症例詳細
Case detail
歯冠長延長術を併用した審美的セラミック治療
治療症例の内容
- 担当医
- 患者様
- 20代女性
- 治療期間
- 9ヶ月
- 治療回数
- 5-10回
- 治療計画
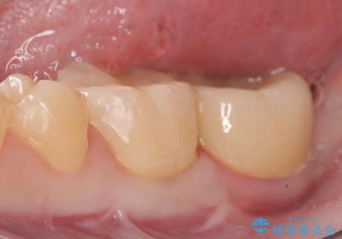
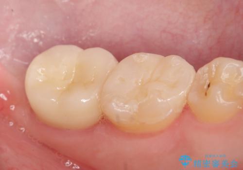
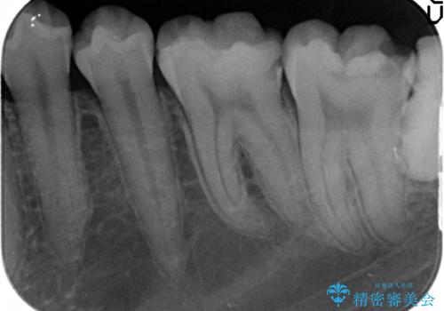
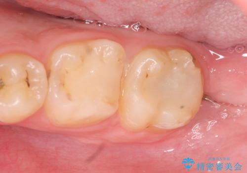
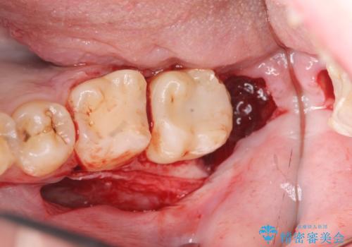
- 左下奥歯がしみるといらっしゃった方の症例です。
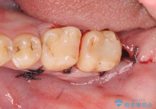
左下7の虫歯は深く、また歯冠高径も低かったため、歯冠長延長術を行いました。
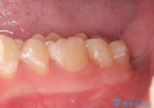
術後歯肉の回復を待ち、左下6はセラミックインレー、左下7はオールセラミッククラウンにて補綴しました。
- 費用(概算)
- オールセラミッククラウン…¥100,000、仮歯…¥10,000、セラミックインレー…¥70,000、歯冠長延長…¥100,000費用は治療当時の料金となります
虫歯治療について
虫歯治療は虫歯の進行度によって処置が変わってきます。
虫歯が小さければ、インレー・クラウン等による修復・補綴処置を行うだけで済みます。
しかし虫歯が大きくなると神経処置や抜歯等をしなければならない場合もあります。
ですので虫歯治療においては早期発見・早期治療が肝要です。
歯冠長延長術について
歯冠長延長術とは歯肉弁根尖側移動術とも言い、歯の高さが低くクラウン(被せ物)による治療が難しい場合に、歯茎を歯根方向に下げることで歯の高さを確保する手術です。歯の高さが十分にあることで、外れにくいしっかりとしたクラウンを被せることができます。
歯茎より深い虫歯治療について
虫歯が進み歯茎より深くなってしまうと、虫歯を取り残してしまうリスク、樹脂の硬化の妨げ、補綴物の不適合、歯肉炎・歯周病のリスクの増大等様々な弊害が起こり得ます。
そのため当院では歯周外科手術(歯茎を下げる手術)や歯の挺出による、虫歯が歯茎より深いという問題の解決を推奨しております。
セラミックインレーについて
当院のセラミックインレーはemaxという強度と審美性に優れた材料を使用しています。
またプレス方式でインレーを製作しているため、削り出しで製作するCADCAMより優れた適合性も持ち合わせており、虫歯が再発しにくい修復物です。
オールセラミッククラウンについて
オールセラミッククラウン(エコノミー)はスタンダード以上と違い、一塊となっているため欠けてしまうリスクが低いのが特徴です。
しかしその反面選択できる色の種類が少なく、色合いも単調であるという欠点もありますが、今回のケースのように前後の歯がクラウンの場合などでは十分に審美的な補綴が可能となります。
歯周病治療の注意事項(リスク・副作用など)
- 外科手術のため、術後に痛みや腫れ、違和感を伴います
- 歯周組織再生治療は患者様の状態によって術後の経過が異なります(見た目が改善しない場合もあります)
- 歯周組織再生治療は自費診療(保険適用外)となります
セラミック治療の注意事項(リスク・副作用など)
- 天然歯を削ります
- 硬い素材は天然歯を傷つけてしまう場合があります
- かみ合わせや歯ぎしりが強すぎる方はセラミックが割れてしまう可能性があります
- 自費診療(保険適用外治療)となります
当サイトの内容、テキスト、画像等の無断転載、複製、複写、盗用を固く禁じます。




















