症例詳細
Case detail
異臭のする歯を抜歯 奥歯のセラミックブリッジ治療
治療症例の内容
- 診療科目
- 治療カテゴリ
- 担当医
- 藤巻太一朗(ドクタープロフィール)
- 患者様
- 20代女性
- 治療期間
- 4ヶ月
- 治療回数
- 2-5回
- 治療計画
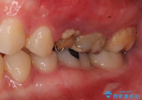
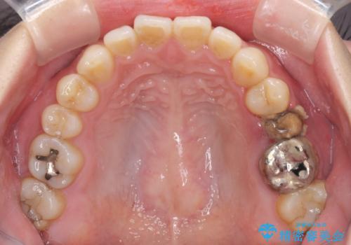
- 他院で大きな虫歯の歯を引っ張り出す治療中、あまりにも異臭がするとのことで来院された患者様です。
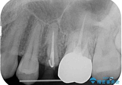
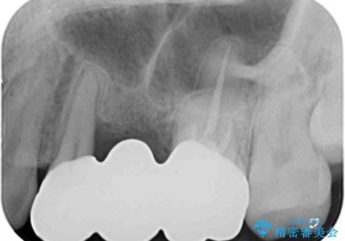
診査したところ、虫歯が広範囲で、粗造になった歯の表面に汚れがこびりついていました。また、歯根の半分以上の深さにまで亀裂が生じており、保存は不可能と診断しました。
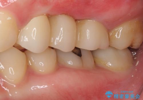
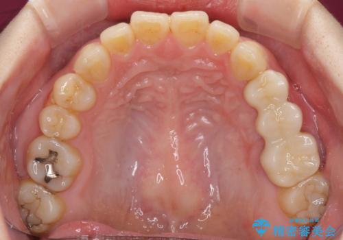
抜歯後に治癒を待って、フルジルコニアブリッジにて補綴することとしました。
- 費用(概算)
- 治療費の目安: 24万円費用は治療当時の料金となります
治療について
抜歯をしたことで、ずっと気になっていた異臭から解放されました。
手前の歯を削ってブリッジ治療とするのか、インプラントによる治療とするのか、悩んでいらっしゃいましたが、奥歯の銀歯もセラミックにしたいとのことで、ブリッジ治療を選択されました。
セラミック治療の注意事項(リスク・副作用など)
- 天然歯を削ります
- 硬い素材は天然歯を傷つけてしまう場合があります
- かみ合わせや歯ぎしりが強すぎる方はセラミックが割れてしまう可能性があります
- 自費診療(保険適用外治療)となります
当サイトの内容、テキスト、画像等の無断転載、複製、複写、盗用を固く禁じます。










