症例詳細
Case detail
抜かない、削らない矯正 大人も上顎を骨から広げます
治療症例の内容
- 診療科目
- 治療カテゴリ
- 担当医
- 井上季実子(ドクタープロフィール)
- 患者様
- 20代女性
- 矯正装置
- 審美装置
- 治療期間
- 2年2ヶ月
- 治療回数
- 10-30回
- 治療計画
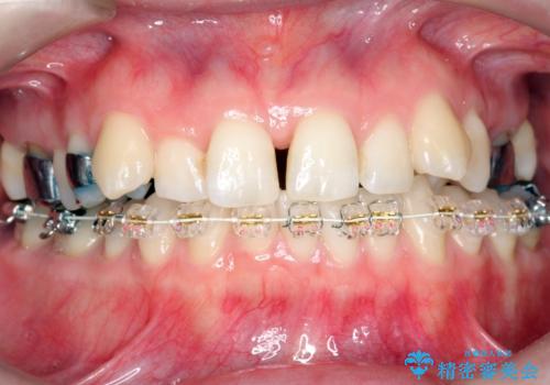
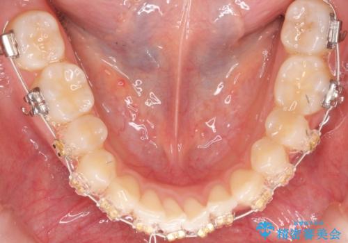
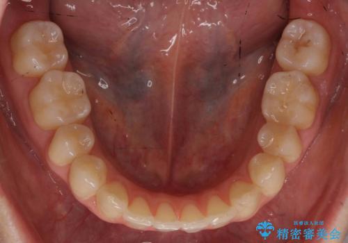
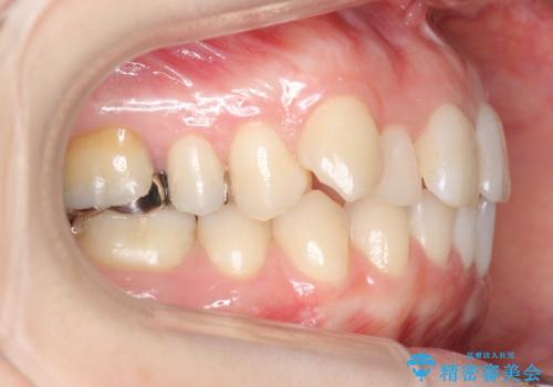
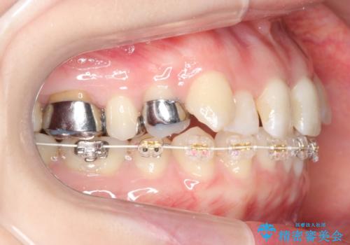
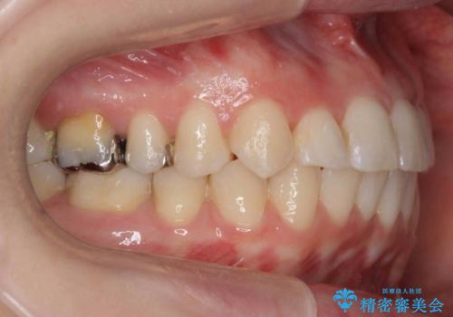
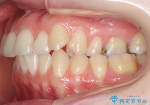
- 八重歯を主訴に来院。
上顎の幅が狭く、左側奥歯がかみ合わせが逆になっていました。
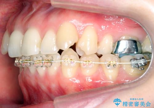
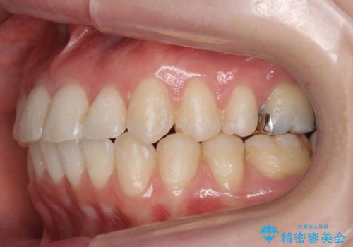
上顎を骨ごと広げ、また、左上の奥歯を後ろに下げることで歯を抜かずにかみ合わせを整えることができました。
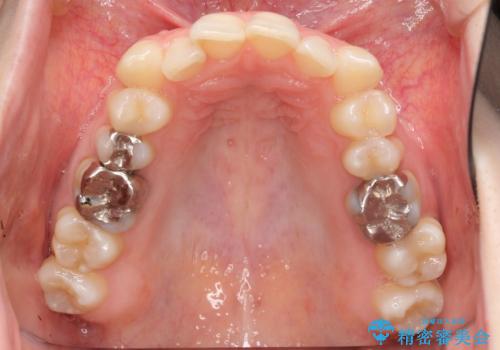
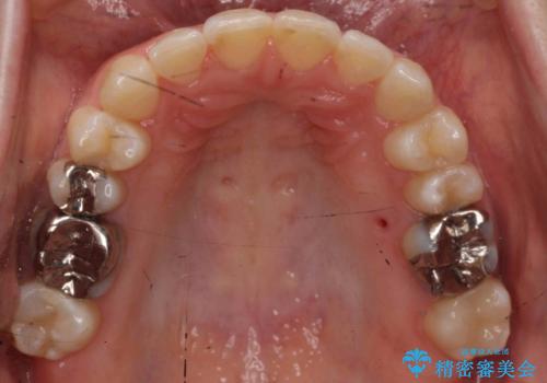
大人でも、上顎にミニスクリューと急速拡大装置を組み合わせる装置MARPE (microimplant- assisted rapid expansion) を使用して、土台から上顎を広げることができます。
昔は子供しか骨ごと広げることができませんでしたが、今はいい装置が開発されています。
骨ごと広げることで、歯を抜かずに済んだり、無理な角度を取らせないですみます。
- 費用(概算)
- 100万円(通院費、リテーナー代込み)費用は治療当時の料金となります
治療について
左上奥歯の後方移動にもミニスクリューを使用しています。
ワイヤー矯正の注意事項(リスク・副作用など)
- 治療中は違和感や痛みが起こることがあります
- 症状により、抜歯が必要な場合があります
- 治療中は歯磨きがしにくくなるため、虫歯や歯周病になりやすくなります
- 矯正治療後の保定が不十分だと後戻り(元の位置に戻ろうとする動き)をします
- 自費診療(保険適用外)となります
当サイトの内容、テキスト、画像等の無断転載、複製、複写、盗用を固く禁じます。



















