症例詳細
Case detail
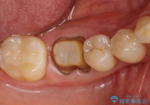
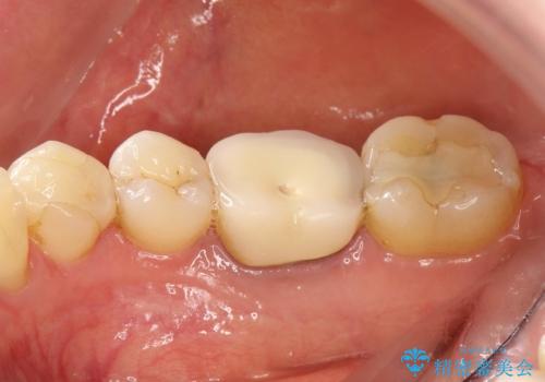
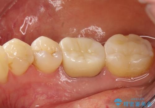
咬んだ時の違和感 顕微鏡で発見された歯の穴を処置し、かみ合わせを回復する
治療症例の内容
- 担当医
- 患者様
- 40代女性
- 治療期間
- 3ヶ月
- 治療回数
- 2-5回
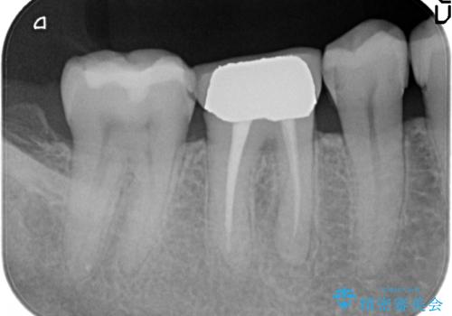
- 治療計画
- 再根管治療にて発見されたパーフォレーションを修復し、改めてかぶせ物を製作する。
- 費用(概算)
- 再根管治療→クラウンの再作:21万円 セラミックインレー:7万円費用は治療当時の料金となります
治療について
レントゲンに大きな問題がなくても、実際に顕微鏡で見ることにより様々な問題が露呈することはよくあります。
再治療の繰り返しにより歯に穴があいてしまっていることもよくありますが、このような深い位置の穴は、特殊なセメントで封鎖することにより非常に経過良く処置することができます。
かぶせ物の種類:Bellezza
根管治療の注意事項(リスク・副作用など)
- 根管治療により類似の全ての症例の問題が解決するわけではなく、症例はあくまでも一例です
- 根管治療により痛みや腫れがひかない事や、術後に痛みや腫れが生じる事、治療によるファイル破折やパーフォレーションなどの偶発症、術後の歯根破折を生じる可能性もあります
- 自費診療(保険適用外)となります
セラミック治療の注意事項(リスク・副作用など)
- 天然歯を削ります
- 硬い素材は天然歯を傷つけてしまう場合があります
- かみ合わせや歯ぎしりが強すぎる方はセラミックが割れてしまう可能性があります
- 自費診療(保険適用外治療)となります
当サイトの内容、テキスト、画像等の無断転載、複製、複写、盗用を固く禁じます。









