症例詳細
Case detail
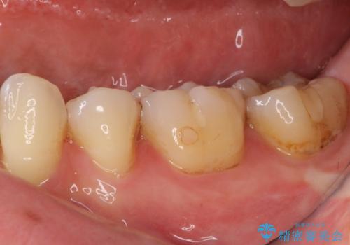
奥歯の虫歯をセラミックインレーにて修復治療
治療症例の内容
- 診療科目
- 治療カテゴリ
- 担当医
- 藤巻太一朗(ドクタープロフィール)
- 患者様
- 20代女性
- 治療期間
- 1ヶ月
- 治療回数
- 2-5回
- 治療計画
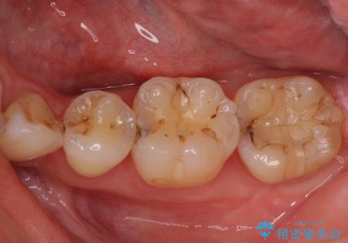
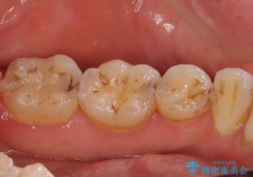
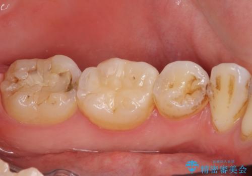
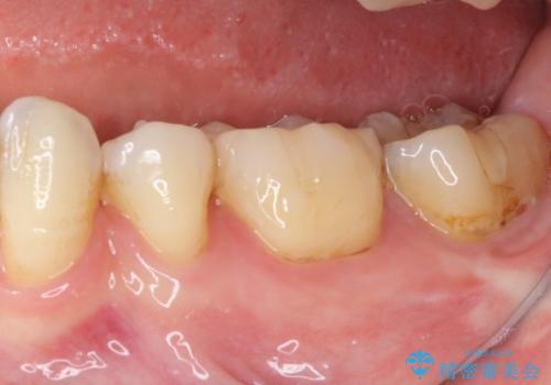
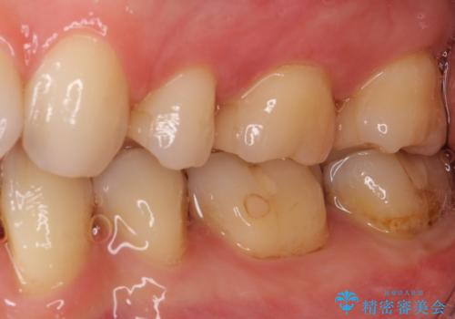
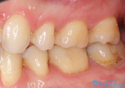
- 下の奥歯に虫歯ができてしまったとのことで来院された患者様です。
他にも気になる歯はありましたが、急を要する1歯のみをセラミックインレーにて修復治療を行うこととしました。
- 費用(概算)
- 治療費の目安: 7万円費用は治療当時の料金となります
治療について
奥歯において、隣の歯と接触する部分に虫歯が及んでしまった場合、その場で充填を行う処置(コンポジットレジン修復)ですと、充填の縁に大きなギャップが生じてしまう可能性が高く、2次的な虫歯を引き起こすことになります。
また、処置した歯の後方にある歯は保険診療で使用するレジンインレーが装着されていますが、縁に虫歯が出来はじめていることが分かります。
再治療が必要とならないようにするにはどうしたらよいか、担当医とよく相談されると良いと思います。
セラミック治療の注意事項(リスク・副作用など)
- 天然歯を削ります
- 硬い素材は天然歯を傷つけてしまう場合があります
- かみ合わせや歯ぎしりが強すぎる方はセラミックが割れてしまう可能性があります
- 自費診療(保険適用外治療)となります
当サイトの内容、テキスト、画像等の無断転載、複製、複写、盗用を固く禁じます。










