症例詳細
Case detail
オールセラミッククラウン 根管治療後の補綴
治療症例の内容
- 診療科目
- 治療カテゴリ
- 担当医
- 患者様
- 40代女性
- 治療期間
- 3ヶ月
- 治療回数
- 2-5回
- 治療計画
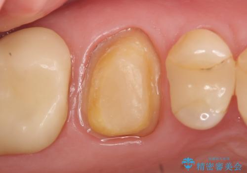
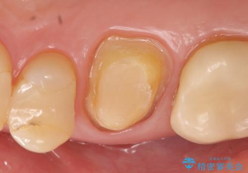
- 他院にて右上6の神経が死んでいるため根管治療が必要だと言われ当院にいらっしゃった方の症例です。
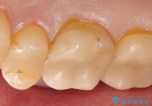
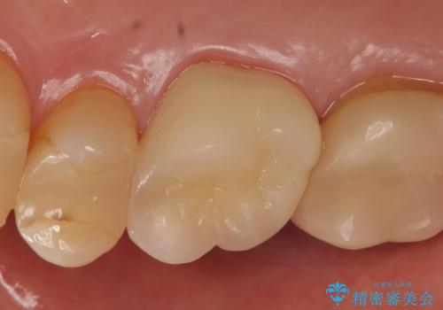
X線上で根尖病変を認めたため根管治療を行い、その後オールセラミッククラウンによる補綴を行いました
- 費用(概算)
- オールセラミッククラウン…¥100,000、仮歯…¥10,000、ファイバーコア…¥20,000費用は治療当時の料金となります
オールセラミッククラウンについて
オールセラミッククラウン(エコノミー)はスタンダード以上と違い、一塊となっているため欠けてしまうリスクが低いのが特徴です。
しかしその反面選択できる色の種類が少なく、色合いも単調であるという欠点もありますが、今回のケースのように前後の歯がクラウンの場合などでは十分に審美的な補綴が可能となります。
根管治療の注意事項(リスク・副作用など)
- 根管治療により類似の全ての症例の問題が解決するわけではなく、症例はあくまでも一例です
- 根管治療により痛みや腫れがひかない事や、術後に痛みや腫れが生じる事、治療によるファイル破折やパーフォレーションなどの偶発症、術後の歯根破折を生じる可能性もあります
- 自費診療(保険適用外)となります
セラミック治療の注意事項(リスク・副作用など)
- 天然歯を削ります
- 硬い素材は天然歯を傷つけてしまう場合があります
- かみ合わせや歯ぎしりが強すぎる方はセラミックが割れてしまう可能性があります
- 自費診療(保険適用外治療)となります
当サイトの内容、テキスト、画像等の無断転載、複製、複写、盗用を固く禁じます。











