症例詳細
Case detail
大きな虫歯で崩壊した歯の修復
治療症例の内容
- 担当医
- 患者様
- 30代男性
- 治療期間
- 2ヶ月
- 治療回数
- 2-5回
- 治療計画
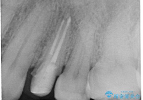
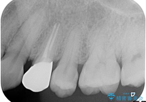
- 虫歯が深かったため、根管治療を行い、土台を立て直しかぶせ物を製作します。
- 費用(概算)
- 約20万円費用は治療当時の料金となります
治療について
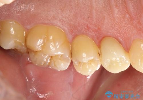
虫歯で奥歯が真っ黒になり崩壊していましたが、悪い部分を完全に取り除き、丁寧に修復することでまた長く機能させることができます。
かぶせ物のの種類:Bellezza
セラミック治療の注意事項(リスク・副作用など)
- 天然歯を削ります
- 硬い素材は天然歯を傷つけてしまう場合があります
- かみ合わせや歯ぎしりが強すぎる方はセラミックが割れてしまう可能性があります
- 自費診療(保険適用外治療)となります
根管治療の注意事項(リスク・副作用など)
- 根管治療により類似の全ての症例の問題が解決するわけではなく、症例はあくまでも一例です
- 根管治療により痛みや腫れがひかない事や、術後に痛みや腫れが生じる事、治療によるファイル破折やパーフォレーションなどの偶発症、術後の歯根破折を生じる可能性もあります
- 自費診療(保険適用外)となります
当サイトの内容、テキスト、画像等の無断転載、複製、複写、盗用を固く禁じます。











