症例詳細
Case detail
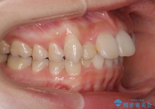
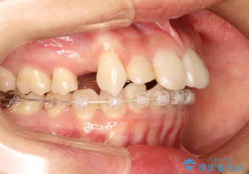
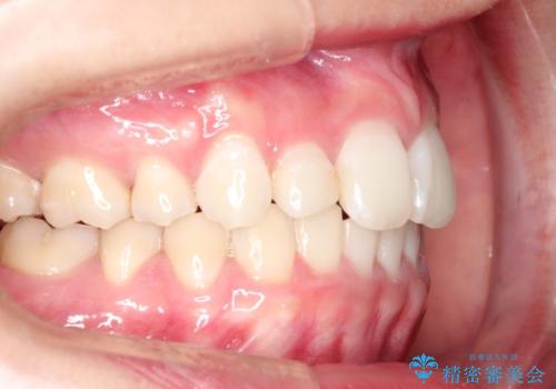
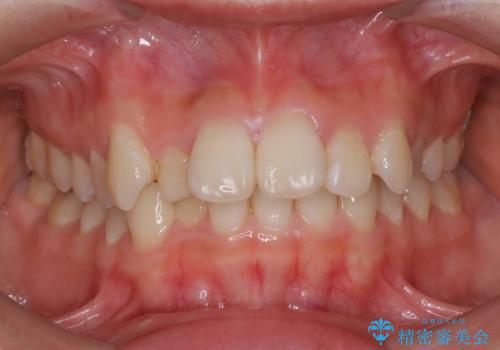
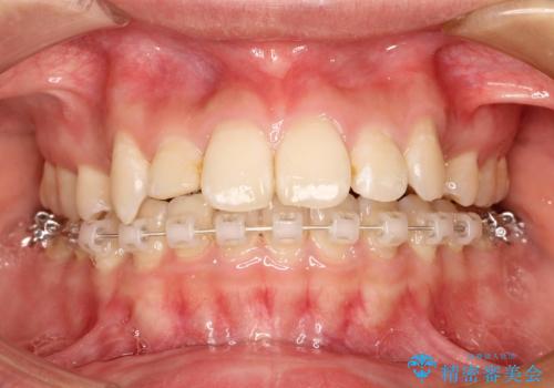
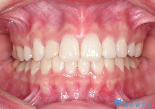
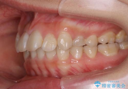
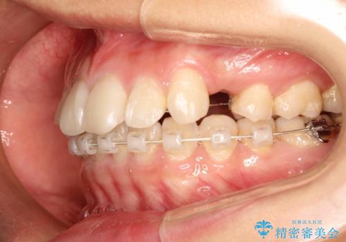
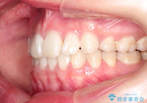
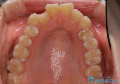
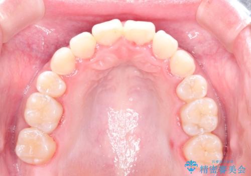
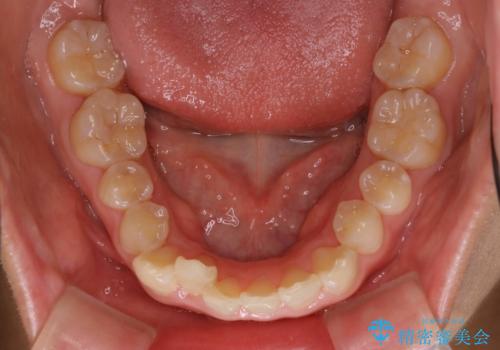
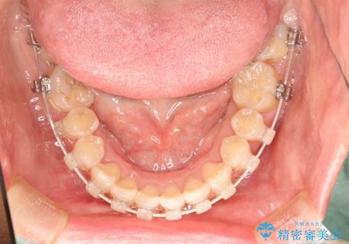
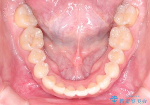
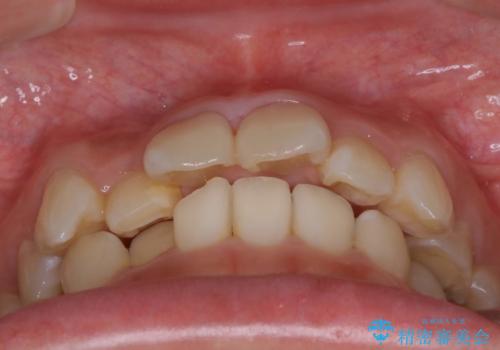
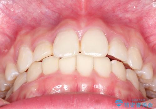
ハーフリンガル矯正 抜歯をして前歯を下げる
治療症例の内容
- 診療科目
- 治療カテゴリ
- 担当医
- 患者様
- 20代女性
- 矯正装置
- ハーフリンガル
- 治療期間
- 1年8ヶ月
- 治療回数
- 10-30回
- 治療計画
- 上顎の両側第1小臼歯抜歯による抜歯矯正を計画した。
- 費用(概算)
- 約100万円費用は治療当時の料金となります
治療について
上顎の抜歯により上の前歯の位置を大幅に後ろに下げることができます。
奥歯の位置関係など、様々な要素を加味し、適応を判断する必要があります。
ワイヤー矯正の注意事項(リスク・副作用など)
- 治療中は違和感や痛みが起こることがあります
- 症状により、抜歯が必要な場合があります
- 治療中は歯磨きがしにくくなるため、虫歯や歯周病になりやすくなります
- 矯正治療後の保定が不十分だと後戻り(元の位置に戻ろうとする動き)をします
- 自費診療(保険適用外)となります
当サイトの内容、テキスト、画像等の無断転載、複製、複写、盗用を固く禁じます。





















