症例詳細
Case detail
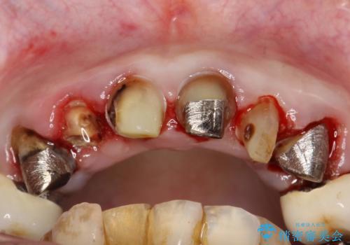
前歯の低クオリティな治療の実態 妥協無い治療で根本からやり治す
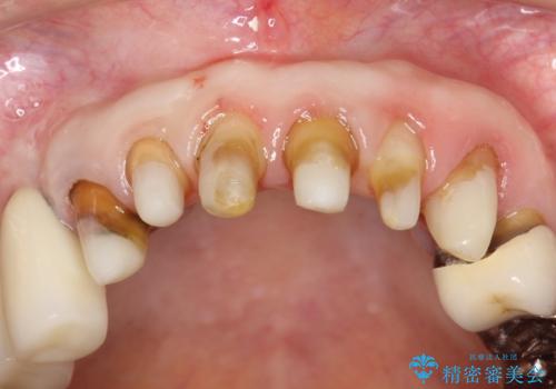
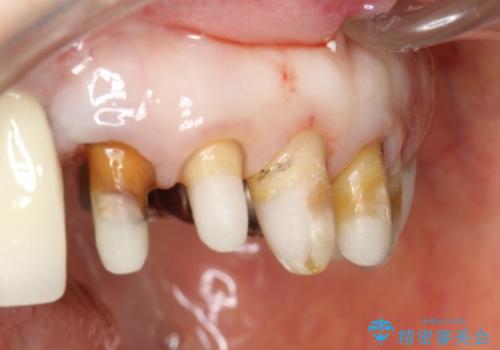
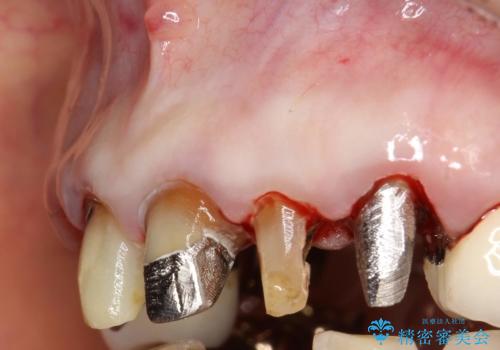
治療症例の内容
- 患者様
- 50代女性
- 治療期間
- 9ヶ月
- 治療回数
- 5-10回
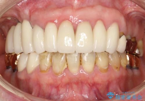
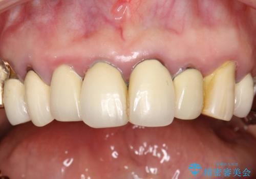
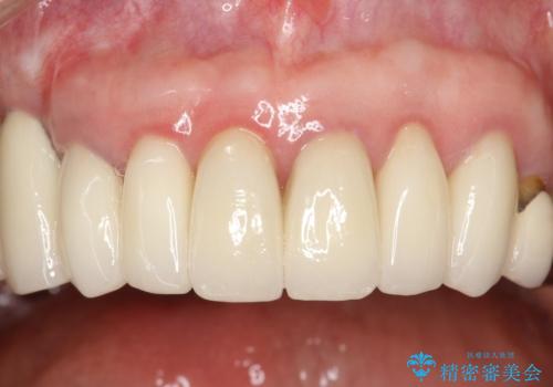
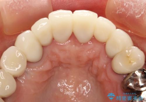
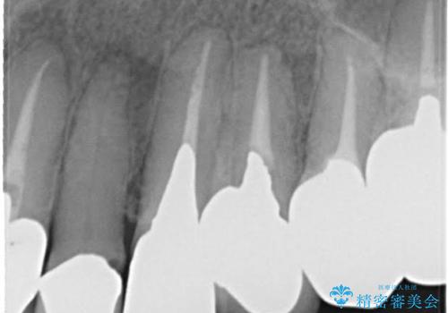
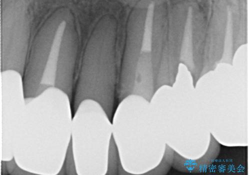
- 治療計画
- 歯周外科・再根管治療後、クラウンを製作する。
- 費用(概算)
- 約112万円費用は治療当時の料金となります
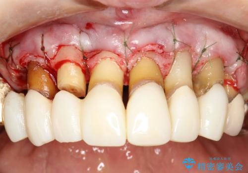
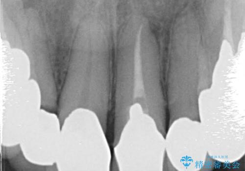
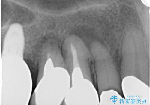
治療について
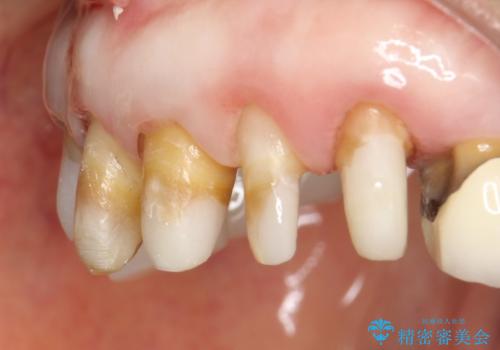
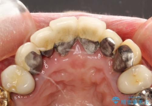
・虫歯がとりきれていない
・接触部分がガタガタで適合の悪い金属
・全く無菌の努力がされていない根管治療
など、いい加減な治療は「治療」ではなく、むしろ医原性に歯の寿命を短くします。
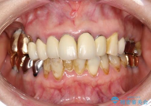
最もよくないのは、クオリティの低い治療を何度も繰り返すことです。
時間をかけ、妥協なく治療を行い、今後の再治療の可能性を極力少なくするために、
費用や時間といった労力がかかってしまうのは当然のことです。
かぶせ物の種類:PFZ standard
歯周病治療の注意事項(リスク・副作用など)
- 外科手術のため、術後に痛みや腫れ、違和感を伴います
- 歯周組織再生治療は患者様の状態によって術後の経過が異なります(見た目が改善しない場合もあります)
- 歯周組織再生治療は自費診療(保険適用外)となります
根管治療の注意事項(リスク・副作用など)
- 根管治療により類似の全ての症例の問題が解決するわけではなく、症例はあくまでも一例です
- 根管治療により痛みや腫れがひかない事や、術後に痛みや腫れが生じる事、治療によるファイル破折やパーフォレーションなどの偶発症、術後の歯根破折を生じる可能性もあります
- 自費診療(保険適用外)となります
セラミック治療の注意事項(リスク・副作用など)
- 天然歯を削ります
- 硬い素材は天然歯を傷つけてしまう場合があります
- かみ合わせや歯ぎしりが強すぎる方はセラミックが割れてしまう可能性があります
- 自費診療(保険適用外治療)となります
当サイトの内容、テキスト、画像等の無断転載、複製、複写、盗用を固く禁じます。






















