症例詳細
Case detail
見えない歯周病 長期予後を見据えてインプラントに
治療症例の内容
- 患者様
 - 40代女性
 
- 治療期間
 - 7ヶ月
 
- 治療回数
 - 5-10回
 
- 治療計画
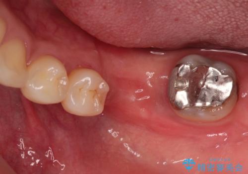
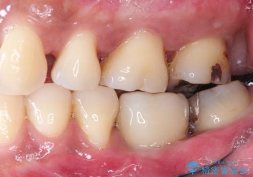
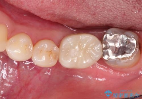
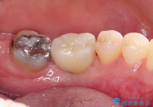
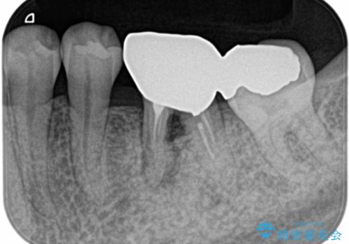
 - Ⅲ度の分岐部病変をきたした第1大臼歯を抜去、待時しインプラントによる咬合回復を計画した。
 
- 費用(概算)
 - 約32万円費用は治療当時の料金となります
 
治療について
奥歯の根の又の部分の歯周病(=分岐部病変)が進行してしまった場合、
・掃除をしながら様子をみる
・歯の形態を修正し清掃性の向上をはからう
・歯を分割し小臼歯形態×2で補綴する(確定外科が必要)
・より病変の影響を強く受けている方の根だけ抜去し、残った根を温存する
など多様な治療の選択肢があります。
ケースによりますが、いずれの場合も不安要素をかかえたまま歯を温存することになるため、それらを取り除く・かつ感染源を取り除くために歯を抜去するのも効果的な治療法といえます。
インプラントの種類:strauman SLActive
かぶせ物の種類:Bellezza screw retain
セラミック治療の注意事項(リスク・副作用など)
- 天然歯を削ります
 - 硬い素材は天然歯を傷つけてしまう場合があります
 - かみ合わせや歯ぎしりが強すぎる方はセラミックが割れてしまう可能性があります
 - 自費診療(保険適用外治療)となります
 
インプラント治療の注意事項(リスク・副作用など)
- 外科手術のため、術後に痛みや腫れ、違和感を伴います
 - メンテナンスを怠ったり喫煙により、お口の中に大きな悪影響を及ぼすインプラント周囲炎等にかかる可能性があります
 - 糖尿病、肝硬変、心臓病等の場合、インプラント治療ができない可能性があります
 - 高血圧、貧血・不整脈等の場合、インプラント治療後に治癒不全を招く可能性があります
 - 自費診療(保険適用外治療)となります
 
当サイトの内容、テキスト、画像等の無断転載、複製、複写、盗用を固く禁じます。

                      
                                                          













