症例詳細
Case detail
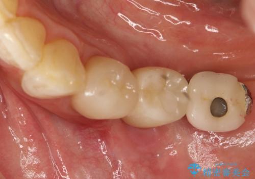
奥歯がない インプラント治療でかみあわせを回復
治療症例の内容
- 患者様
- 60代女性
- 治療期間
- 6ヶ月
- 治療回数
- 5-10回
- 治療計画
- 単独のインプラント補綴にて咬合の回復を計画した。
- 費用(概算)
- 約37万円費用は治療当時の料金となります
治療について
インプラント治療は、骨が十分になくてもさまざまな補助処置を行うことで可能になります。
インプラントの種類:straumann SLActive
かぶせ物の種類:Bellezza screw retain
インプラント治療の注意事項(リスク・副作用など)
- 外科手術のため、術後に痛みや腫れ、違和感を伴います
- メンテナンスを怠ったり喫煙により、お口の中に大きな悪影響を及ぼすインプラント周囲炎等にかかる可能性があります
- 糖尿病、肝硬変、心臓病等の場合、インプラント治療ができない可能性があります
- 高血圧、貧血・不整脈等の場合、インプラント治療後に治癒不全を招く可能性があります
- 自費診療(保険適用外治療)となります
セラミック治療の注意事項(リスク・副作用など)
- 天然歯を削ります
- 硬い素材は天然歯を傷つけてしまう場合があります
- かみ合わせや歯ぎしりが強すぎる方はセラミックが割れてしまう可能性があります
- 自費診療(保険適用外治療)となります
当サイトの内容、テキスト、画像等の無断転載、複製、複写、盗用を固く禁じます。






