マウスピースをつけられる自信がないとのことでワイヤー矯正となりました。
- 費用(概算)
- 約90万円費用は治療当時の料金となります
治療について
マウスピース矯正は装着時間が短いと、計画通り治療をすすめることが難しいことがあります。
ワイヤー矯正は患者様自身に協力していただくことはマウスピースに比べると、はるかに少ないです。
ワイヤー矯正の注意事項(リスク・副作用など)
- 治療中は違和感や痛みが起こることがあります
- 症状により、抜歯が必要な場合があります
- 治療中は歯磨きがしにくくなるため、虫歯や歯周病になりやすくなります
- 矯正治療後の保定が不十分だと後戻り(元の位置に戻ろうとする動き)をします
- 自費診療(保険適用外)となります
当サイトの内容、テキスト、画像等の無断転載、複製、複写、盗用を固く禁じます。



















