症例詳細
Case detail
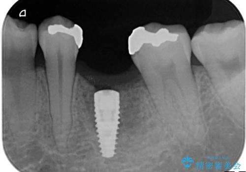
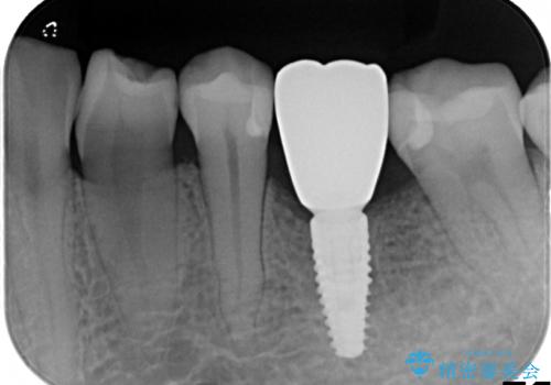
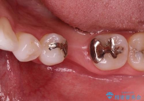
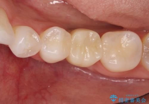
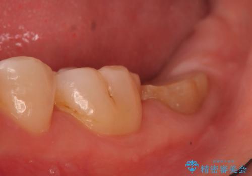
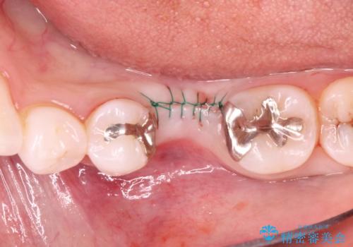
深い虫歯により抜歯となった奥歯 インプラント治療でかみ合わせを回復する
治療症例の内容
- 患者様
- 30代女性
- 治療期間
- 6ヶ月
- 治療回数
- 5-10回
- 治療計画
- 保存不可能な歯の抜歯後、待時にてインプラントを埋入、2回法にて咬合回復を計画した。
同時に、前後の歯の金属のやり直しも行った。
- 費用(概算)
- インプラント:32万円 セラミックインレー:7万円/本費用は治療当時の料金となります
治療について
今後しっかりとつかっていけるかどうか、予後の悪い歯を、リスクを承知で残すのか、
抜歯をしてインプラントにするのか、
どちらが正しいということはありませんが、後者の方が予測実現性が高く、再治療の可能性は低いといえます。
インプラントの種類:strauman SLActive
かぶせ物の種類:Bellezza screw retain
インプラント治療の注意事項(リスク・副作用など)
- 外科手術のため、術後に痛みや腫れ、違和感を伴います
- メンテナンスを怠ったり喫煙により、お口の中に大きな悪影響を及ぼすインプラント周囲炎等にかかる可能性があります
- 糖尿病、肝硬変、心臓病等の場合、インプラント治療ができない可能性があります
- 高血圧、貧血・不整脈等の場合、インプラント治療後に治癒不全を招く可能性があります
- 自費診療(保険適用外治療)となります
セラミック治療の注意事項(リスク・副作用など)
- 天然歯を削ります
- 硬い素材は天然歯を傷つけてしまう場合があります
- かみ合わせや歯ぎしりが強すぎる方はセラミックが割れてしまう可能性があります
- 自費診療(保険適用外治療)となります
当サイトの内容、テキスト、画像等の無断転載、複製、複写、盗用を固く禁じます。








