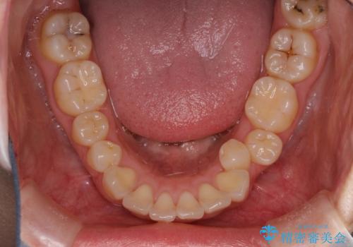
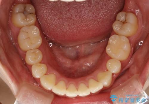
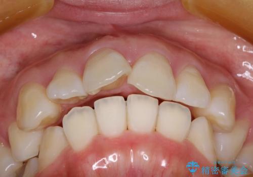
症例詳細
Case detail
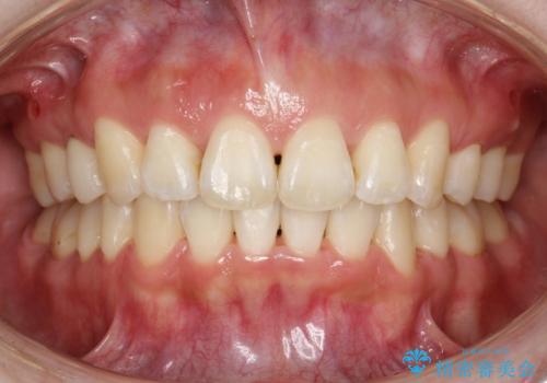
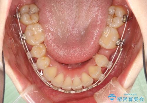
抜歯をして前歯を下げ、ガタつきを取り除く ワイヤー矯正
治療症例の内容
- 診療科目
- 担当医
- 患者様
- 30代女性
- 矯正装置
- 審美装置
- 治療期間
- 1年9ヶ月
- 治療回数
- 10-30回
- 治療計画
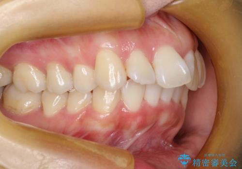
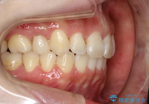
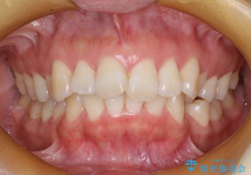
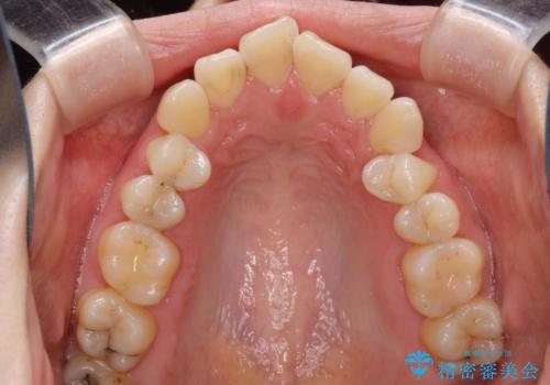
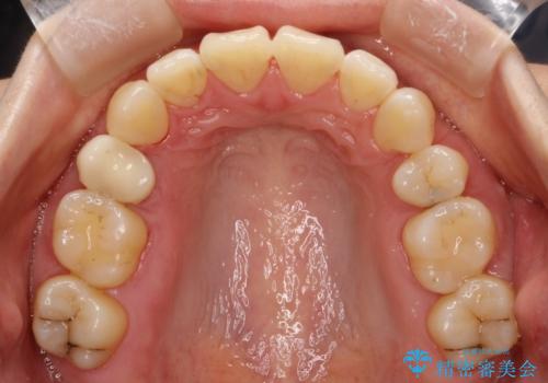
- 上顎両側第1小臼歯、下顎左側第2小臼歯の3本を抜歯、ラビアルのワイヤー矯正を計画した。
- 費用(概算)
- 約90万円費用は治療当時の料金となります
治療について
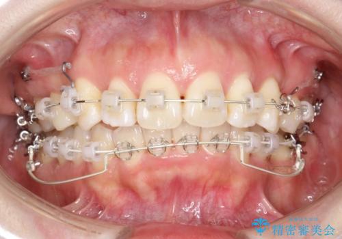
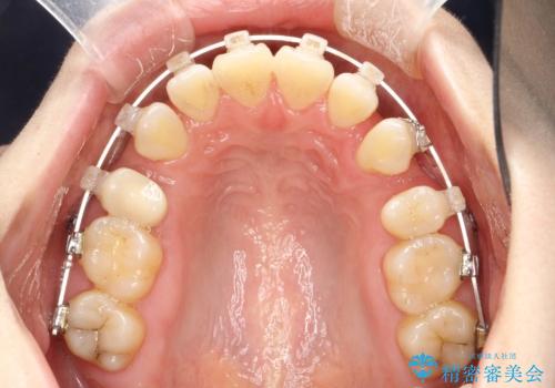
抜歯矯正は抜歯にできたスペースをつかい、前歯を積極的に下げたり、大きなガタつきを取り除くことができますが、その分時間がかかります。
ワイヤーを用いることで、矯正中に生じる様々な問題にその場で対処することができます。
ワイヤー矯正の注意事項(リスク・副作用など)
- 治療中は違和感や痛みが起こることがあります
- 症状により、抜歯が必要な場合があります
- 治療中は歯磨きがしにくくなるため、虫歯や歯周病になりやすくなります
- 矯正治療後の保定が不十分だと後戻り(元の位置に戻ろうとする動き)をします
- 自費診療(保険適用外)となります
当サイトの内容、テキスト、画像等の無断転載、複製、複写、盗用を固く禁じます。



















