症例詳細
Case detail
インビザラインで整った口元に
治療症例の内容
- 診療科目
- 治療カテゴリ
- 担当医
- 藤巻太一朗(ドクタープロフィール)
- 患者様
- 30代男性
- 矯正装置
- インビザライン
- 治療期間
- 1年7ヶ月
- 治療回数
- 10-30回
- 治療計画
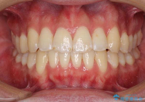
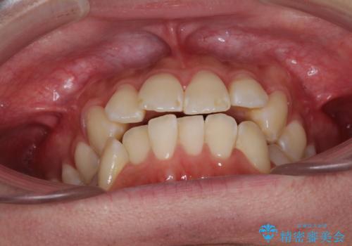
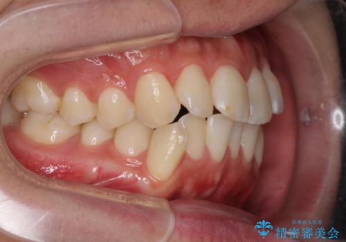
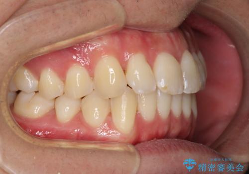
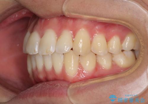
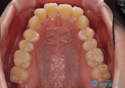
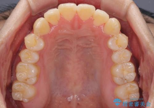
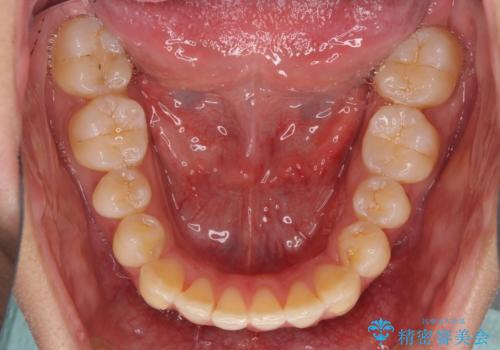
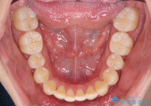
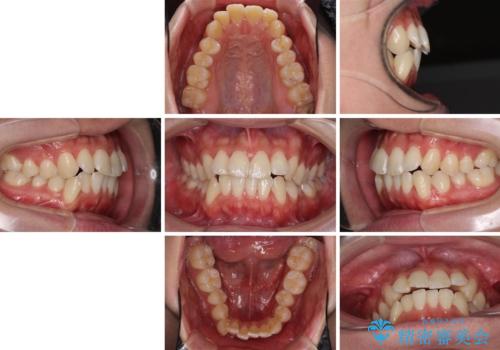
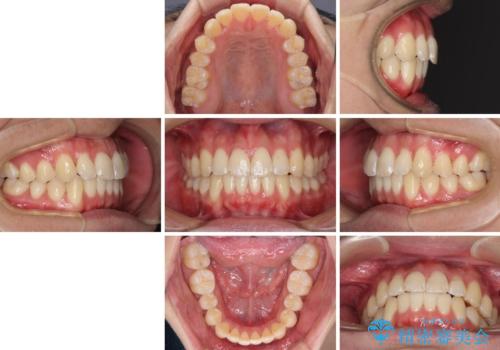
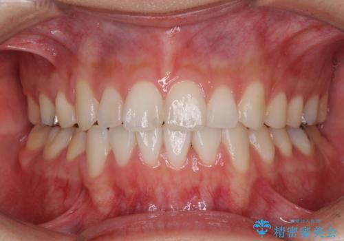
- 前歯のデコボコと若干口元が突出していることを気にして来院された患者様です。
 全体的に軽微な叢生が認められ、口元もやや前方に突出していたため、インビザラインでのIPR(歯と歯の間を削る)と歯列全体の後方移動によって歯並びを整えることとしました。
- 費用(概算)
- 治療費の目安: 75万円費用は治療当時の料金となります
治療について
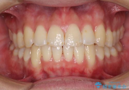
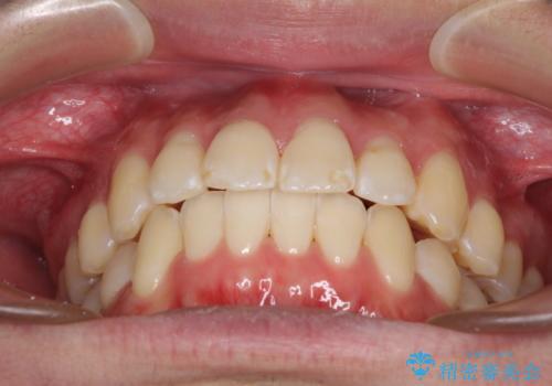
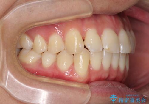
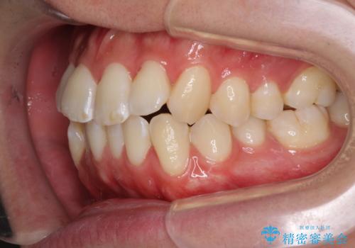
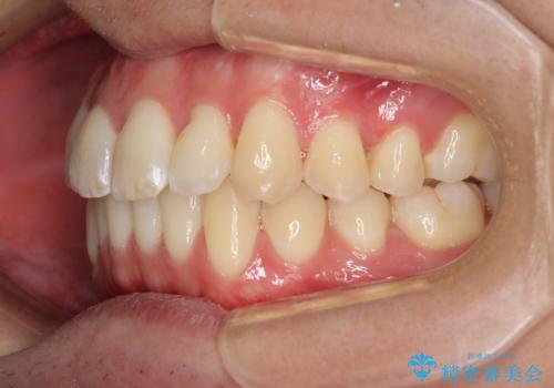
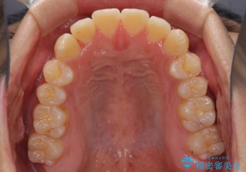
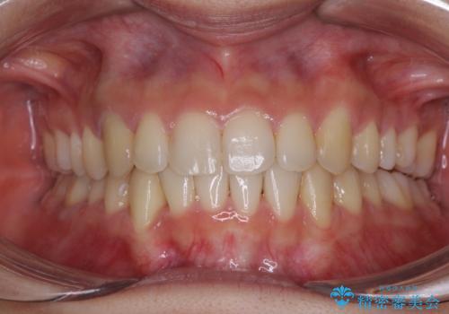
上下ともに歯列の幅が狭かったため、側方に拡大することで前歯のデコボコや突出感を解消するためのスペースを獲得することができました。
歯並びが改善したことはもちろん、咬み合わせの改善まで実感することができ、患者様には大変満足していただけました。
マウスピース矯正の注意事項(リスク・副作用など)
- 口腔内・歯並びの状態によっては対応できない場合があります
- マウスピース型矯正装置の長時間装着(1日20時間以上)が必須です
- 治療計画通りに進めるためには、患者様の意志が重要になります
- 矯正治療後の保定が不十分だと後戻り(元の位置に戻ろうとする動き)をします
- 薬機法対象外の矯正歯科装置のため医薬品副作用被害救済制度の対象外となる場合があります
- 自費診療(保険適用外)となります
当サイトの内容、テキスト、画像等の無断転載、複製、複写、盗用を固く禁じます。








 
                       
                                                          



























 
                   
                   
                  