症例詳細
Case detail
変色した歯をセラミックにしたい 歯自体が変色している場合の参考用2
治療症例の内容
- 診療科目
- 治療カテゴリ
- 担当医
- 患者様
- 20代女性
- 治療期間
- 2ヶ月
- 治療回数
- 2-5回
- 治療計画
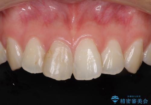
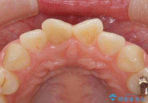
- 患者様は、他院にて5年前に前歯の神経をとってから、変色が気になり出したとのことでご来院されました。
セラミックのみも可能でしたが、念のため根管治療からのやりかえをご希望されました。
また、セラミック完成前にホワイトニングもご希望されました。
- 費用(概算)
- 16万円(ホワイトニング、根管治療は別途。詳細は下記に記載。)費用は治療当時の料金となります
治療詳細
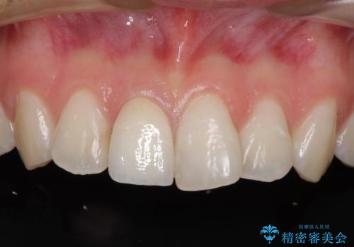
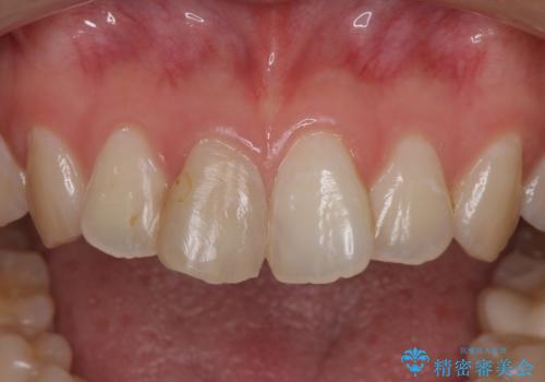
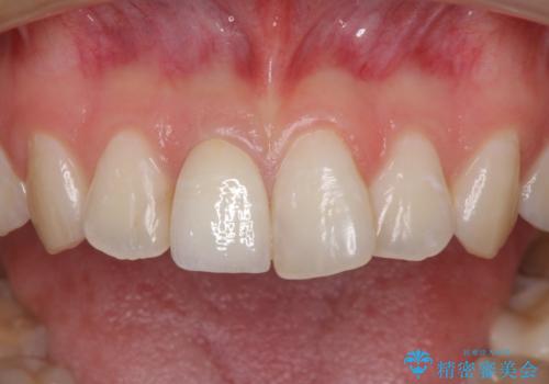
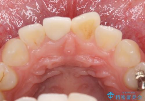
歯は神経をとると、だんだん黒くなることがあります。今回はセラミックで歯を覆うことにより、見た目の改善を図りました。
患者様のご希望で、最終的な色を決める前に、ホワイトニングをしました(約3万円)。ただし、ホワイトニング直後は色が白くなりすぎる等の恐れがあるため、色が落ち着くのを待ってからセラミックを製作しました。
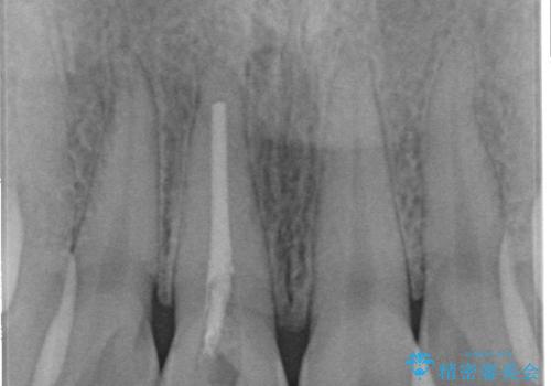
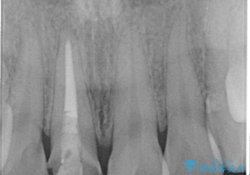
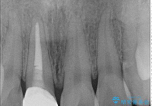
根管治療について
保険根管治療は回数がかかることが多く、終了予定がわかりにくいです。
当院では、根管治療は長い時間のご予約を頂き、多くの場合2~3回で終わります。
根管治療は歯内の治療なので患者様には見えない場所ですが、ここが細菌で汚染されると激しい痛みや長引く違和感の原因になります。
当院では、清潔な治療を徹底し、顕微鏡を使用した精密な治療を行っています。
症状や根管の状態により、治療金額が異なります(5~10万円目安)。治療回数による費用負担の増減はありません。
根管治療専門医をご紹介させて頂く場合がございます。
セラミック治療の注意事項(リスク・副作用など)
- 天然歯を削ります
- 硬い素材は天然歯を傷つけてしまう場合があります
- かみ合わせや歯ぎしりが強すぎる方はセラミックが割れてしまう可能性があります
- 自費診療(保険適用外治療)となります
当サイトの内容、テキスト、画像等の無断転載、複製、複写、盗用を固く禁じます。













