症例詳細
Case detail
治療したむし歯の再治療。セラミックにしたい!
治療症例の内容
- 診療科目
 
- 治療カテゴリ
 - 
                                      
 
- 担当医
 - 河口智英(ドクタープロフィール)
 
- 患者様
 - 30代女性
 
- 治療期間
 - 1ヶ月
 
- 治療回数
 - 2-5回
 
- 治療計画
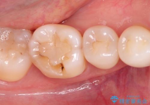
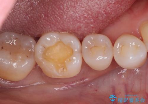
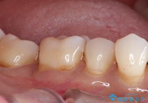
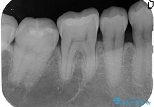
 - 以前治療した歯が欠けたことを主訴に来院されました。
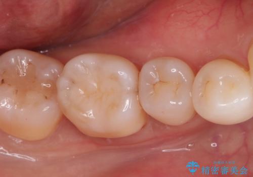
見た目もよく強度の高いものでの修復を希望されましたのでセラミックインレーにて修復しました。 
- 費用(概算)
 - 7万円費用は治療当時の料金となります
 
治療について
当院でのセラミックインレーは歯とのつなぎ目を拡大鏡で確認して精度高く仕上げるため、むし歯のリスクを限りなく少なくできるよう治療します。
セラミック治療の注意事項(リスク・副作用など)
- 天然歯を削ります
 - 硬い素材は天然歯を傷つけてしまう場合があります
 - かみ合わせや歯ぎしりが強すぎる方はセラミックが割れてしまう可能性があります
 - 自費診療(保険適用外治療)となります
 
当サイトの内容、テキスト、画像等の無断転載、複製、複写、盗用を固く禁じます。

                      
                                                          





