症例詳細
Case detail
口元が出てるの気になる、引っ込めたい ワイヤーによる抜歯矯正で横顔の改善
治療症例の内容
- 診療科目
- 治療カテゴリ
- 担当医
- 患者様
- 20代女性
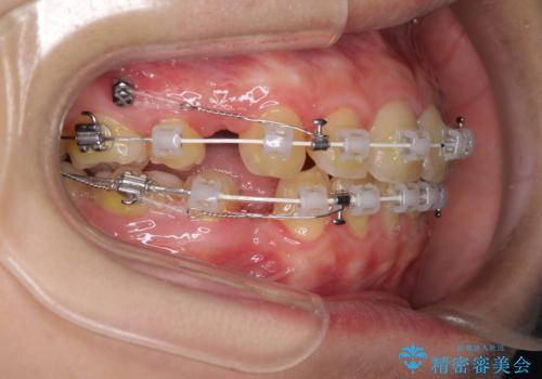
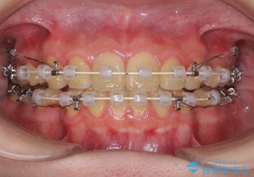
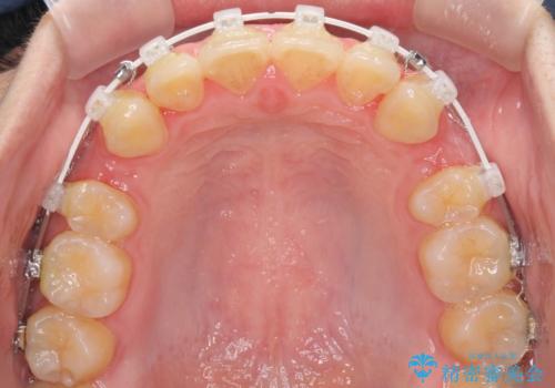
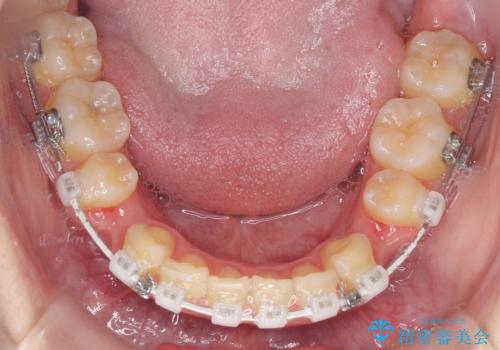
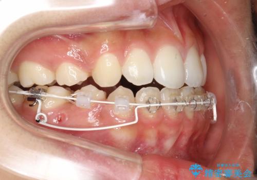
- 矯正装置
- 審美装置
- 治療期間
- 2年3ヶ月
- 治療回数
- 10-30回
- 治療計画
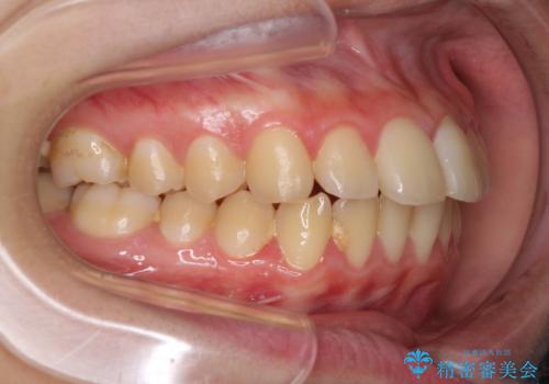
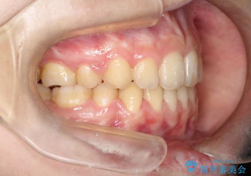
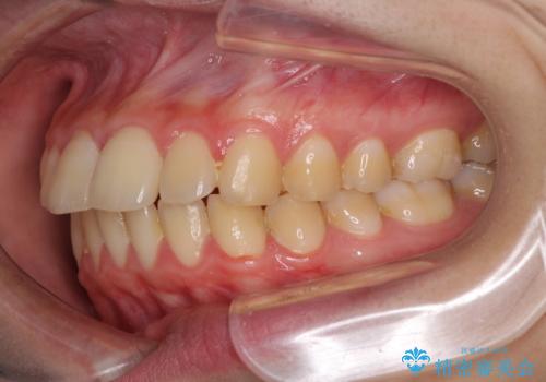
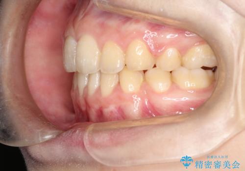
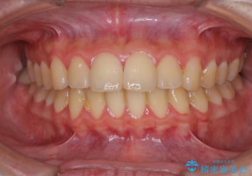
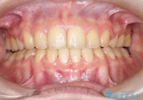
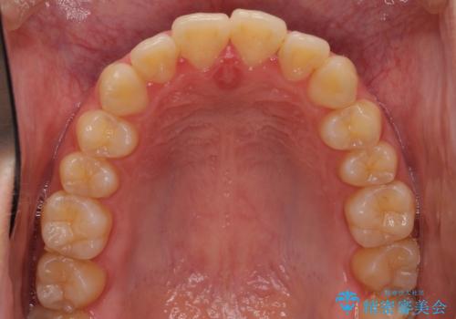
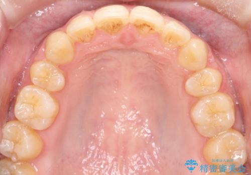
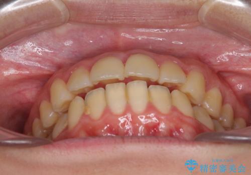
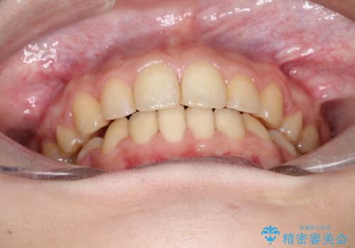
- 口元が出てるのが気になるとのことで来院されました。
歯のがたつきはあまりなかったのですが、口唇が閉じずらく、口元の突出感が確認できました。
上下左右の歯を1本ずつ抜歯して、そのスペースを利用して口元を引っ込める計画としました。
- 費用(概算)
- 約95万円費用は治療当時の料金となります
治療について
口元を下げて口唇を閉じやすくする場合、抜歯矯正をお勧めさせていただくことが多いです。
治療前には必ず患者様とよく相談させていただき、どのようなゴールにするか、それにはどんな治療が必要かをご理解していただいたうえで、治療を開始いたします。
ワイヤー矯正の注意事項(リスク・副作用など)
- 治療中は違和感や痛みが起こることがあります
- 症状により、抜歯が必要な場合があります
- 治療中は歯磨きがしにくくなるため、虫歯や歯周病になりやすくなります
- 矯正治療後の保定が不十分だと後戻り(元の位置に戻ろうとする動き)をします
- 自費診療(保険適用外)となります
当サイトの内容、テキスト、画像等の無断転載、複製、複写、盗用を固く禁じます。





















