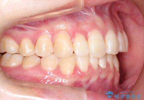
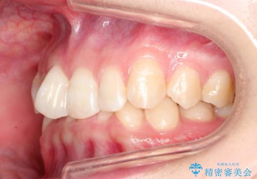
症例詳細
Case detail
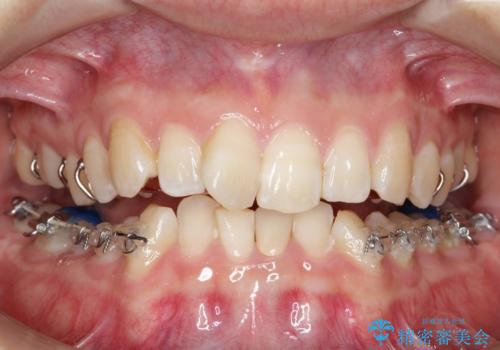
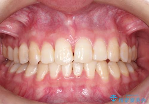
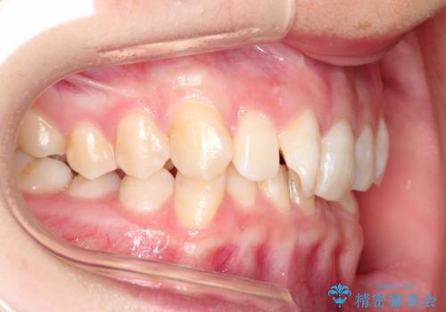
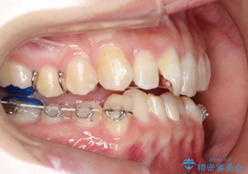
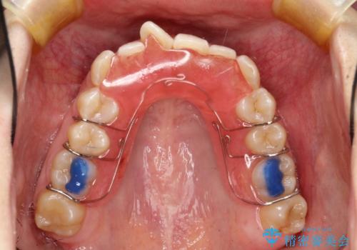
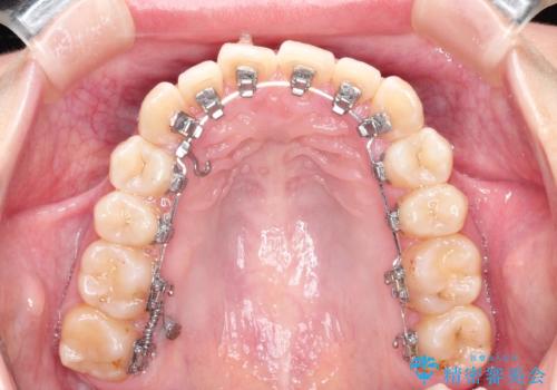
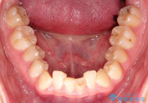
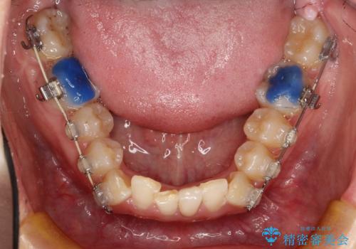
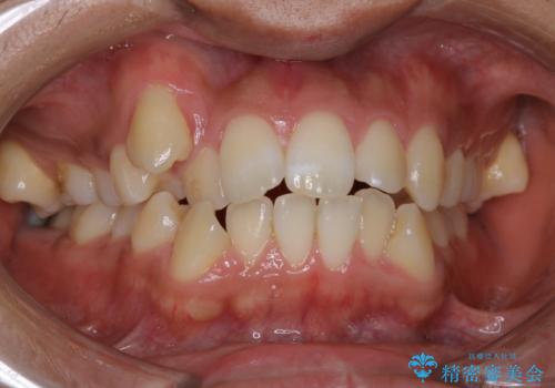
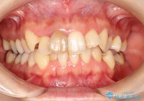
ハーフリンガル ワイヤー矯正による非抜歯・過蓋咬合の治療
治療症例の内容
- 診療科目
- 治療カテゴリ
- 担当医
- 患者様
- 20代女性
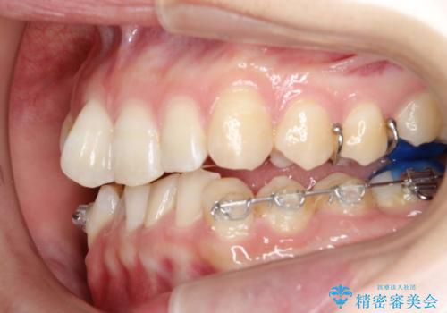
- 矯正装置
- 審美装置
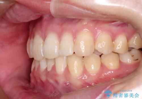
- 治療期間
- 3年
- 治療回数
- 10-30回
- 治療計画
- 非抜歯、大臼歯遠心移動による臼歯関係の是正・過蓋の改善をハーフリンガル・ワイヤー矯正にて計画した。
- 費用(概算)
- 約85万円費用は治療当時の料金となります
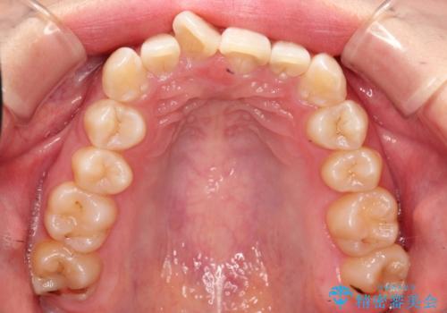
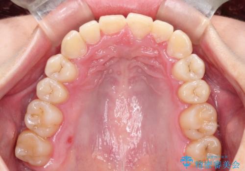
治療について
現在過蓋咬合の非抜歯治療はマウスピースで行うのが第1選択といっても過言ではありません。
しかし、諸々の理由でマウスピース矯正をおこなえない場合、本例のようにワイヤーを用いて治療することも可能ですが、そもそも装置が歯につかないため、非常に大変な労力を費やすことになります。
ワイヤー矯正の注意事項(リスク・副作用など)
- 治療中は違和感や痛みが起こることがあります
- 症状により、抜歯が必要な場合があります
- 治療中は歯磨きがしにくくなるため、虫歯や歯周病になりやすくなります
- 矯正治療後の保定が不十分だと後戻り(元の位置に戻ろうとする動き)をします
- 自費診療(保険適用外)となります
当サイトの内容、テキスト、画像等の無断転載、複製、複写、盗用を固く禁じます。
















