症例詳細
Case detail
口が閉じにくい 1本飛び出した前歯の矯正治療
治療症例の内容
- 診療科目
- 治療カテゴリ
- 担当医
- 藤巻太一朗(ドクタープロフィール)
- 患者様
- 30代女性
- 治療期間
- 2年1ヶ月
- 治療回数
- 10-30回
- 治療計画
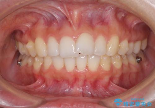
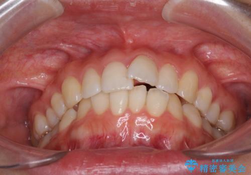
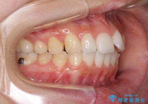
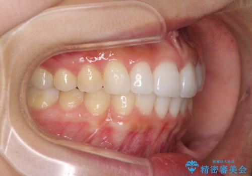
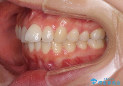
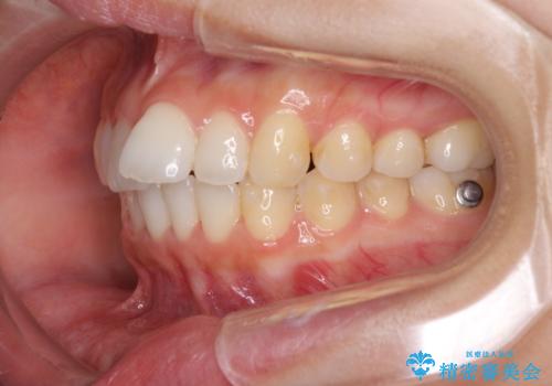
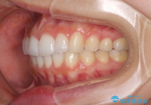
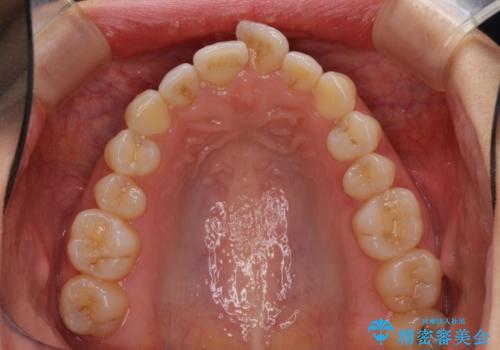
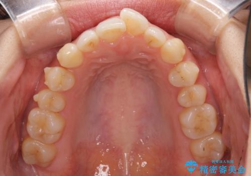
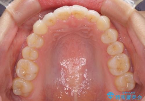
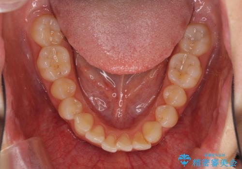
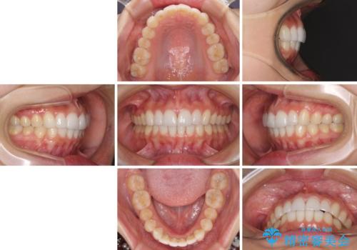
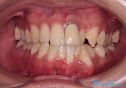
- 1本飛び出した前歯を治したいとのことで来院された患者様です。
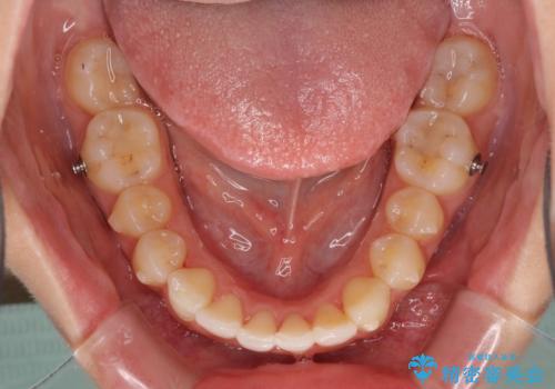
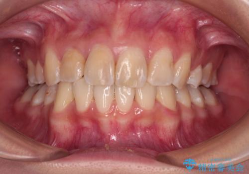
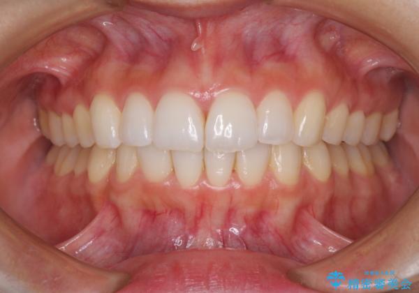
歯列全体の拡大とIPR(歯と歯の間を削る)によってデコボコが解消するようにし、さらにゴムかけを活用して右側の咬み合わせ位置を変えるように設計し、インビザラインにより治療を行うこととしました。
後方移動に際し、上下顎の親知らずは3本とも抜歯することとしました。
- 費用(概算)
- 治療費の目安: 75万円費用は治療当時の料金となります
治療について
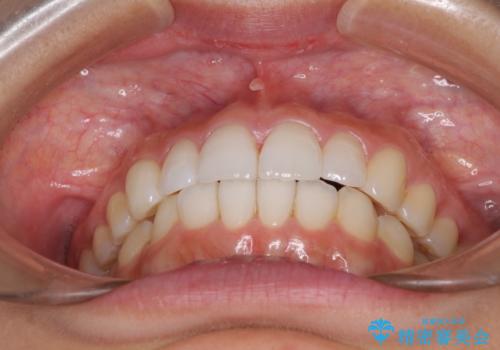
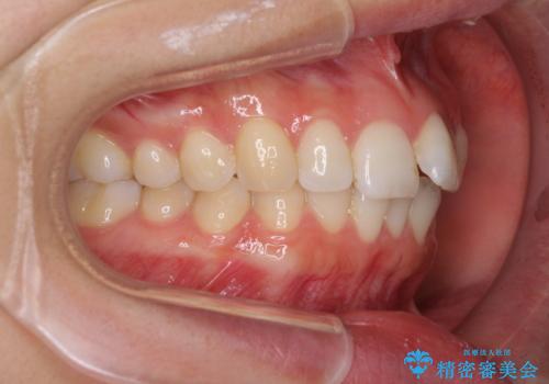
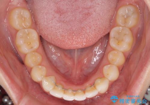
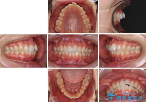
結婚式までに前歯を整えたいとのことでしたが、インビザラインでは先に奥歯を移動させてから前歯を動かすため、間に合わない可能性がありました。しかし、結婚式までに期間があったことと、マウスピースをしっかりと装着してくださったことで、十分な歯列に整えることができました。
楽しく通院していただき、辛いと思っていた治療もあっという間であったそうで、患者様には大変満足していただきました。
マウスピース矯正の注意事項(リスク・副作用など)
- 口腔内・歯並びの状態によっては対応できない場合があります
- マウスピース型矯正装置の長時間装着(1日20時間以上)が必須です
- 治療計画通りに進めるためには、患者様の意志が重要になります
- 矯正治療後の保定が不十分だと後戻り(元の位置に戻ろうとする動き)をします
- 薬機法対象外の矯正歯科装置のため医薬品副作用被害救済制度の対象外となる場合があります
- 自費診療(保険適用外)となります
当サイトの内容、テキスト、画像等の無断転載、複製、複写、盗用を固く禁じます。




























