症例詳細
Case detail
歯冠長延長術を併用した審美的歯科治療
治療症例の内容
- 診療科目
- 治療カテゴリ
- 担当医
- 患者様
- 50代男性
- 治療期間
- 7ヶ月
- 治療回数
- 5-10回
- 治療計画
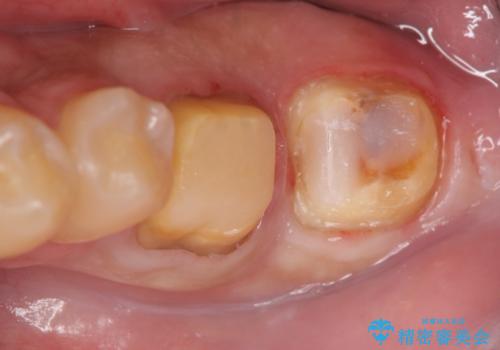
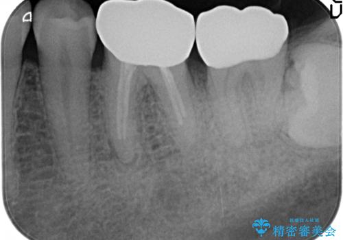
- 左下7の歯しみる、被せ物を被せてもすぐに外れてしまうといらっしゃった方の症例です。
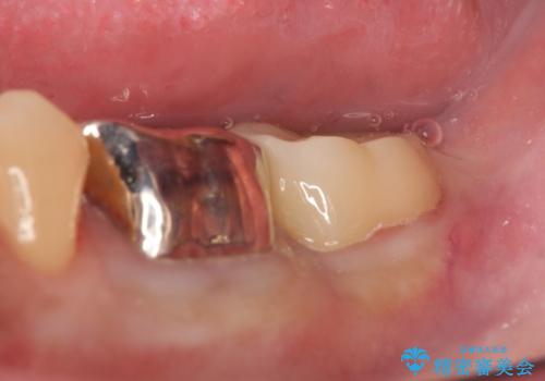
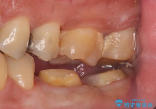
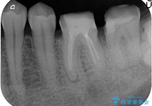
左下に被せ物を被せるクリアランス(補綴のための上下のスペース)ないため、十分な歯冠長を確保するため歯冠長延長術を行いました。
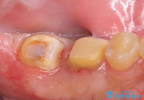
その後歯肉の回復を待ち、フルジルコニアクラウンにて補綴を行いました。
- 費用(概算)
- フルジルコニアクラウン…¥70,000、歯冠長延長術…¥100,000費用は治療当時の料金となります
虫歯治療について
虫歯治療は虫歯の進行度によって処置が変わってきます。
虫歯が小さければ、インレー・クラウン等による修復・補綴処置を行うだけで済みます。
しかし虫歯が大きくなると神経処置や抜歯等をしなければならない場合もあります。
ですので虫歯治療においては早期発見・早期治療が肝要です。
歯冠長延長術について
歯冠長延長術とは歯肉弁根尖側移動術とも言い、歯の高さが低くクラウン(被せ物)による治療が難しい場合に、歯茎を歯根方向に下げることで歯の高さを確保する手術です。歯の高さが十分にあることで、外れにくいしっかりとしたクラウンを被せることができます。
セラミック治療の注意事項(リスク・副作用など)
- 天然歯を削ります
- 硬い素材は天然歯を傷つけてしまう場合があります
- かみ合わせや歯ぎしりが強すぎる方はセラミックが割れてしまう可能性があります
- 自費診療(保険適用外治療)となります
当サイトの内容、テキスト、画像等の無断転載、複製、複写、盗用を固く禁じます。


















