症例詳細
Case detail
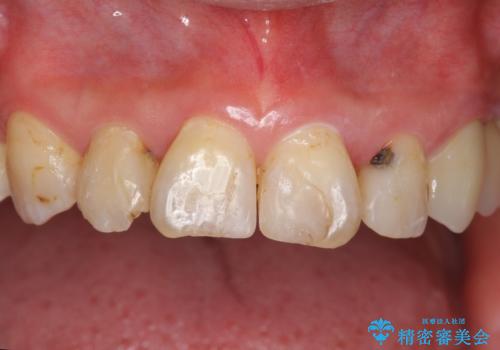
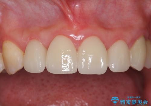
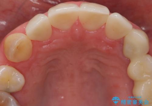
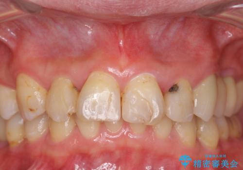
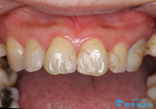
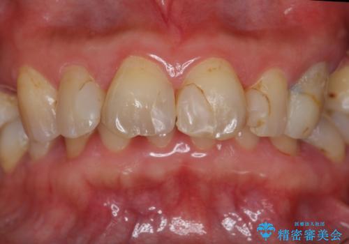
前歯の虫歯 つぎはぎの歯をセラミックに
治療症例の内容
- 診療科目
- 治療カテゴリ
- 担当医
- 井上季実子(ドクタープロフィール)
- 患者様
- 30代女性
- 治療期間
- 2ヶ月
- 治療回数
- 2-5回
- 治療計画
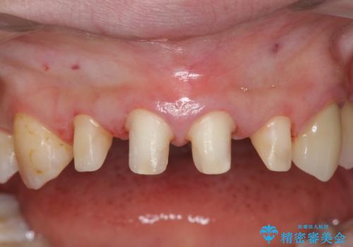
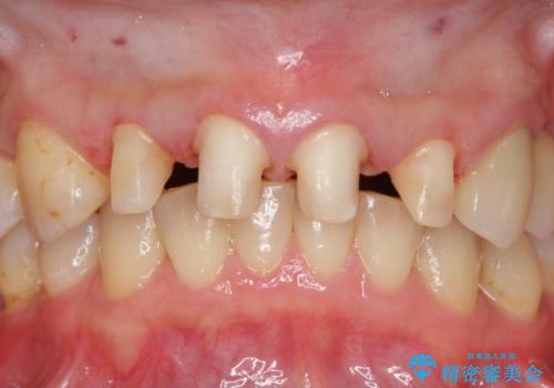
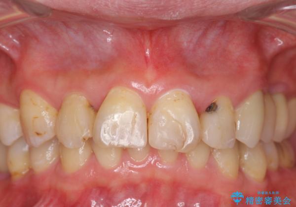
- 矯正治療後に、前歯の樹脂の詰め物のやりかえを提案していましたが、治療は当時行いませんでした。
その後3年間来院がなく、その間に前歯の虫歯の進行があり、治療を行いました。
やはり、樹脂で虫食い状になってしまうと虫歯が進行しやすくなっているためクラウンがおすすめです。
- 費用(概算)
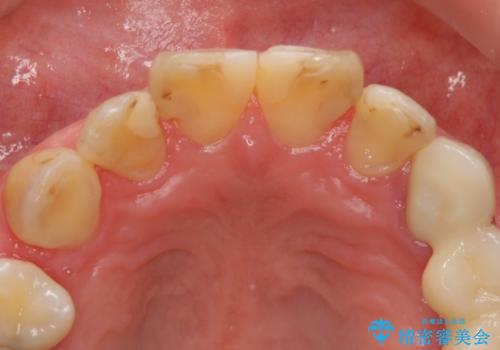
- 37万円(左上4:e-max クラウン 7万円x4、仮歯 1万円x4 右上2ファイバーコア:2万円x1 プレミアムナイトガード 3万円) 矯正治療は別費用は治療当時の料金となります
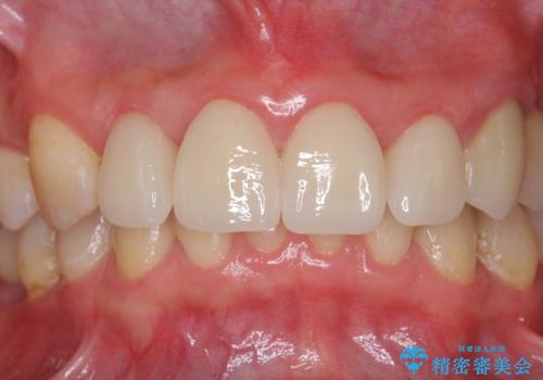
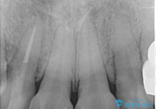
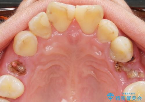
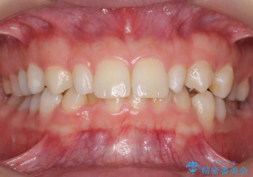
治療について
下の前歯との距離(クリアランス)が大きくは取れなかったため、ジルコニアクラウンではなくe-maxクラウンにしました。
また、歯ぎしりでセラミックがかけるのを防ぐために、就寝時にはナイトガードを装着してもらっています。
セラミック治療の注意事項(リスク・副作用など)
- 天然歯を削ります
- 硬い素材は天然歯を傷つけてしまう場合があります
- かみ合わせや歯ぎしりが強すぎる方はセラミックが割れてしまう可能性があります
- 自費診療(保険適用外治療)となります
当サイトの内容、テキスト、画像等の無断転載、複製、複写、盗用を固く禁じます。















