症例詳細
Case detail
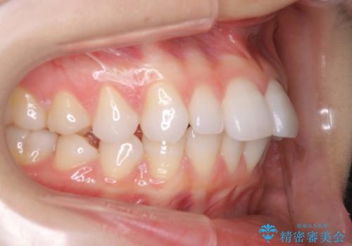
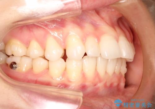
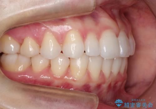
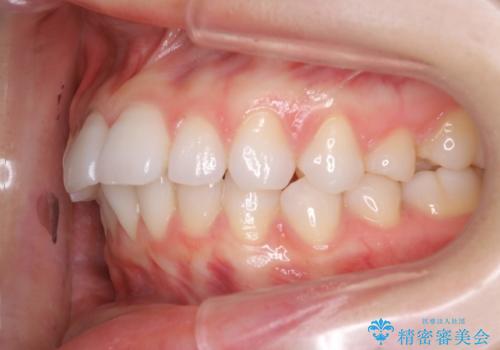
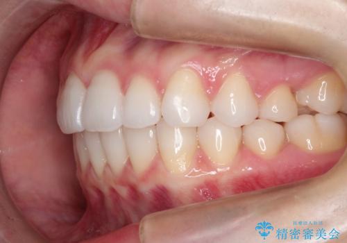
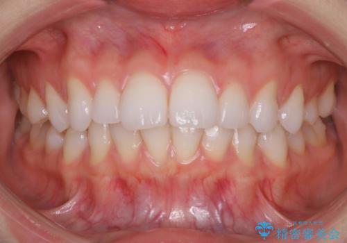
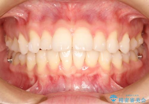
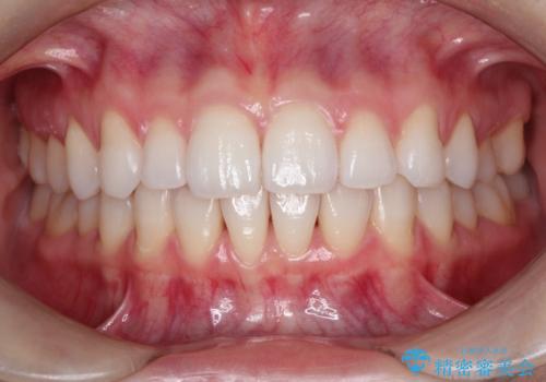
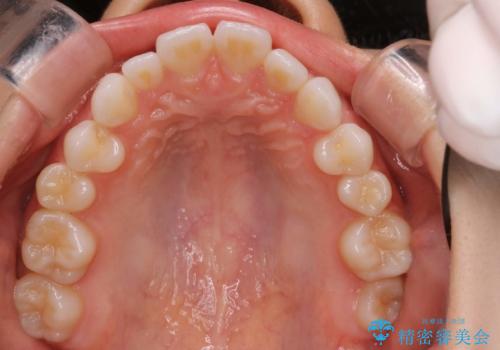
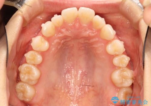
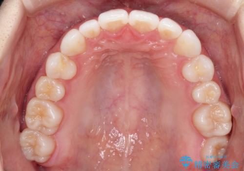
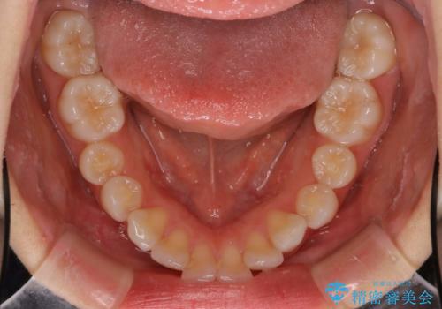
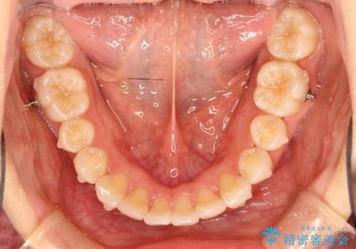
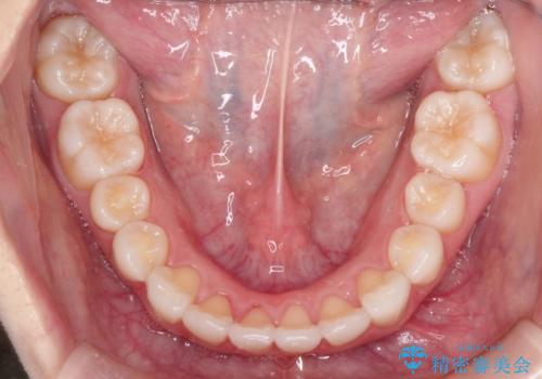
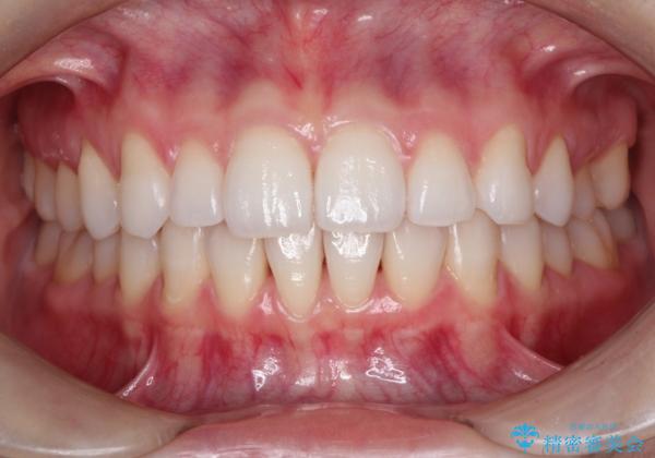
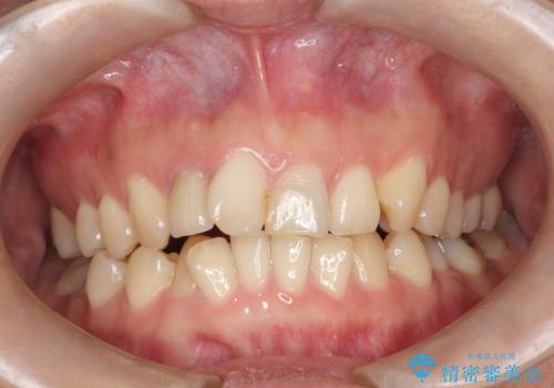
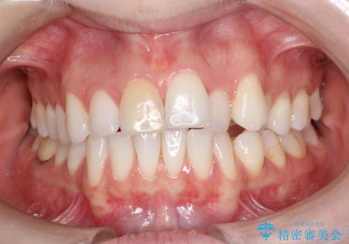
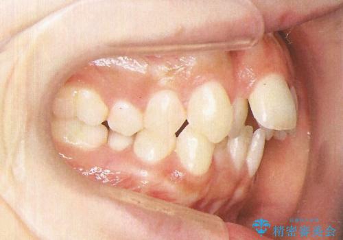
インビザラインで出っ歯を改善する 抜歯をしないinvisalign治療
治療症例の内容
- 診療科目
- 担当医
- 患者様
- 20代女性
- 矯正装置
- invisalign full
- 治療期間
- 1年5ヶ月
- 治療回数
- 10-30回
- 治療計画
- 非抜歯・遠心移動による前突の改善をマウスピースにて計画した。
- 費用(概算)
- 約80万円費用は治療当時の料金となります
治療について
非抜歯矯正の場合、大きく前歯を下げることはできませんが、奥歯の遠心移動や歯のサイズダウンにより歯軸を立て、見かけ上の出っ歯感をある程度改善することができます。
マウスピース矯正の注意事項(リスク・副作用など)
- 口腔内・歯並びの状態によっては対応できない場合があります
- マウスピース型矯正装置の長時間装着(1日20時間以上)が必須です
- 治療計画通りに進めるためには、患者様の意志が重要になります
- 矯正治療後の保定が不十分だと後戻り(元の位置に戻ろうとする動き)をします
- 薬機法対象外の矯正歯科装置のため医薬品副作用被害救済制度の対象外となる場合があります
- 自費診療(保険適用外)となります
当サイトの内容、テキスト、画像等の無断転載、複製、複写、盗用を固く禁じます。





















