症例詳細
Case detail
オールセラミッククラウン 根管治療・深い虫歯の治療
治療症例の内容
- 診療科目
- 治療カテゴリ
- 担当医
- 患者様
- 20代男性
- 治療期間
- 1年
- 治療回数
- 5-10回
- 治療計画
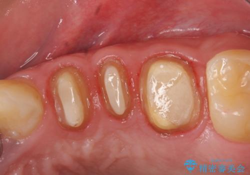
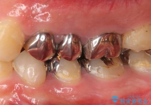
- 左上奥歯の銀歯をセラミックにしたいといらっしゃった方の症例です。
銀歯を除去したところ歯茎よりも深い位置まで虫歯があったため、歯冠長延長術(歯周外科)を行いました。
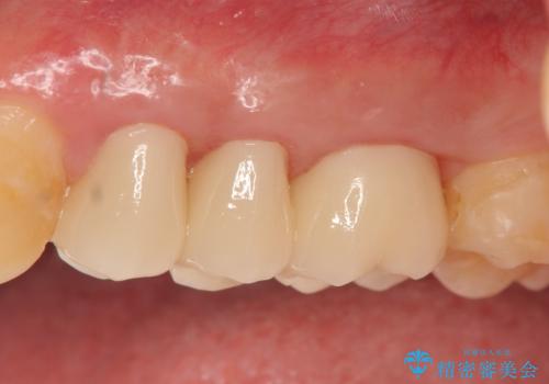
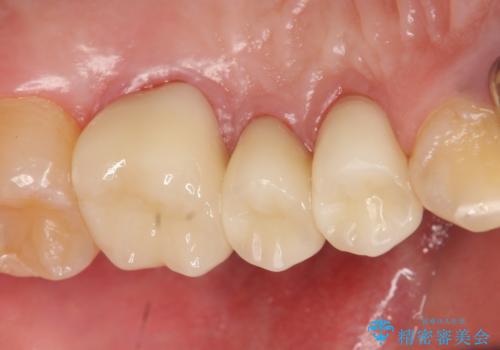
その後歯茎の回復を待つ間に再根管治療を行い、歯茎の回復後オールセラミッククラウンにて補綴を行いました。
- 費用(概算)
- オールセラミッククラウン…¥100,000×3、仮歯…¥10,000×3、ファイバーコア…¥20,000×3、歯冠長延長術…¥100,000費用は治療当時の料金となります
オールセラミッククラウンについて
今回用いたオールセラミッククラウンはジルコニアフレームという白い素材の上にセラミックを盛っているため、審美性が非常に高いのが特徴です。
また、ジルコニアは人工ダイヤモンドの材料にも使われているほど高い強度を持っており、そのためオールセラミッククラウンは審美性だけでなく、奥歯やブリッジの補綴も可能とするクラウンです。
虫歯治療について
虫歯治療は虫歯の進行度によって処置が変わってきます。
虫歯が小さければ、インレー・クラウン等による修復・補綴処置を行うだけで済みます。
しかし虫歯が大きくなると神経処置や抜歯等をしなければならない場合もあります。
ですので虫歯治療においては早期発見・早期治療が肝要です。
歯冠長延長術(歯周外科)について
虫歯が進み歯茎より深くなってしまうと、虫歯を取り残してしまうリスク、樹脂の硬化の妨げ、補綴物の不適合、歯肉炎・歯周病のリスクの増大等様々な弊害が起こり得ます。
そのため当院では歯周外科手術(歯茎を下げる手術)や歯の挺出による、虫歯が歯茎より深いという問題の解決を推奨しております。
根管治療の注意事項(リスク・副作用など)
- 根管治療により類似の全ての症例の問題が解決するわけではなく、症例はあくまでも一例です
- 根管治療により痛みや腫れがひかない事や、術後に痛みや腫れが生じる事、治療によるファイル破折やパーフォレーションなどの偶発症、術後の歯根破折を生じる可能性もあります
- 自費診療(保険適用外)となります
セラミック治療の注意事項(リスク・副作用など)
- 天然歯を削ります
- 硬い素材は天然歯を傷つけてしまう場合があります
- かみ合わせや歯ぎしりが強すぎる方はセラミックが割れてしまう可能性があります
- 自費診療(保険適用外治療)となります
当サイトの内容、テキスト、画像等の無断転載、複製、複写、盗用を固く禁じます。











