症例詳細
Case detail
不自然な保険のかぶせ物をセラミックで自然な前歯へ
治療症例の内容
- 診療科目
- 治療カテゴリ
- 担当医
- 患者様
- 30代女性
- 治療期間
- 1ヶ月
- 治療回数
- 2-5回
- 治療計画
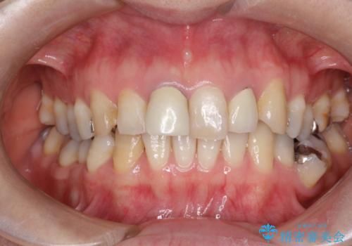
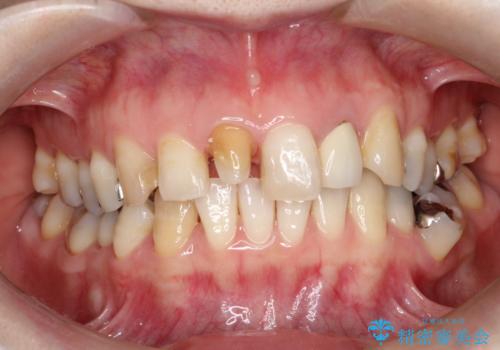
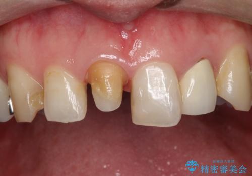
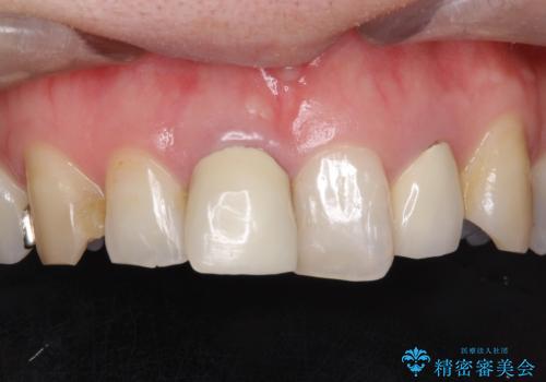
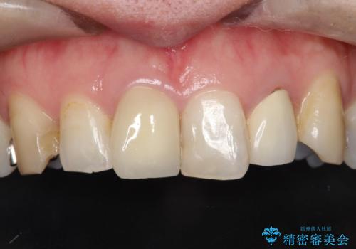
- 他院で装着された保険の前歯のかぶせ物が、他と歯と馴染まないので、自然な歯にしたいとのことで来院されました。
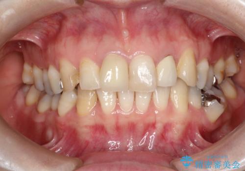
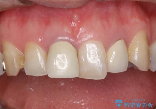
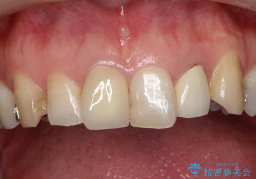
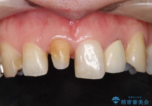
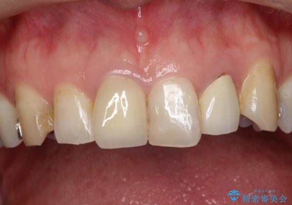
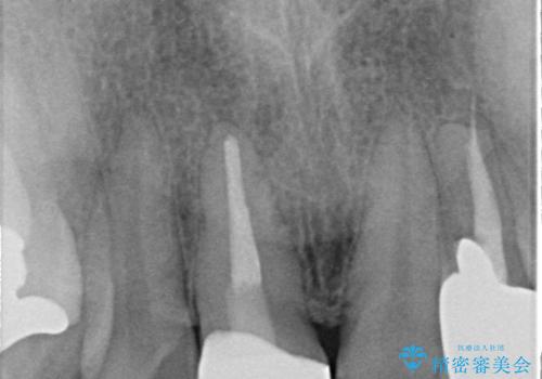
右上の1番目の歯の保険のかぶせ物と金属の土台を、ファイバーコアとオールセラミックにて再補綴する計画としました。
- 費用(概算)
- 約13万円費用は治療当時の料金となります
治療について
形態も色調もまわりの歯とは、調和がとれておらず、目立っていました。
今回治療することで、自然な前歯になったと喜んでいただけました。
セラミック治療の注意事項(リスク・副作用など)
- 天然歯を削ります
- 硬い素材は天然歯を傷つけてしまう場合があります
- かみ合わせや歯ぎしりが強すぎる方はセラミックが割れてしまう可能性があります
- 自費診療(保険適用外治療)となります
当サイトの内容、テキスト、画像等の無断転載、複製、複写、盗用を固く禁じます。














