症例詳細
Case detail
長い間虫歯を放置 奥歯のブリッジ治療
治療症例の内容
- 診療科目
- 治療カテゴリ
- 担当医
- 藤巻太一朗(ドクタープロフィール)
- 患者様
- 30代男性
- 治療期間
- 2ヶ月
- 治療回数
- 2-5回
- 治療計画
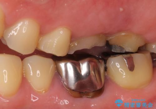
- 長い間虫歯を放置しており、違和感を感じ始めてきたので治療を開始したいと来院された患者様です。
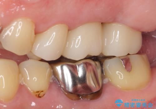
極力抜歯が回避する方法を選択して診察を開始しましたが、1本は保存困難と判断されたため、フルジルコニアブリッジによる補綴治療を行うこととしました。
歯根の先端に病変の認められた奥歯は、補綴前に根管治療を行うこととしました。
- 費用(概算)
- 治療費の目安: 40万円費用は治療当時の料金となります
治療について
違和感を感じていた歯は虫歯が非常に大きく、骨に到達するほどの穴が空いていました。
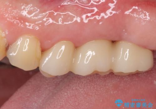
抜歯をしたことで違和感はなくなり、ブリッジを装着したことでしっかりと噛めるようになり、患者様には大変満足していただきました。
セラミック治療の注意事項(リスク・副作用など)
- 天然歯を削ります
- 硬い素材は天然歯を傷つけてしまう場合があります
- かみ合わせや歯ぎしりが強すぎる方はセラミックが割れてしまう可能性があります
- 自費診療(保険適用外治療)となります
当サイトの内容、テキスト、画像等の無断転載、複製、複写、盗用を固く禁じます。









