症例詳細
Case detail
- 患者様
- 20代女性
- 矯正装置
- 審美装置
- 治療期間
- 2年6ヶ月
- 治療回数
- 10-30回
- 治療計画
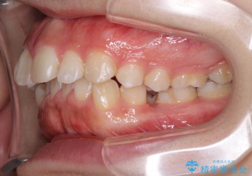
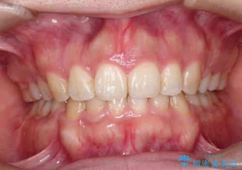
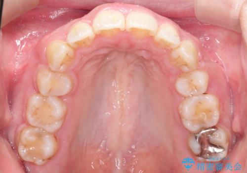
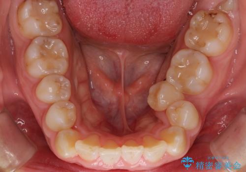
- 歯並びがガタガタなのと、口が閉じずらいのを主訴に来院されました。
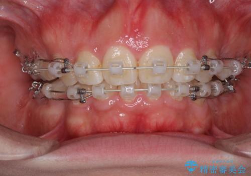
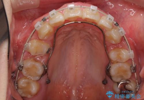
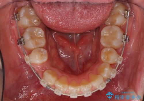
上下左右の歯を1本ずつ、合計4本抜歯して、ワイヤー矯正を行うこととなりました。
- 費用(概算)
- 約95万円費用は治療当時の料金となります
治療について
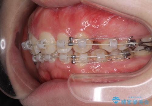
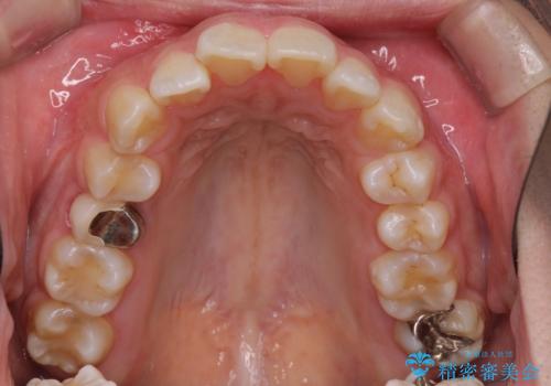
右上の歯は、歯並び的には前から4番目の歯を抜歯したかったのですが、5番目の歯がすでに治療してある歯でしたのでこちらの歯を抜歯しました。
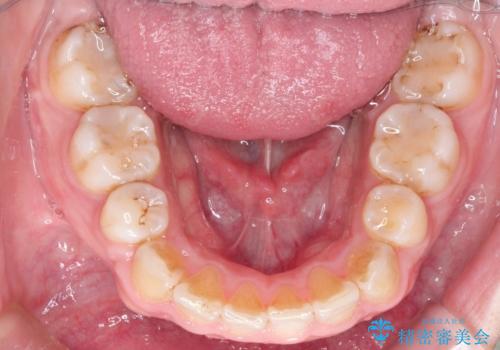
これにより少し治療期間が延びてしまいましたが、健康な歯を残すことができました。
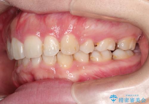
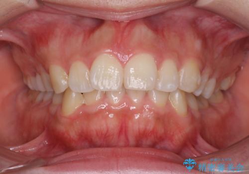
口元もすっきりとすることがで、口も自然に閉じるようになりました。
ワイヤー矯正の注意事項(リスク・副作用など)
- 治療中は違和感や痛みが起こることがあります
- 症状により、抜歯が必要な場合があります
- 治療中は歯磨きがしにくくなるため、虫歯や歯周病になりやすくなります
- 矯正治療後の保定が不十分だと後戻り(元の位置に戻ろうとする動き)をします
- 自費診療(保険適用外)となります
当サイトの内容、テキスト、画像等の無断転載、複製、複写、盗用を固く禁じます。

















