症例詳細
Case detail
差し歯をもっと自然に 30代女性
治療症例の内容
- 診療科目
- 治療カテゴリ
- 担当医
- 患者様
- 30代女性
- 治療期間
- 2ヶ月
- 治療回数
- 2-5回
- 治療計画
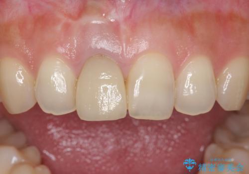
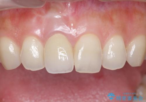
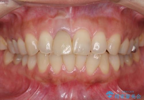
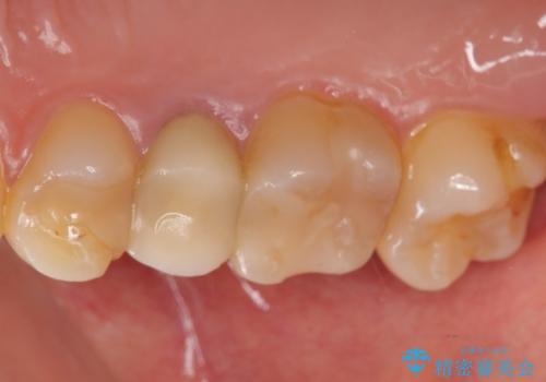
- もっと自然にみえるような差し歯にしたいと希望され来院された患者様です。
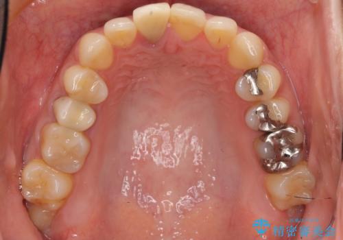
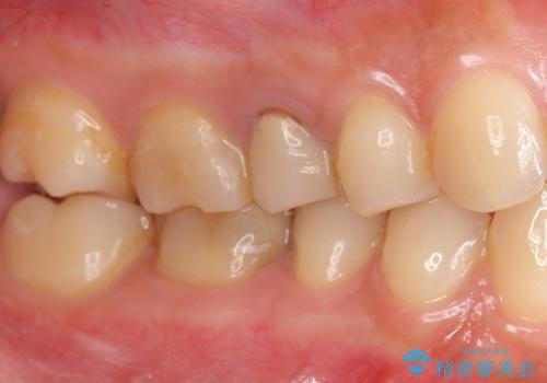
患者様の天然歯はグラデーションがあり切縁(歯冠の先端)はやや透けていて透明感があるのに対し、前歯(右上1)の差し歯はやや黄色く不透明で単調な色味でした。
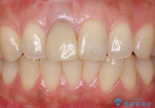
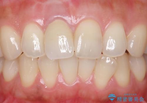
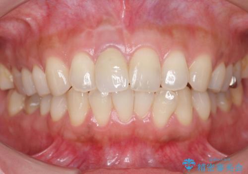
患者様のご希望により、右上1はジルコニアクラウン(スペシャル)、右上5はジルコニアクラウン(スタンダード)へやりかえることにしました。
再根管治療に関しては、患者様がご希望されず症状もないため行っておりません。
ご予算の都合とご希望により、右上5の土台はやりかえずに元の土台のまま治療を進めました。
- 費用(概算)
- ¥270,000 (仮歯×2、土台×1、被せ物×2)費用は治療当時の料金となります
治療について
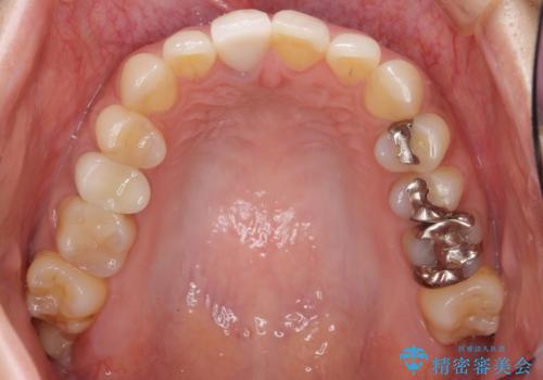
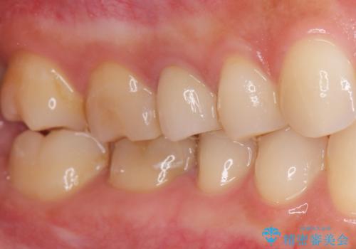
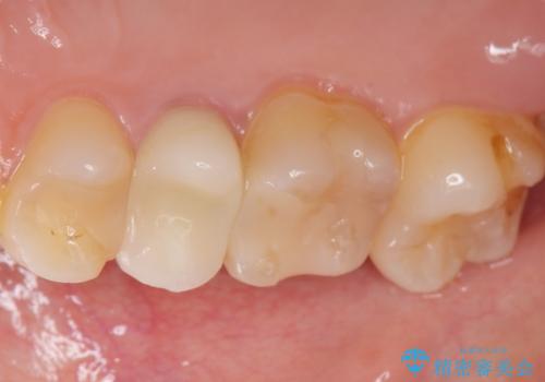
前歯のクラウンは一度修正し、患者様の理想とする色味や形態を追求しました。
天然歯と見紛うほどの自然な仕上がりに喜んで頂けました。
ジルコニアクラウンの繊細なグラデーション・透明感は熟練した技工士さんの技術の賜物です。
右上1:ジルコニアクラウン スペシャル
右上5:ジルコニアクラウン スタンダード
セラミック治療の注意事項(リスク・副作用など)
- 天然歯を削ります
- 硬い素材は天然歯を傷つけてしまう場合があります
- かみ合わせや歯ぎしりが強すぎる方はセラミックが割れてしまう可能性があります
- 自費診療(保険適用外治療)となります
当サイトの内容、テキスト、画像等の無断転載、複製、複写、盗用を固く禁じます。




















