症例詳細
Case detail
インビザラインによるディープバイトの改善
治療症例の内容
- 診療科目
- 治療カテゴリ
- 担当医
- 藤巻太一朗(ドクタープロフィール)
- 患者様
- 20代女性
- 矯正装置
- インビザライン
- 治療期間
- 1年3ヶ月
- 治療回数
- 10-30回
- 治療計画
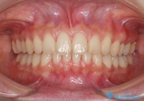
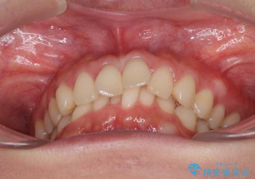
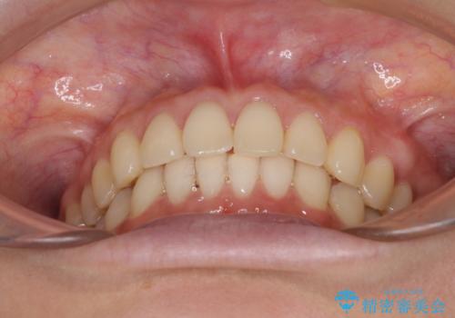
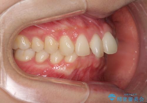
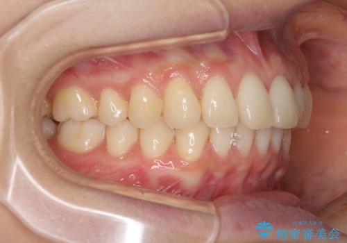
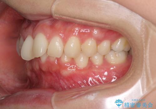
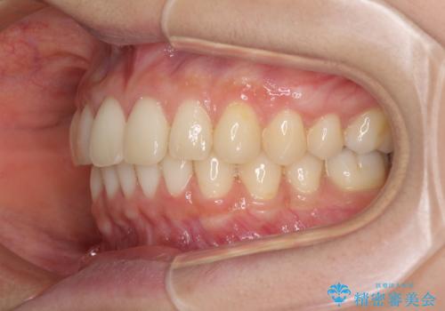
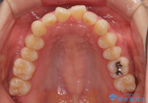
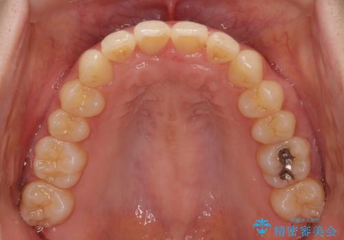
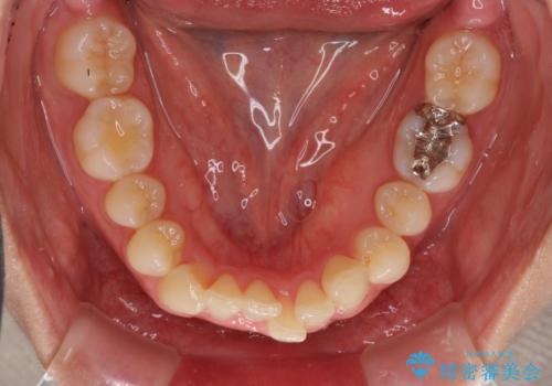
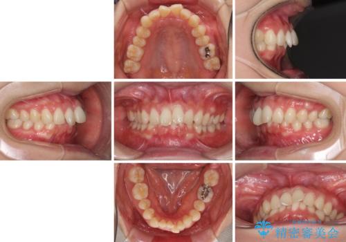
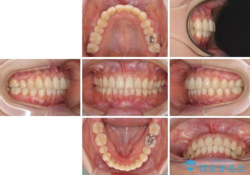
- 口元の前突感と深い咬み合わせ(ディープバイト)を気にして来院された患者様です。
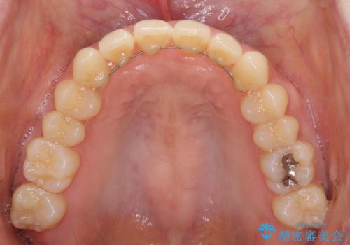
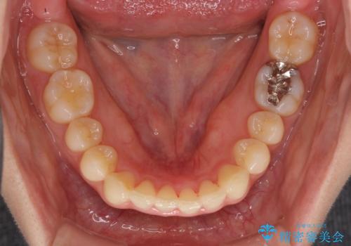
インビザラインによる上下歯列の遠心移動(後方移動)と、それに伴う近心傾斜(前方傾斜)の改善により、口元の突出感とディープバイトを改善することとしました。
- 費用(概算)
- 治療費の目安: 75万円費用は治療当時の料金となります
治療について
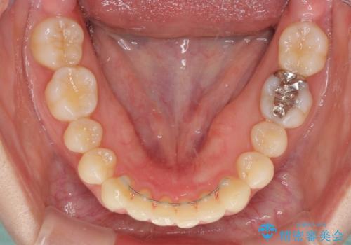
前歯のデコボコを最も気にしていましたが、咬み合わせが深く歯ぎしりが自由にできない点を指摘すると、常に食いしばってしまうことも悩みであることが分かりました。
咬合状態が大きく変化したため、治療後半では咬み合わせの位置が定まらなくなりました。上下の前歯に後戻り防止用のワイヤーを装着し、奥歯の咬合をフリーにしたことで1ヶ月ほどで咬み合わせが定まりました。
マウスピース矯正の注意事項(リスク・副作用など)
- 口腔内・歯並びの状態によっては対応できない場合があります
- マウスピース型矯正装置の長時間装着(1日20時間以上)が必須です
- 治療計画通りに進めるためには、患者様の意志が重要になります
- 矯正治療後の保定が不十分だと後戻り(元の位置に戻ろうとする動き)をします
- 薬機法対象外の矯正歯科装置のため医薬品副作用被害救済制度の対象外となる場合があります
- 自費診療(保険適用外)となります
当サイトの内容、テキスト、画像等の無断転載、複製、複写、盗用を固く禁じます。


























