症例詳細
Case detail
口が閉じずらく、口元出てるのが気になる ワイヤー抜歯矯正による口元の改善
治療症例の内容
- 診療科目
- 治療カテゴリ
- 担当医
- 患者様
- 30代女性
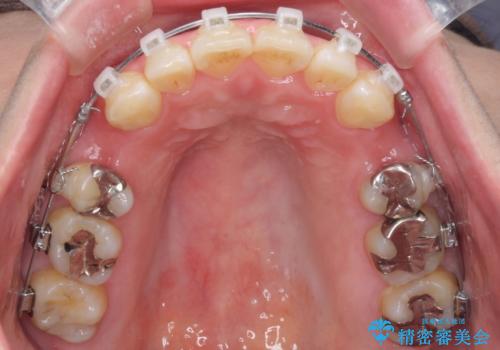
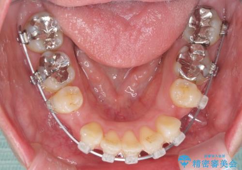
- 矯正装置
- クリアブラケット
- 治療期間
- 2年2ヶ月
- 治療回数
- 10-30回
- 治療計画
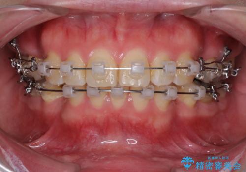
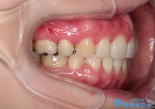
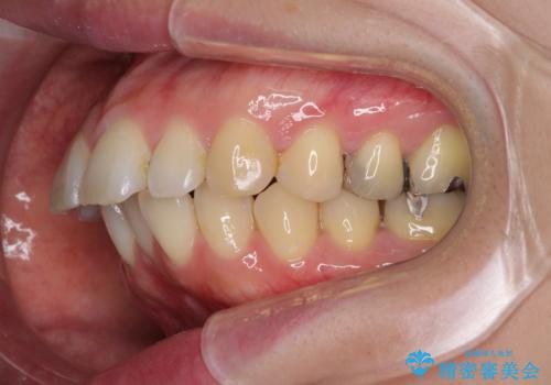
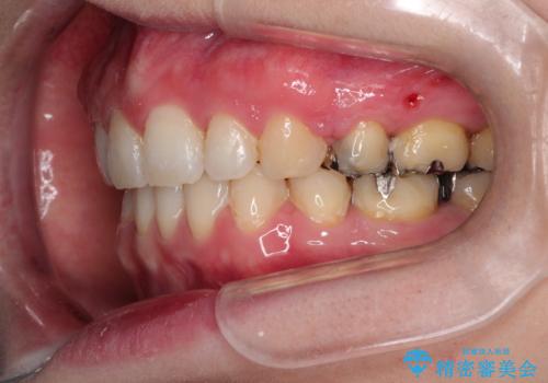
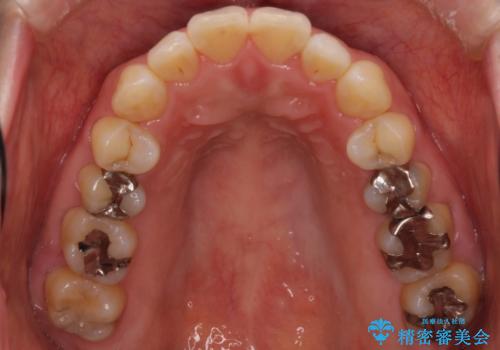
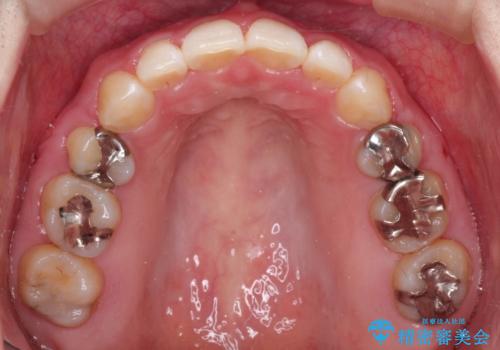
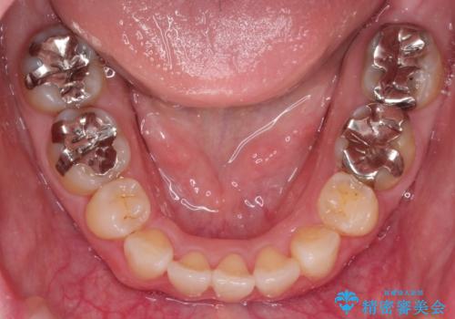
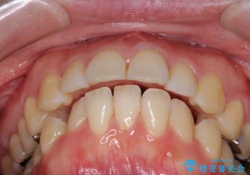
- 口が閉じずらく、口元が突出している状態でした。
上下左右の歯を1本ずつ、合計4本抜歯して、ワイヤーにて矯正することとなりました。
- 費用(概算)
- 約85万円費用は治療当時の料金となります
治療について
もともと下の前歯の永久歯が1本欠損しており、抜歯部位の選択を考慮しなければならない症例でした。シミュレーションを事前に行い、下顎の抜歯部位を決定しました。
ワイヤー矯正の注意事項(リスク・副作用など)
- 治療中は違和感や痛みが起こることがあります
- 症状により、抜歯が必要な場合があります
- 治療中は歯磨きがしにくくなるため、虫歯や歯周病になりやすくなります
- 矯正治療後の保定が不十分だと後戻り(元の位置に戻ろうとする動き)をします
- 自費診療(保険適用外)となります
当サイトの内容、テキスト、画像等の無断転載、複製、複写、盗用を固く禁じます。





















