症例詳細
Case detail
以前治療歯の中が虫歯になっている気がする セラミッククラウンによる再補綴
治療症例の内容
- 診療科目
- 治療カテゴリ
- 担当医
- 患者様
- 30代女性
- 治療期間
- 1ヶ月
- 治療回数
- 2-5回
- 治療計画
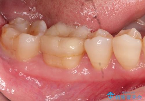
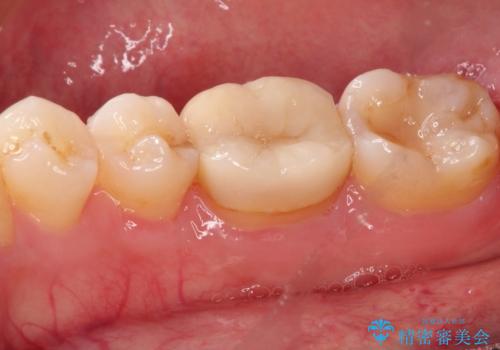
- 以前治療した右下の奥歯の歯の中が虫歯になっている気がするとのことで来院されました。
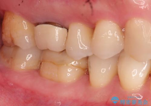
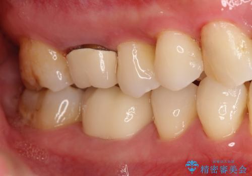
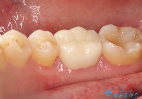
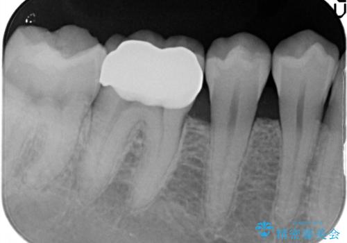
レントゲン上と視診上では確認できなかったのですが、患者様の希望もあり、一度かぶせ物を外して内部を確認し、オールセラミックを再度装着する計画としました。
- 費用(概算)
- 約11万円費用は治療当時の料金となります
治療について
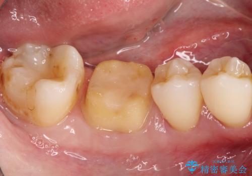
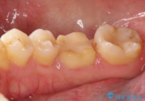
やはり内部では少量の虫歯がありましたので、拡大鏡使用して虫歯を除去しました。
虫歯の取り残した場合は将来的に再治療が高い確率で必要となります。
今回精度の高い治療を行うことで、再治療の可能性を限りになく小さくできました。
セラミック治療の注意事項(リスク・副作用など)
- 天然歯を削ります
- 硬い素材は天然歯を傷つけてしまう場合があります
- かみ合わせや歯ぎしりが強すぎる方はセラミックが割れてしまう可能性があります
- 自費診療(保険適用外治療)となります
当サイトの内容、テキスト、画像等の無断転載、複製、複写、盗用を固く禁じます。














