症例詳細
Case detail
前歯の叢生を治したい インビザラインによる矯正治療
治療症例の内容
- 診療科目
- 治療カテゴリ
- 担当医
- 藤巻太一朗(ドクタープロフィール)
- 患者様
- 30代女性
- 治療期間
- 2年
- 治療回数
- 10-30回
- 治療計画
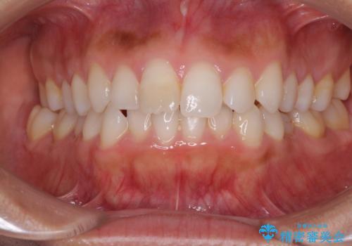
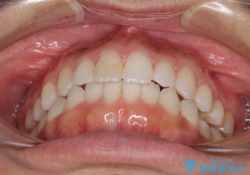
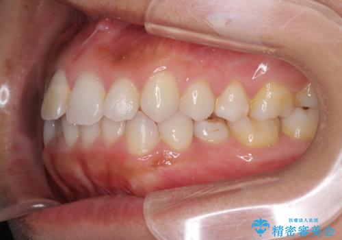
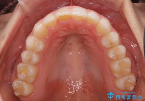
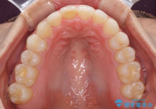
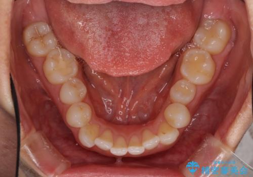
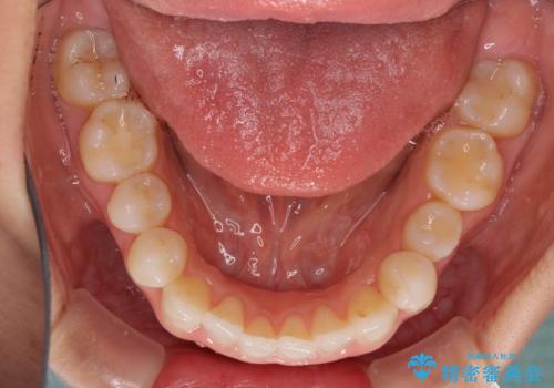
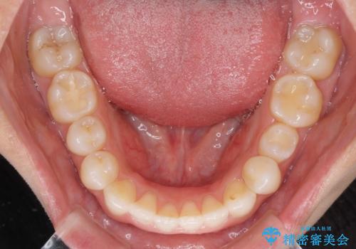
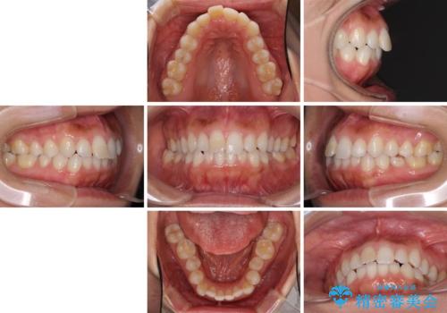
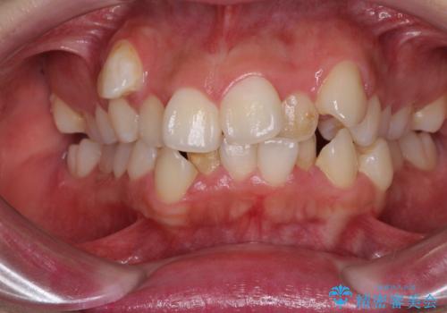
- 上下の前歯のデコボコと奥歯の反対咬合を気にして来院された患者様です。
インビザラインを用い、上下顎ともにIPR(歯と歯の間を削る)により叢生を改善することとしました。
奥歯の反対咬合は、骨格に由来するものであるため、改善できるところまで改善していくこととしました。
- 費用(概算)
- 治療費の目安: 75万円費用は治療当時の料金となります
治療について
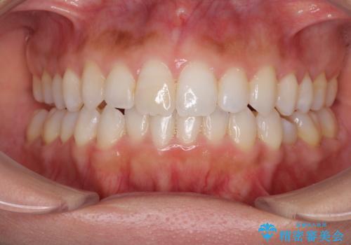
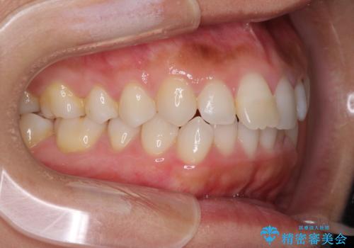
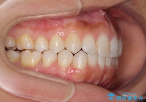
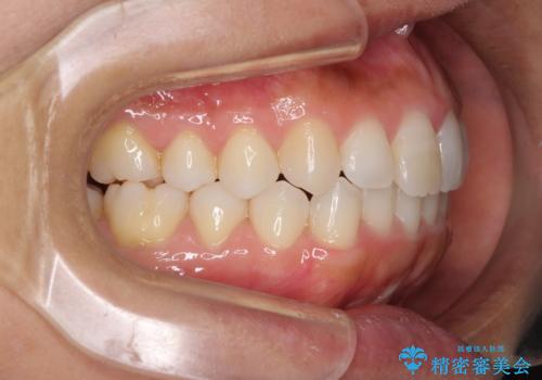
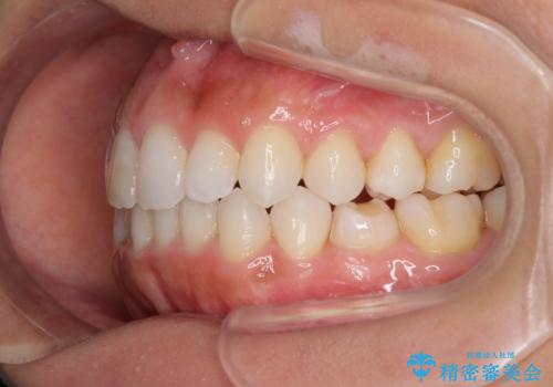
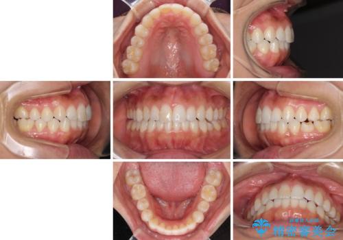
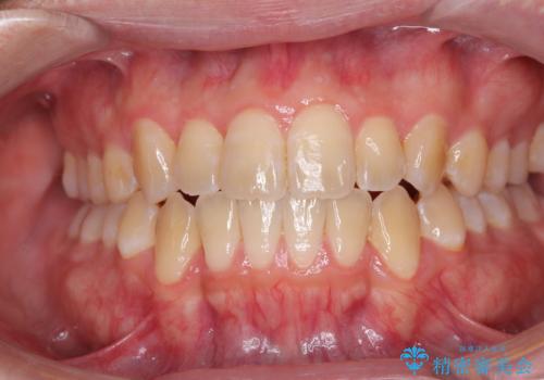
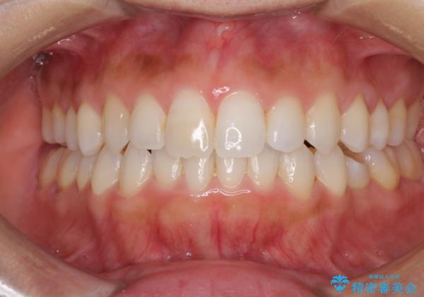
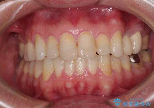
治療を長期化させたくないとのご要望があったので、左下の90度捻転した歯は、捻転した状態のゴールとしました。
反対咬合を改善したことで、歯ぎしりしたときの引っかかる感じがなくなり、奥歯への負担を大きく軽減することができました。
マウスピース矯正の注意事項(リスク・副作用など)
- 口腔内・歯並びの状態によっては対応できない場合があります
- マウスピース型矯正装置の長時間装着(1日20時間以上)が必須です
- 治療計画通りに進めるためには、患者様の意志が重要になります
- 矯正治療後の保定が不十分だと後戻り(元の位置に戻ろうとする動き)をします
- 薬機法対象外の矯正歯科装置のため医薬品副作用被害救済制度の対象外となる場合があります
- 自費診療(保険適用外)となります
当サイトの内容、テキスト、画像等の無断転載、複製、複写、盗用を固く禁じます。


























