症例詳細
Case detail
老朽化したブリッジのやりかえ
治療症例の内容
- 診療科目
- 治療カテゴリ
- 担当医
- 大元洋佑(ドクタープロフィール)
- 患者様
- 50代女性
- 治療期間
- 2ヶ月
- 治療回数
- 2-5回
- 治療計画
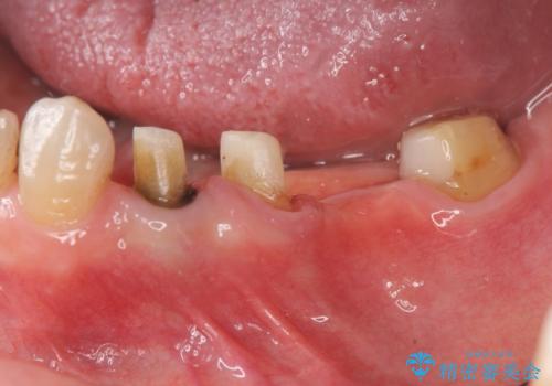
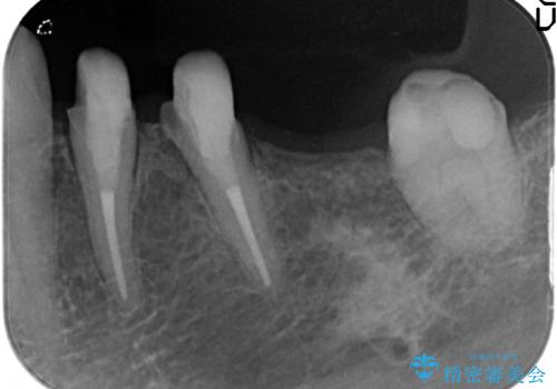
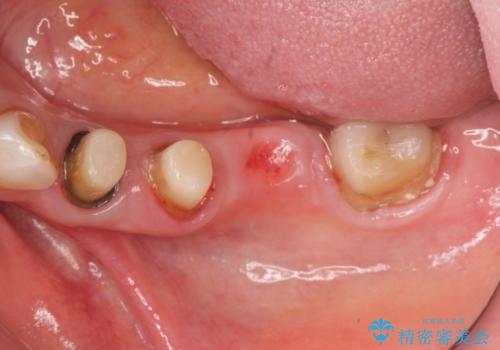
- 古くなり黒ずんできたブリッジのやりかえを希望され来院されました。
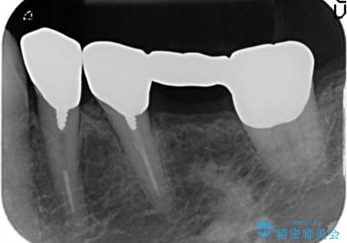
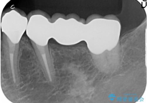
老朽化した銀パラジウム合金のブリッジを除去し、ジルコニア製のブリッジでやりかえを計画します。
- 費用(概算)
- 46万円(仮歯・ファイバーコア・ジルコニアクラウン×4)費用は治療当時の料金となります
メタルフリー治療について
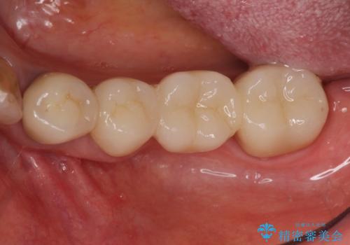
口腔内に金属色でないブリッジが入り、口を開けて笑うことがはずかしくなくなっと喜んでいただきました。
セラミック治療の注意事項(リスク・副作用など)
- 天然歯を削ります
- 硬い素材は天然歯を傷つけてしまう場合があります
- かみ合わせや歯ぎしりが強すぎる方はセラミックが割れてしまう可能性があります
- 自費診療(保険適用外治療)となります
当サイトの内容、テキスト、画像等の無断転載、複製、複写、盗用を固く禁じます。











