症例詳細
Case detail
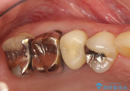
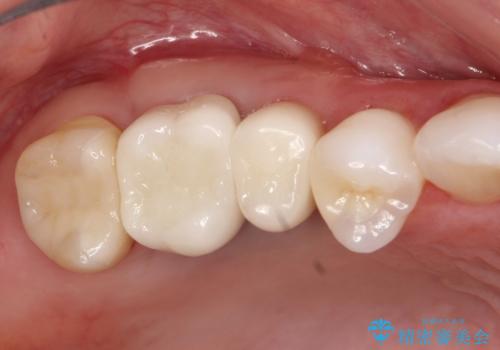
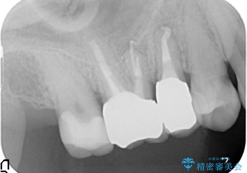
歯周外科・根管治療による長期予後を期待する奥歯の治療
治療症例の内容
- 患者様
- 30代女性
- 治療期間
- 8ヶ月
- 治療回数
- 5-10回
- 治療計画
- 歯周外科による歯肉・歯の相対的な位置関係の改善
→治癒待ちの間に再根管治療、ファイバーコアの築造
→セラミッククラウンの製作
- 費用(概算)
- 約45万円費用は治療当時の料金となります
治療について
根管治療や歯周外科などは、患者さんのモチベーションにあまり寄与しない反面非常に重要度が高い。これをいかに理解していただいて、労力を割くかどうかで、今後の歯のもちに大きな違いがあるといえる。
詰め物の種類:e.max press In
かぶせ物の種類:PFZ Standard
根管治療の注意事項(リスク・副作用など)
- 根管治療により類似の全ての症例の問題が解決するわけではなく、症例はあくまでも一例です
- 根管治療により痛みや腫れがひかない事や、術後に痛みや腫れが生じる事、治療によるファイル破折やパーフォレーションなどの偶発症、術後の歯根破折を生じる可能性もあります
- 自費診療(保険適用外)となります
歯周病治療の注意事項(リスク・副作用など)
- 外科手術のため、術後に痛みや腫れ、違和感を伴います
- 歯周組織再生治療は患者様の状態によって術後の経過が異なります(見た目が改善しない場合もあります)
- 歯周組織再生治療は自費診療(保険適用外)となります
セラミック治療の注意事項(リスク・副作用など)
- 天然歯を削ります
- 硬い素材は天然歯を傷つけてしまう場合があります
- かみ合わせや歯ぎしりが強すぎる方はセラミックが割れてしまう可能性があります
- 自費診療(保険適用外治療)となります
当サイトの内容、テキスト、画像等の無断転載、複製、複写、盗用を固く禁じます。









