症例詳細
Case detail
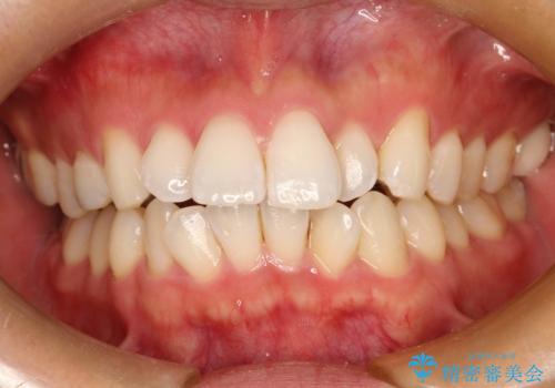
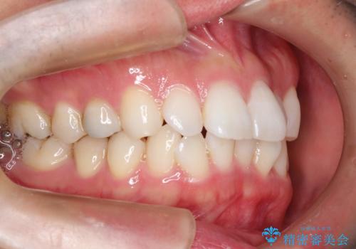
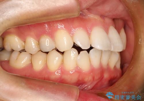
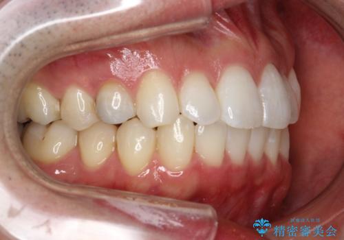
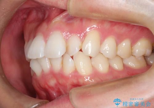
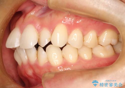
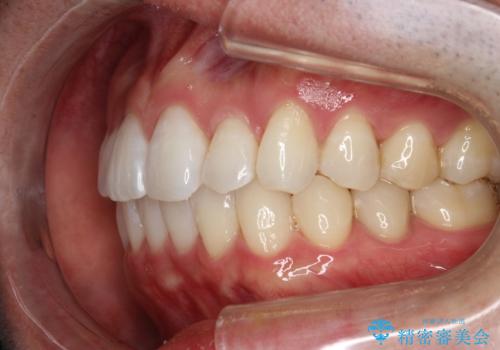
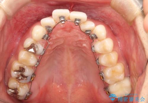
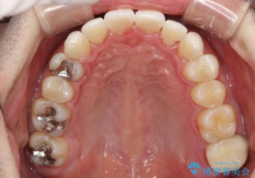
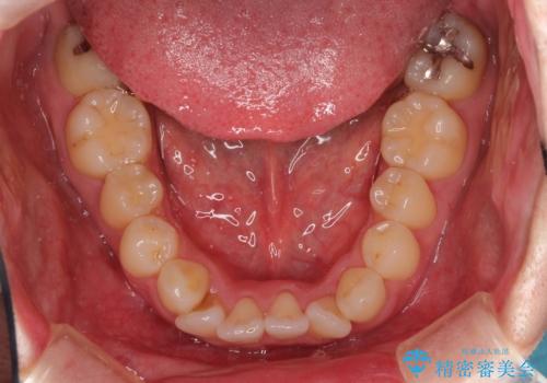
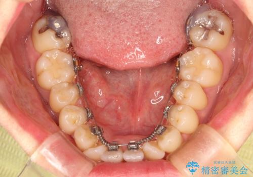
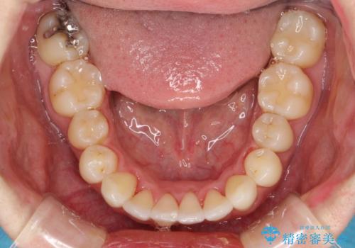
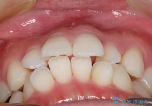
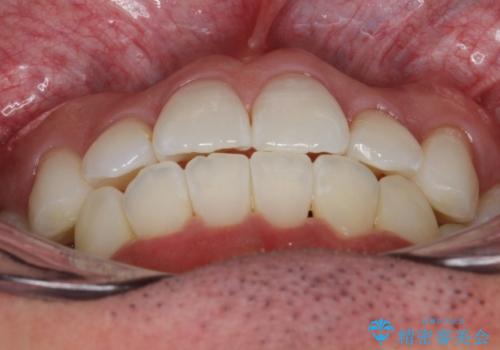
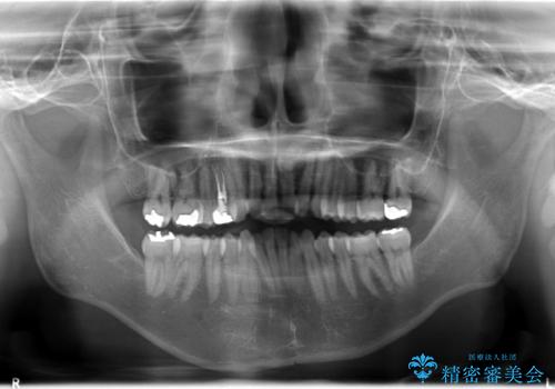
フルリンガル矯正 非抜歯でガタつきを整える
治療症例の内容
- 担当医
- 患者様
- 30代男性
- 矯正装置
- フルリンガル
- 治療期間
- 1年6ヶ月
- 治療回数
- 10-30回
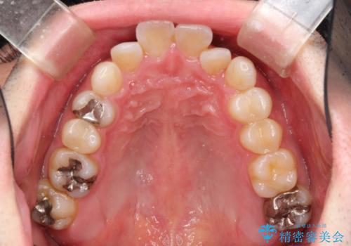
- 治療計画
- フルリンガルワイヤーによる非抜歯治療を計画しました。
- 費用(概算)
- 約100万円費用は治療当時の料金となります
治療について
フルリンガルは違和感も強く操作も煩雑になるため、あまりおすすめはしていませんが、お仕事の都合などでどうしても装置を付けられない&マウスピースを管理することができない、場合はやむなく選択することもあります。
ワイヤー矯正の注意事項(リスク・副作用など)
- 治療中は違和感や痛みが起こることがあります
- 症状により、抜歯が必要な場合があります
- 治療中は歯磨きがしにくくなるため、虫歯や歯周病になりやすくなります
- 矯正治療後の保定が不十分だと後戻り(元の位置に戻ろうとする動き)をします
- 自費診療(保険適用外)となります
当サイトの内容、テキスト、画像等の無断転載、複製、複写、盗用を固く禁じます。



















