症例詳細
Case detail
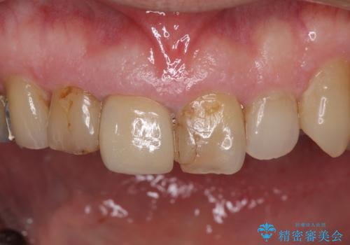
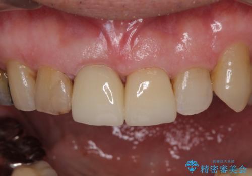
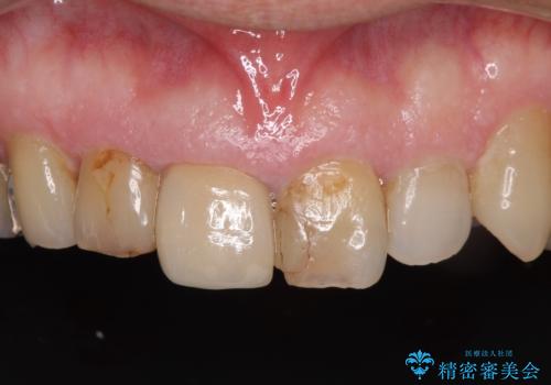
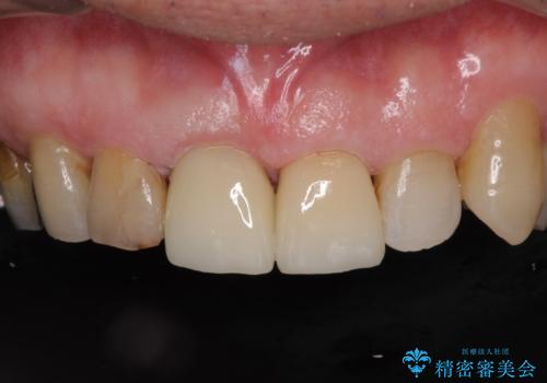
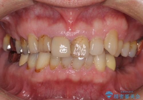
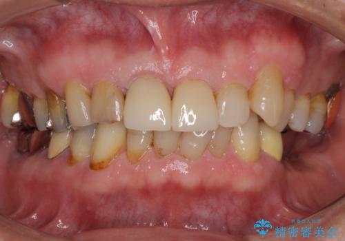
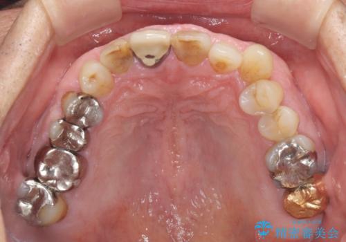
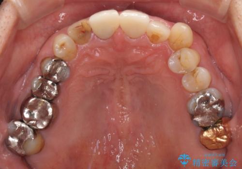
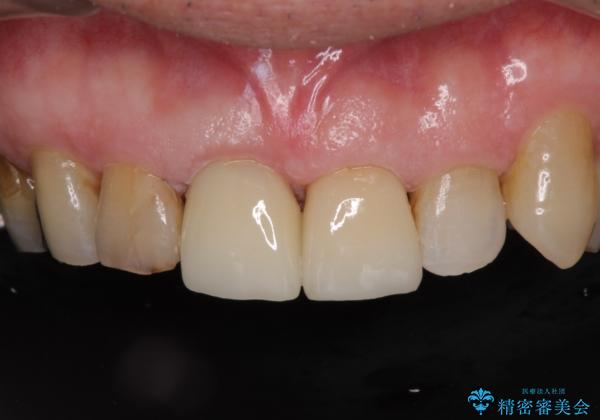
差し歯(被せ物)のやりかえ 上の前歯で印象が明るく
治療症例の内容
- 診療科目
- 治療カテゴリ
- 担当医
- 患者様
- 70代男性
- 治療期間
- 2ヶ月
- 治療回数
- 2-5回
- 治療計画
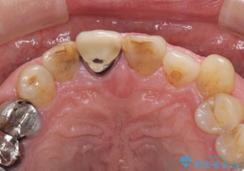
- 前歯がぐらつくことを主訴にご来院された患者様です。ご本人は抜歯と考えており、インプラント以外の治療をご希望でした。しかしながらぐらついていた原因は、古い差し歯が取れかけていたことでした。
遠方から通院されること、仕事上短期間で治療したいとのことを考慮して、残っている歯はかなり小さいものの、保存すべきと判断して当日処置から行いました。
- 費用(概算)
- 20万円(根管治療は別途。詳細は下記に記載。)費用は治療当時の料金となります
治療詳細
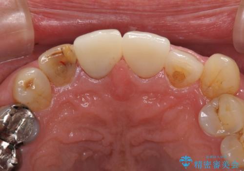
西日本から新幹線でご来院された患者様です。前歯は都内の医院でやりたいとのことで、はるばる通院してくださいました。通院回数が最小限になるよう工夫しました(1回あたりの時間は長くなります)。
残っている歯が小さいと、差し歯はぐらつきやすくなりますが、その形態によっては抜歯を回避できることがあります。
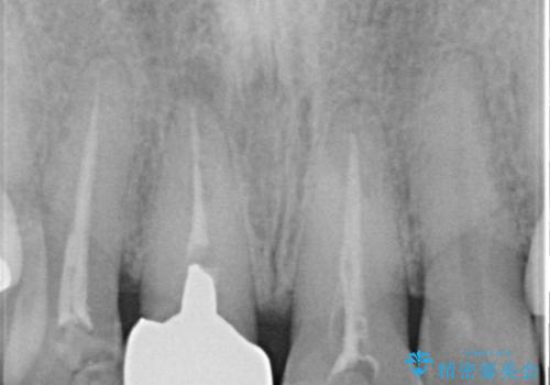
根管治療について
保険根管治療は回数がかかることが多く、終了予定がわかりにくいです。
当院では、根管治療は長い時間のご予約を頂き、多くの場合2~3回で終わります。
根管治療は歯内の治療なので患者様には見えない場所ですが、ここが細菌で汚染されると激しい痛みや長引く違和感の原因になります。
当院では、清潔な治療を徹底し、顕微鏡を使用した精密な治療を行っています。
症状や根管の状態により、治療金額が異なります(5~10万円目安)。治療回数による費用負担の増減はありません。
根管治療専門医をご紹介させて頂く場合がございます。
セラミック治療の注意事項(リスク・副作用など)
- 天然歯を削ります
- 硬い素材は天然歯を傷つけてしまう場合があります
- かみ合わせや歯ぎしりが強すぎる方はセラミックが割れてしまう可能性があります
- 自費診療(保険適用外治療)となります
当サイトの内容、テキスト、画像等の無断転載、複製、複写、盗用を固く禁じます。












