症例詳細
Case detail
前歯が八重歯でガタガタ ワイヤーによる抜歯矯正
治療症例の内容
- 担当医
 
- 患者様
 - 20代女性
 
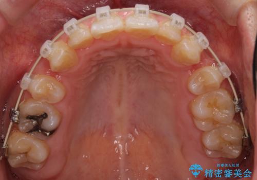
- 矯正装置
 - クリアブラケット
 
- 治療期間
 - 2年6ヶ月
 
- 治療回数
 - 10-30回
 
- 治療計画
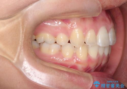
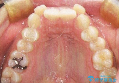
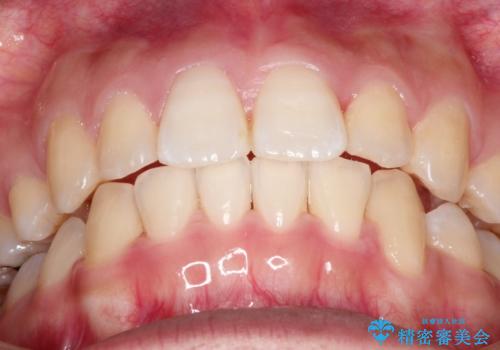
 - 前歯のガタガタを主訴に来院されました。
前歯の重度のガタガタで、八重歯もある状態でした。
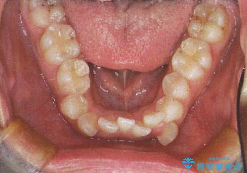
また右下の乳歯が残っており、永久歯が1本足りませんでした。
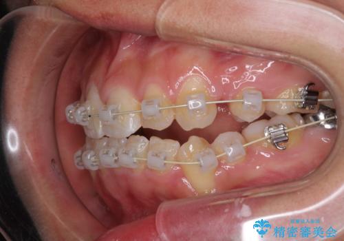
上顎両側と左下の前から4番目の歯と、右下の乳歯を抜歯して矯正することとなりました。
 
- 費用(概算)
 - 約90万円費用は治療当時の料金となります
 
治療について
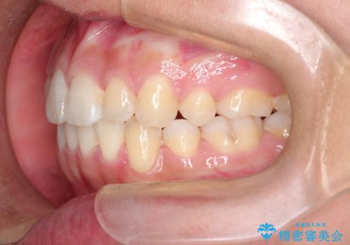
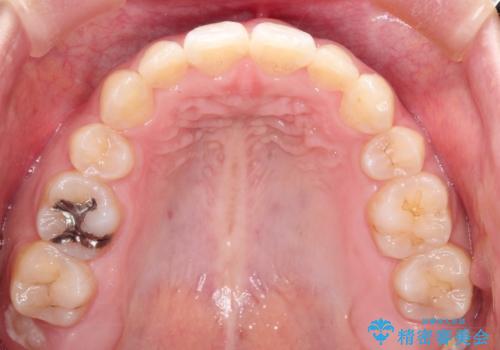
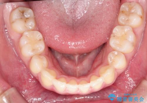
乳歯を抜歯することにより、通常よりは治療期間を要してしまいましが、前歯のガタガタもなくなりきれいな歯並びになったと喜んでいただけました。
ワイヤー矯正の注意事項(リスク・副作用など)
- 治療中は違和感や痛みが起こることがあります
 - 症状により、抜歯が必要な場合があります
 - 治療中は歯磨きがしにくくなるため、虫歯や歯周病になりやすくなります
 - 矯正治療後の保定が不十分だと後戻り(元の位置に戻ろうとする動き)をします
 - 自費診療(保険適用外)となります
 
当サイトの内容、テキスト、画像等の無断転載、複製、複写、盗用を固く禁じます。

                      
                                                          















