症例詳細
Case detail
インビザラインによる前歯の矯正治療
治療症例の内容
- 診療科目
- 治療カテゴリ
- 担当医
- 藤巻太一朗(ドクタープロフィール)
- 患者様
- 20代女性
- 矯正装置
- インビザライン
- 治療期間
- 2年7ヶ月
- 治療回数
- 10-30回
- 治療計画
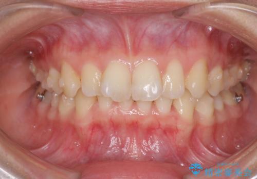
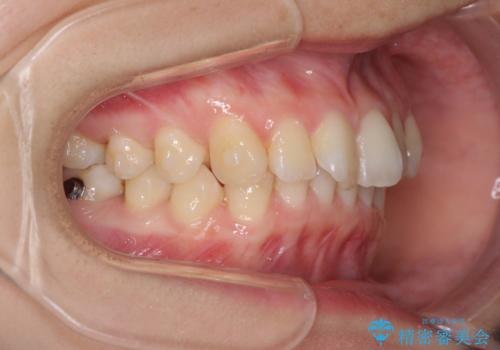
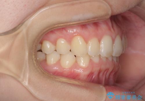
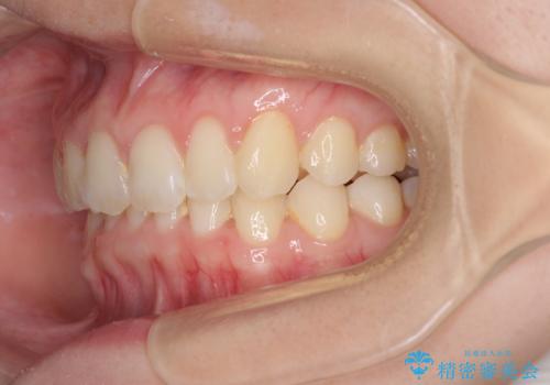
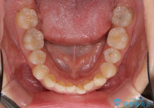
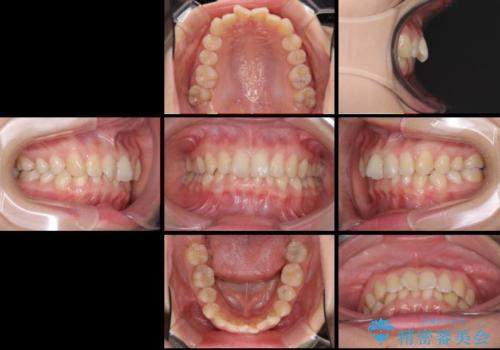
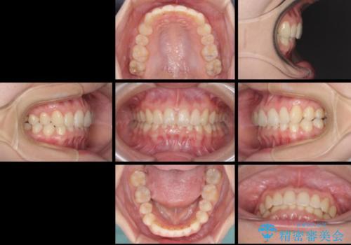
- 口元の深い咬み合わせ(ディープバイト)を気にして来院された患者様です。
インビザラインによる上下歯列の遠心移動(後方移動)により、口元のデコボコとディープバイトを改善することとしました。
- 費用(概算)
- 治療費の目安: 75万円費用は治療当時の料金となります
治療について
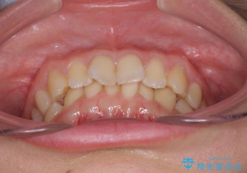
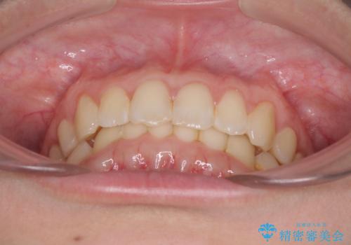
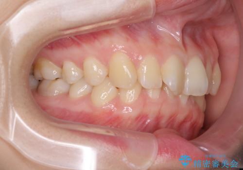
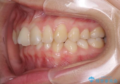
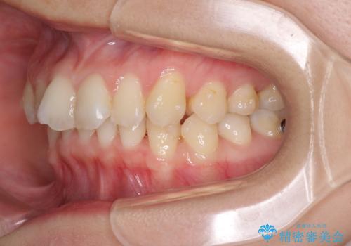
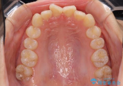
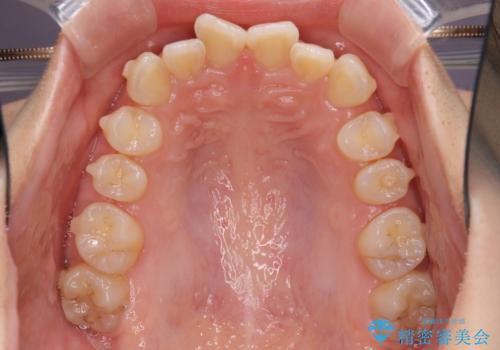
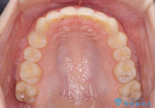
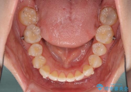
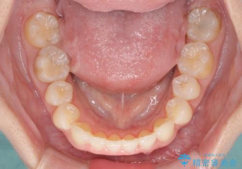
下顎左右の犬歯とその後ろにある第一小臼歯、計4歯がシミュレーション通りに動かずディープバイトがなかなか改善されませんでした。
マウスピースの再製作を何度か行いましたがうまくいかないため、部分的にワイヤー矯正を併用することを提案しました。しかし、最も気になっていた前歯のデコボコはきれいに改善されたため、これ以上治療を希望されず、治療を終了することとしました。(今後気になった際には再開する予定です)
マウスピース矯正の注意事項(リスク・副作用など)
- 口腔内・歯並びの状態によっては対応できない場合があります
- マウスピース型矯正装置の長時間装着(1日20時間以上)が必須です
- 治療計画通りに進めるためには、患者様の意志が重要になります
- 矯正治療後の保定が不十分だと後戻り(元の位置に戻ろうとする動き)をします
- 薬機法対象外の矯正歯科装置のため医薬品副作用被害救済制度の対象外となる場合があります
- 自費診療(保険適用外)となります
当サイトの内容、テキスト、画像等の無断転載、複製、複写、盗用を固く禁じます。


























