症例詳細
Case detail
成人式に間に合う 前歯の矯正
治療症例の内容
- 診療科目
- 担当医
- 井上季実子(ドクタープロフィール)
- 患者様
- 10代女性
- 矯正装置
- 審美装置
- 治療期間
- 1年11ヶ月
- 治療回数
- 10-30回
- 治療計画
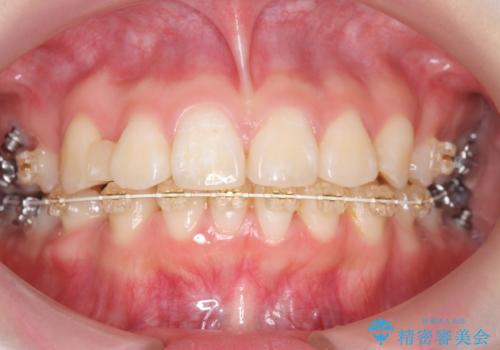
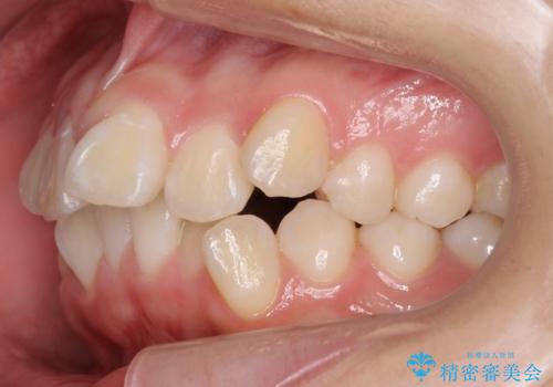
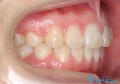
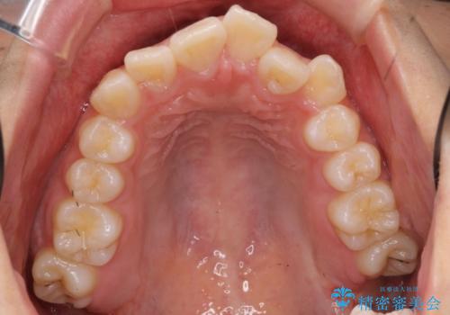
- 前歯のがたがたを主訴に来院。
口元も下げたいとのことでした。
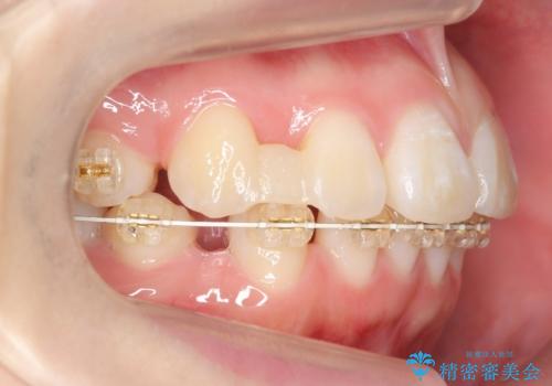
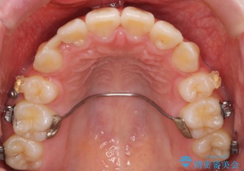
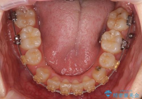
成人式の1年前から矯正をはじめ、成人式前に上の前歯の装置を一時的にとりました。
一時的に装置を取ることで、多少治療期間が伸びましたが、それでも、2年かからずに外すことができました。
- 費用(概算)
- 90万円費用は治療当時の料金となります
治療について
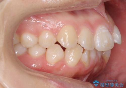
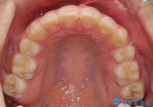
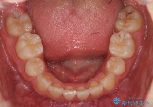
成人式の時に前歯が下がって、揃った状態で写真を撮ることができ、大変喜んでおられました。
ワイヤー矯正の注意事項(リスク・副作用など)
- 治療中は違和感や痛みが起こることがあります
- 症状により、抜歯が必要な場合があります
- 治療中は歯磨きがしにくくなるため、虫歯や歯周病になりやすくなります
- 矯正治療後の保定が不十分だと後戻り(元の位置に戻ろうとする動き)をします
- 自費診療(保険適用外)となります
当サイトの内容、テキスト、画像等の無断転載、複製、複写、盗用を固く禁じます。





















