症例詳細
Case detail
前歯の根元が黒い オールセラミッククラウンの装着による改善
治療症例の内容
- 診療科目
- 治療カテゴリ
- 担当医
- 患者様
- 30代女性
- 治療期間
- 2ヶ月
- 治療回数
- 2-5回
- 治療計画
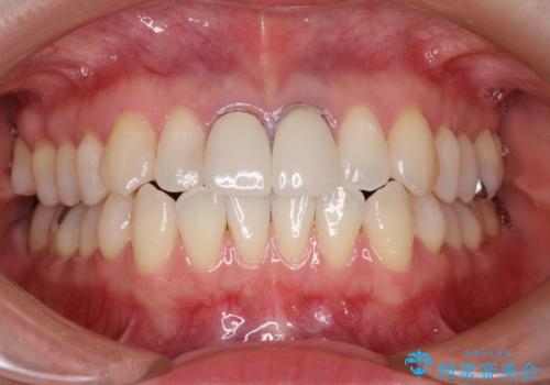
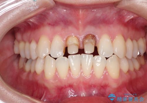
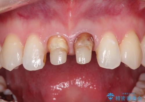
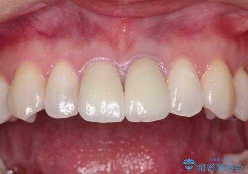
- 10年前ほどに前歯に装着されたセラミックの根元の方が黒くなってきたのが気になるとのことで来院されました。
上顎の前歯の歯茎が下がり、ご自身の歯が露出している状態でした。
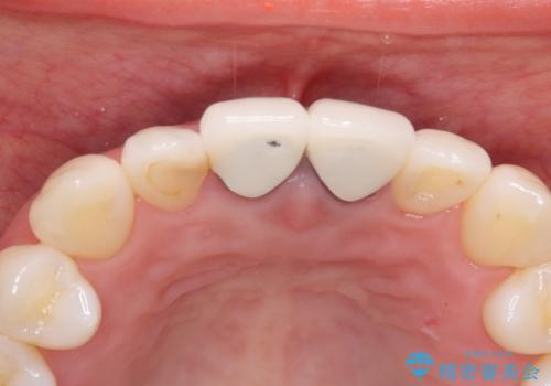
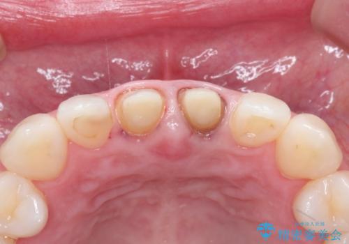
金属の土台をファイバーコアに交換後、オールセラミッククラウンを装着する計画としました。
- 費用(概算)
- 約26万円費用は治療当時の料金となります
治療について
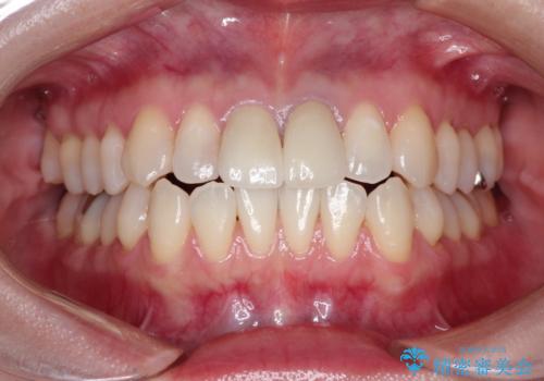
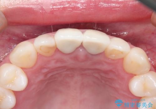
かぶせ物と歯の境目の再設定を行い、適合の良いかぶせ物を装着することで、審美的に自然な状態に改善することができました。
セラミック治療の注意事項(リスク・副作用など)
- 天然歯を削ります
- 硬い素材は天然歯を傷つけてしまう場合があります
- かみ合わせや歯ぎしりが強すぎる方はセラミックが割れてしまう可能性があります
- 自費診療(保険適用外治療)となります
当サイトの内容、テキスト、画像等の無断転載、複製、複写、盗用を固く禁じます。














