症例詳細
Case detail
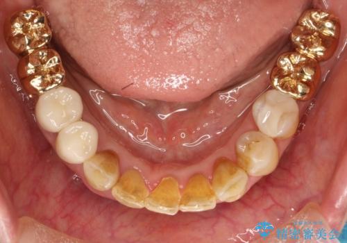
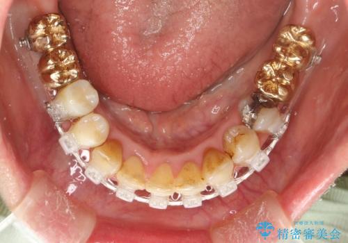
片顎の部分矯正 ワイヤーを用いて短期間でガタつきを改善する
治療症例の内容
- 診療科目
- 治療カテゴリ
- 担当医
- 患者様
- 50代女性
- 治療期間
- 5ヶ月
- 治療回数
- 2-5回
- 治療計画
- 歯列から逸脱した歯を1本抜歯し、ワイヤーを用いて短期間で歯列をきれいに整えた。
- 費用(概算)
- 約20万円費用は治療当時の料金となります
治療について
下顎の歯列を整えることで、上の歯に対して無理な咬み合わせで強い負担がかかることもなくなり、また歯ブラシもしやすくなることで、長期的に良い環境を整えることにつながります。
ワイヤー矯正の注意事項(リスク・副作用など)
- 治療中は違和感や痛みが起こることがあります
- 症状により、抜歯が必要な場合があります
- 治療中は歯磨きがしにくくなるため、虫歯や歯周病になりやすくなります
- 矯正治療後の保定が不十分だと後戻り(元の位置に戻ろうとする動き)をします
- 自費診療(保険適用外)となります
当サイトの内容、テキスト、画像等の無断転載、複製、複写、盗用を固く禁じます。




