症例詳細
Case detail
出っ歯をセラミックで治したい
治療症例の内容
- 診療科目
- 治療カテゴリ
- 担当医
- 井上季実子(ドクタープロフィール)
- 患者様
- 10代女性
- 治療期間
- 3ヶ月
- 治療回数
- 2-5回
- 治療計画
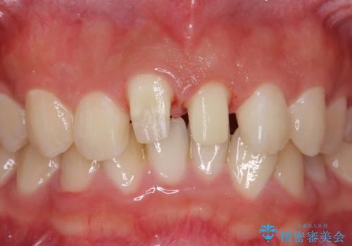
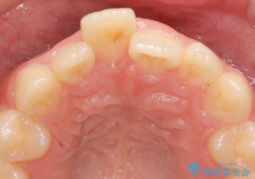
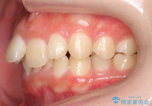
- 前歯の突出を主訴に来院。
矯正治療は絶対したくないとのことでした。
矯正治療をするメリット(神経を取らずに済む、歯を削らずに済む、セラミックを入れずに済む、歯ぐきのラインが整う)をお話しましたが、希望されませんでした。
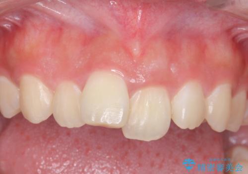
部分矯正なども提示しましたが、早く治すセラミック治療を選択されました。
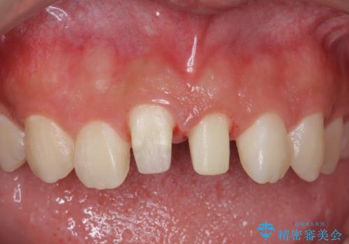
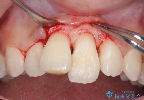
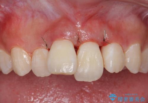
前歯の角度や歯ぐきのラインに差が大きかったため、やむなく神経をとり、歯ぐきの手術を行い出来るだけ歯ぐきのラインを整えるようにしました。
手術をしなければ左上1番の歯ぐきのラインは左上2番よりも下にきてしまい、長さの短い歯になってしまうところでした。
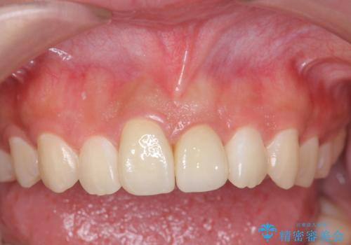
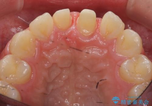
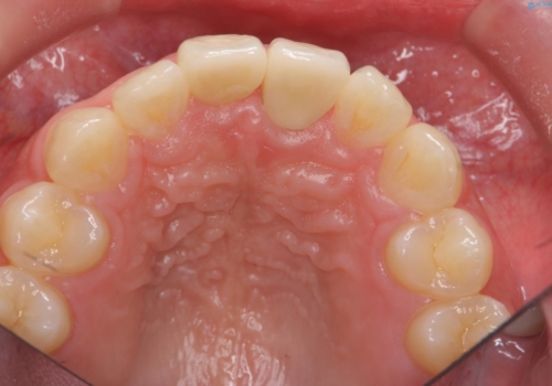
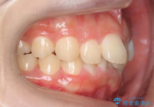
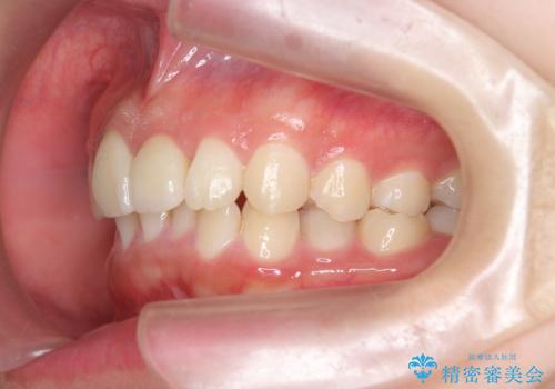
治療結果には大変満足されていました。
- 費用(概算)
- 31万円(ジルコニアクラウン(スタンダード)10万円x2、仮歯 1万円x2 ファイバーコア 2万円x2 ジンジペクトミー 5万円)費用は治療当時の料金となります
治療について
笑っても大きく歯ぐきが見える方ではなかったので、歯ぐきのラインが目立つことはなかったです。
手術をしなければ左上1番の歯頚ラインは左上2番よりも短い位置になっていたため、歯自体の長さが不自然なほど短くなってしまったと思います。
矯正治療もご自身の歯を生かしていけますが、後戻りの問題や、前歯のみを動かすことが不可能なため、セラミック治療と同じくメリット、デメリットがあります。
セラミック治療の注意事項(リスク・副作用など)
- 天然歯を削ります
- 硬い素材は天然歯を傷つけてしまう場合があります
- かみ合わせや歯ぎしりが強すぎる方はセラミックが割れてしまう可能性があります
- 自費診療(保険適用外治療)となります
当サイトの内容、テキスト、画像等の無断転載、複製、複写、盗用を固く禁じます。



















