症例詳細
Case detail
割れた歯を引っ張り出す 右上と左上の虫歯治療
治療症例の内容
- 診療科目
- 担当医
- 患者様
- 20代男性
- 治療期間
- 7ヶ月
- 治療回数
- 5-10回
- 治療計画
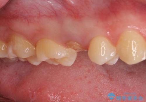
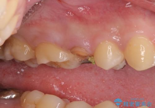
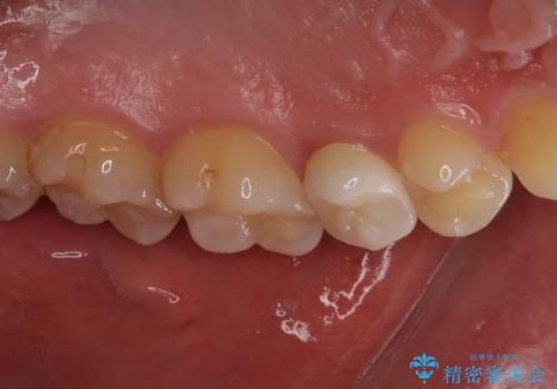
- 「左右どちらとも、どこかが痛む」とご来院された患者様です。
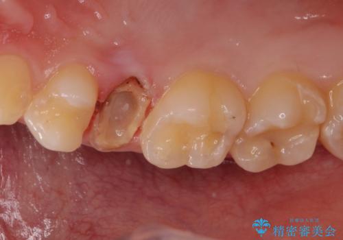
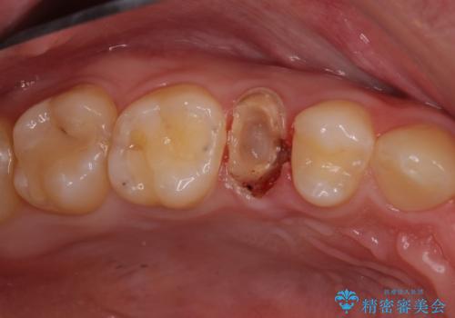
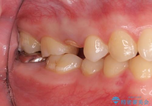
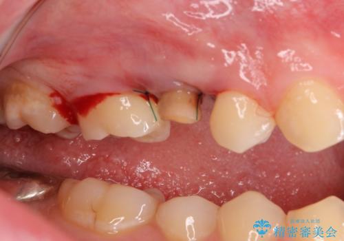
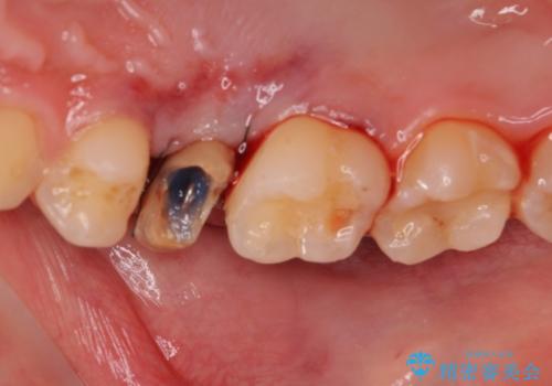
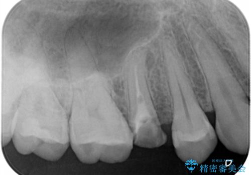
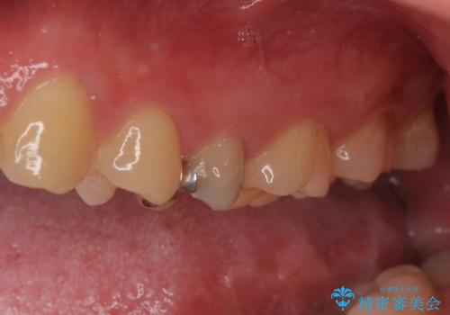
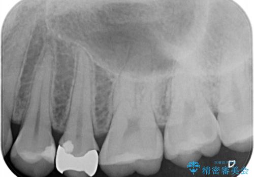
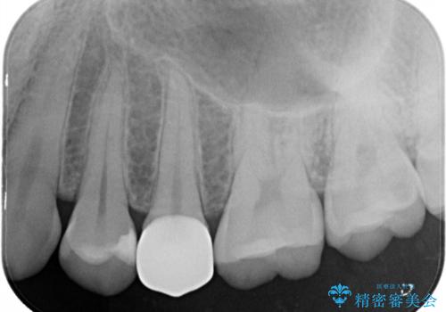
他院で虫歯治療を複数行っており、原因となりうる歯がいくつかありました。まずレントゲン上最もあやしい右上から治療開始しました。右上の歯は1本割れていたため、部分矯正で引っ張り出しました。
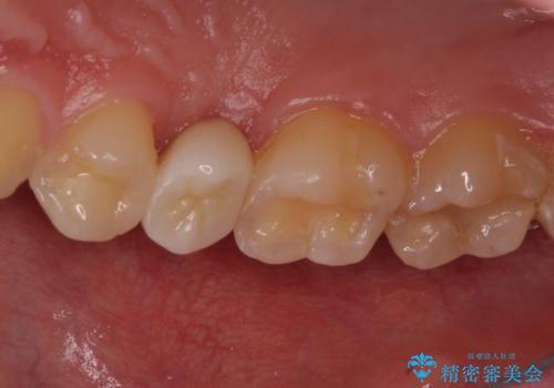
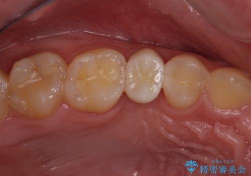
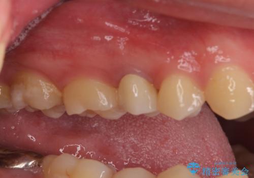
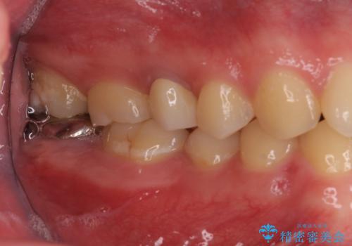
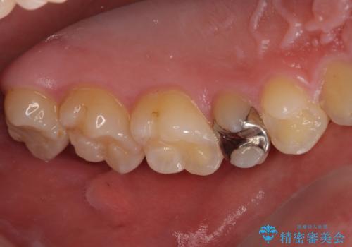
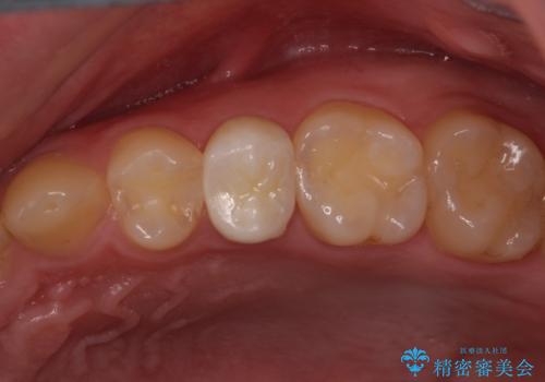
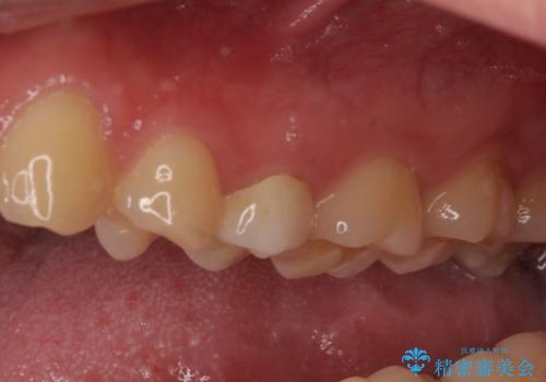
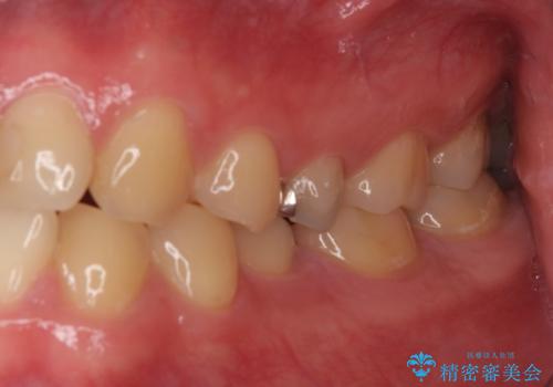
右上もう1本と左上は虫歯治療(セラミックインレー、セラミッククラウン)を行いました。
- 費用(概算)
- 45万円費用は治療当時の料金となります
治療詳細
他院で虫歯治療を複数行っており、原因となりうる歯がいくつかありました。まずレントゲン上最もあやしい右上から治療開始しました。
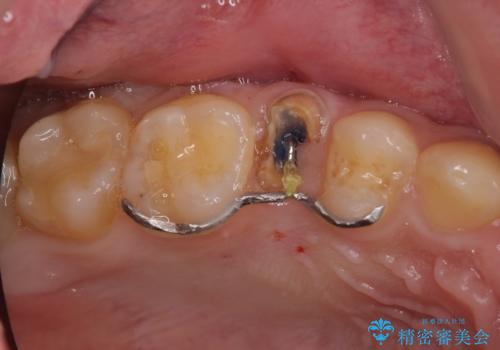
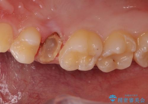
右上の被せものを除去したところ、中で歯が割れていたため、部分矯正で引っ張り出すことになりました。
歯を引っ張り出したり、歯肉の手術の経過待ちの間に、患者様のご希望で他の歯の虫歯治療も行いました。
痛いところがなくなり、患者様には大変満足して頂きました。
歯を引っ張り出す注意点
・基本的には失活歯(根管治療済の歯)が対象となります。
・約3か月ほど引っ張り出します。
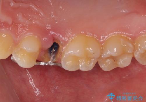
・両どなりの歯に一時的にワイヤーを接着します。
・十分に引っ張り出した後、歯肉の手術が必要となります。
・歯肉が落ち着いてから最終的な被せものの製作となります(約3か月)。
・歯の割れ方によっては引っ張り出す対象外となります(抜歯になります)。
セラミック治療の注意事項(リスク・副作用など)
- 天然歯を削ります
- 硬い素材は天然歯を傷つけてしまう場合があります
- かみ合わせや歯ぎしりが強すぎる方はセラミックが割れてしまう可能性があります
- 自費診療(保険適用外治療)となります
当サイトの内容、テキスト、画像等の無断転載、複製、複写、盗用を固く禁じます。






































