症例詳細
Case detail
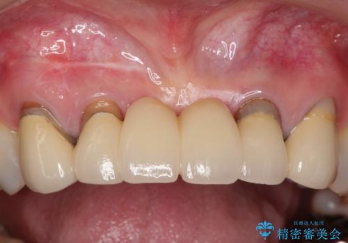
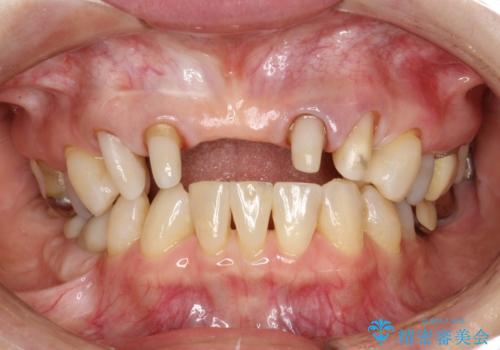
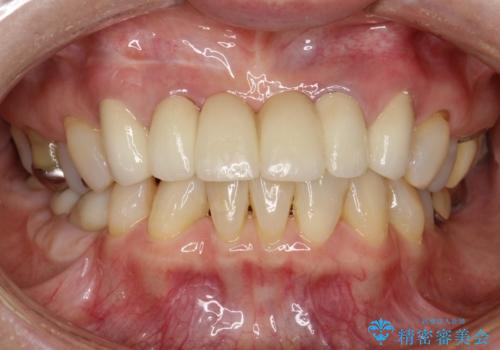
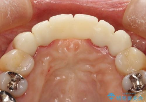
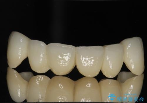
前歯のブリッジの見栄えが悪い→見えないところからしっかりとやり直しを
治療症例の内容
- 治療カテゴリ
- 担当医
- 患者様
- 40代女性
- 治療期間
- 3ヶ月
- 治療回数
- 2-5回
- 治療計画
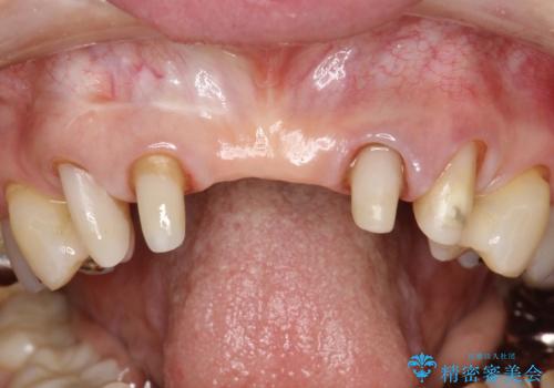
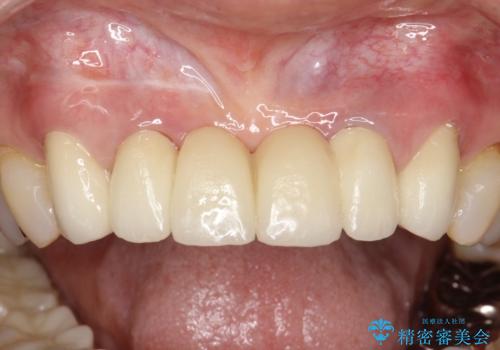
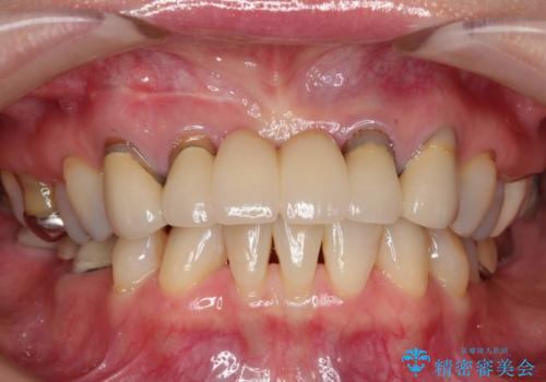
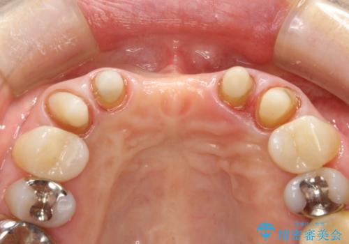
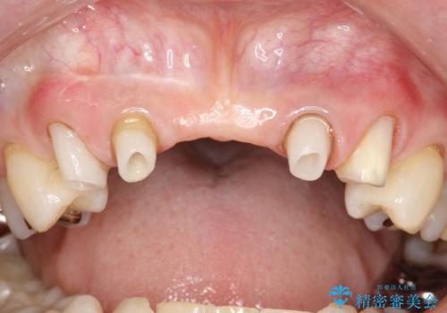
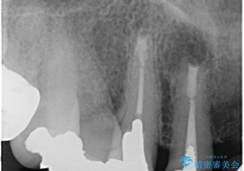
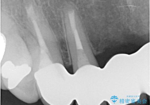
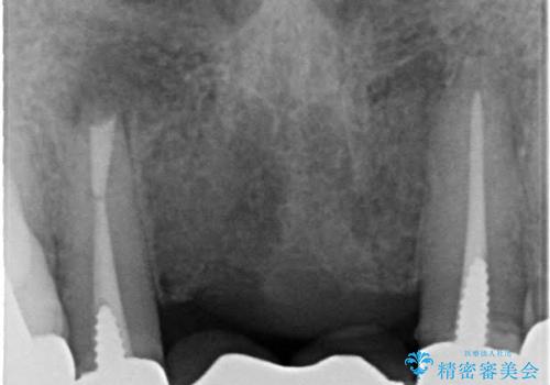
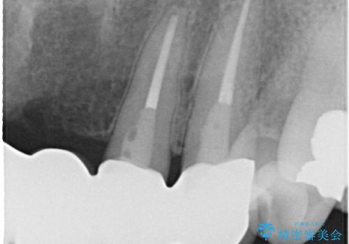
- 仮歯の製作、古い土台(メタルコア)の除去まで行い、根管治療は専門医に依頼
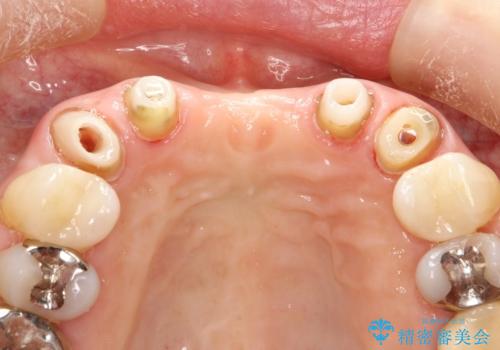
→根管治療終了後、ファイバーコアを築造し、新しいセラミックブリッジを製作した。
- 費用(概算)
- 約75万円費用は治療当時の料金となります
治療について
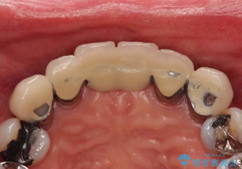
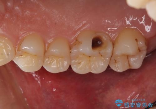
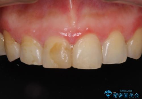
一見きれいにはいっているセラミックも、はずして中の状態をみるとひどいことが多い。これは、中の土台の状態や処理のクオリティは、短期的には問題を起こしづらく、患者さんには見えない部分だからです。
かぶせ物の種類:PFZ standard
根管治療の注意事項(リスク・副作用など)
- 根管治療により類似の全ての症例の問題が解決するわけではなく、症例はあくまでも一例です
- 根管治療により痛みや腫れがひかない事や、術後に痛みや腫れが生じる事、治療によるファイル破折やパーフォレーションなどの偶発症、術後の歯根破折を生じる可能性もあります
- 自費診療(保険適用外)となります
セラミック治療の注意事項(リスク・副作用など)
- 天然歯を削ります
- 硬い素材は天然歯を傷つけてしまう場合があります
- かみ合わせや歯ぎしりが強すぎる方はセラミックが割れてしまう可能性があります
- 自費診療(保険適用外治療)となります
当サイトの内容、テキスト、画像等の無断転載、複製、複写、盗用を固く禁じます。





















