症例詳細
Case detail
昔ぶつけた前歯 つめもの変色
治療症例の内容
- 診療科目
- 治療カテゴリ
- 担当医
- 患者様
- 40代女性
- 治療期間
- 4ヶ月
- 治療回数
- 2-5回
- 治療計画
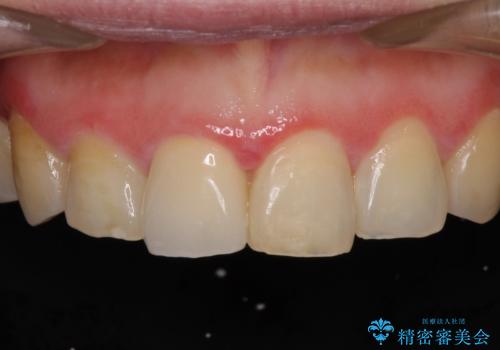
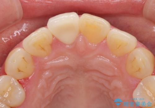
- 昔ぶつけて欠けた前歯をきれいにしたい、とご来院された患者様です。
プラスチックの詰め物が長年の劣化により変色していました。
オールセラミッククラウンの治療を行いました。
- 費用(概算)
- 16万円費用は治療当時の料金となります
治療詳細
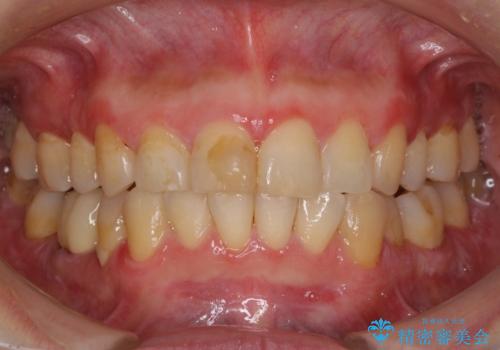
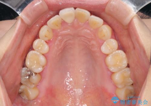
以前当院でラミネート治療された患者様のご紹介で、ご来院された患者様です。
前歯2本のラミネート治療をご希望でしたが、前歯の見た目が悪いのは右上前歯1本が原因であり、左上前歯は虫歯などがなく、削るのはもったいないということをご説明しました。
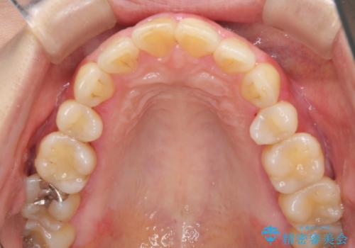
また、右上の前歯は裏側までヒビが入っていることや、1層構造のラミネートよりも2層構造のオールセラミッククラウンの方が色の再現性も高いことから、右上前歯1本のクラウン治療をおすすめしました。
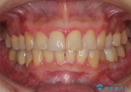
患者様には大変満足して頂きました。
歯肉について
今回は、歯肉炎があるため、その治療を行ってからクラウンを製作しました。
歯肉炎がない場合は、1か月ほどで治療が完了します。逆に、炎症がひどい場合は、治療期間が長くなります。
セラミック治療の注意事項(リスク・副作用など)
- 天然歯を削ります
- 硬い素材は天然歯を傷つけてしまう場合があります
- かみ合わせや歯ぎしりが強すぎる方はセラミックが割れてしまう可能性があります
- 自費診療(保険適用外治療)となります
当サイトの内容、テキスト、画像等の無断転載、複製、複写、盗用を固く禁じます。












