症例詳細
Case detail
40代女性 前歯の重なり あきらめずに矯正
治療症例の内容
- 診療科目
- 治療カテゴリ
- 担当医
- 井上季実子(ドクタープロフィール)
- 患者様
- 40代女性
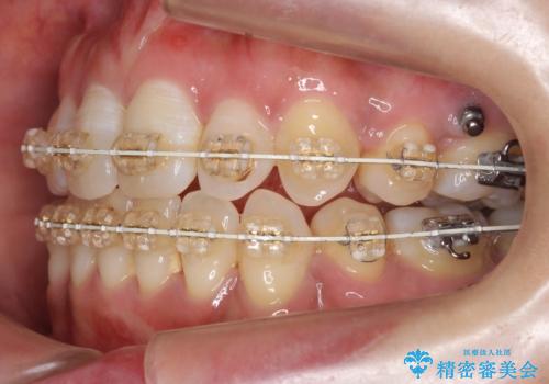
- 矯正装置
- 審美装置
- 治療期間
- 2年5ヶ月
- 治療回数
- 10-30回
- 治療計画
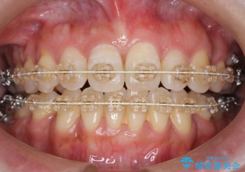
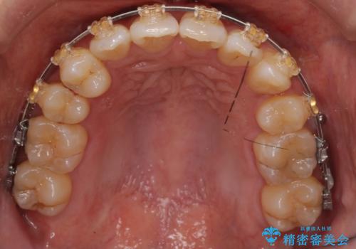
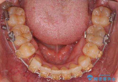
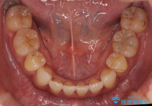
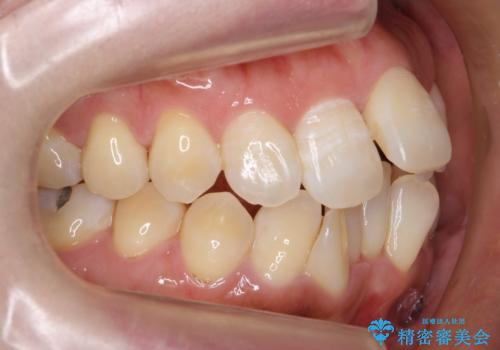
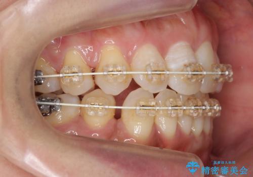
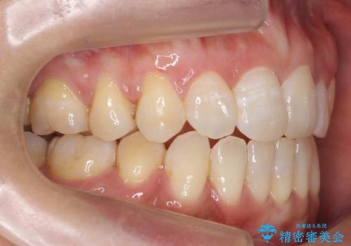
- 前歯の重なりを主訴に来院。
前歯が顔の真ん中に飛び出しているような状態でした。
右上の犬歯が奥深く埋伏していました。
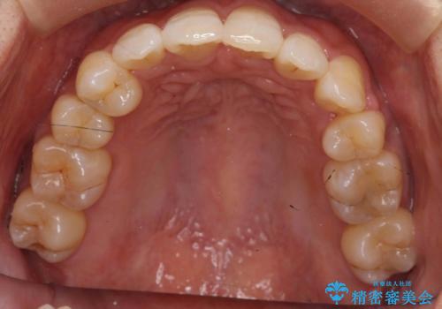
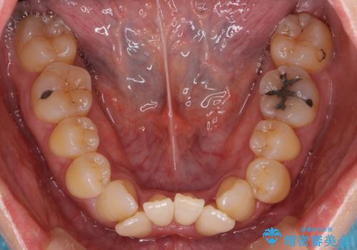
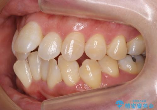
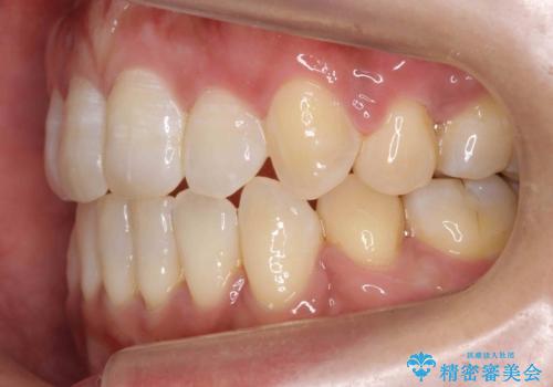
右上以外の3本を抜歯しきちんと並べました。
矯正に年齢は関係ありません、あきらめずにまずはご相談を!
- 費用(概算)
- 95万円費用は治療当時の料金となります
治療について
成人の矯正でしたので、矯正治療前にしっかり必要な歯周病治療を行い、状態が改善してから開始しました。
前歯も引っ込み、口が閉じやすくなりました。
ワイヤー矯正の注意事項(リスク・副作用など)
- 治療中は違和感や痛みが起こることがあります
- 症状により、抜歯が必要な場合があります
- 治療中は歯磨きがしにくくなるため、虫歯や歯周病になりやすくなります
- 矯正治療後の保定が不十分だと後戻り(元の位置に戻ろうとする動き)をします
- 自費診療(保険適用外)となります
当サイトの内容、テキスト、画像等の無断転載、複製、複写、盗用を固く禁じます。





















