症例詳細
Case detail
まだらな色の前歯をきれいにしたい セラミック治療による見た目の改善
治療症例の内容
- 診療科目
- 治療カテゴリ
- 担当医
- 患者様
- 30代女性
- 治療期間
- 2ヶ月
- 治療回数
- 2-5回
- 治療計画
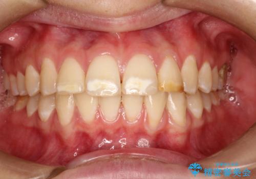
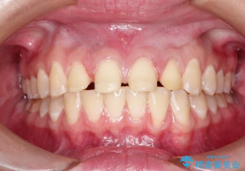
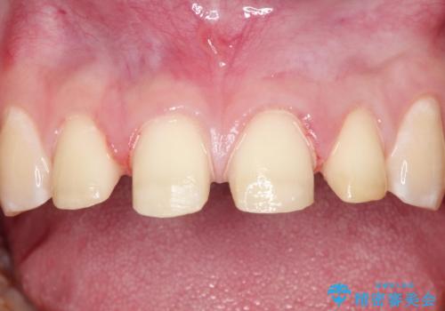
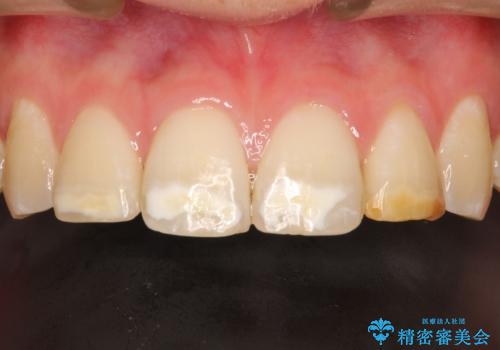
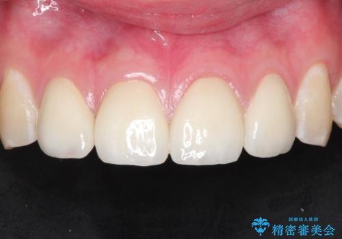
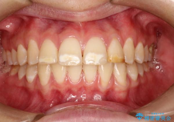
- 前歯をきれいにしたいとのご希望がありました。
生まれつき歯の色が白濁しているところや、黄色くなっているところがあり、セラミッククラウンに審美的改善を行うこととしました。
- 費用(概算)
- 約45万円費用は治療当時の料金となります
治療について
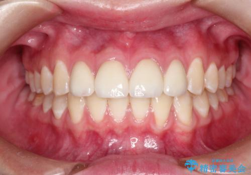
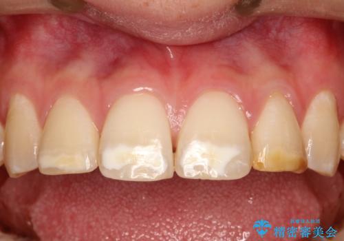
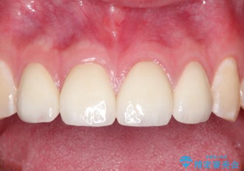
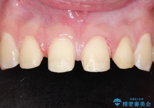
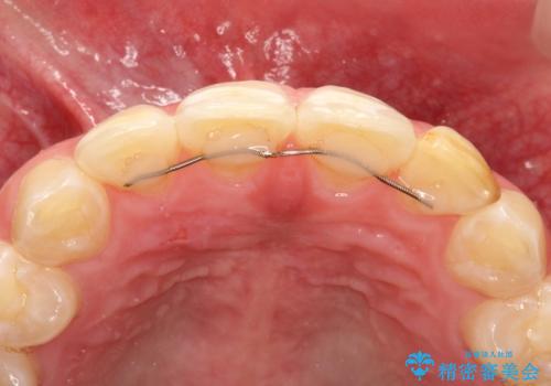
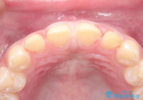
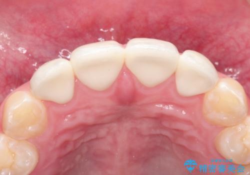
ご自身の歯を削る必要がありましたが、セラミッククラウンを装着することで、審美的改善ができました。
セラミック治療の注意事項(リスク・副作用など)
- 天然歯を削ります
- 硬い素材は天然歯を傷つけてしまう場合があります
- かみ合わせや歯ぎしりが強すぎる方はセラミックが割れてしまう可能性があります
- 自費診療(保険適用外治療)となります
当サイトの内容、テキスト、画像等の無断転載、複製、複写、盗用を固く禁じます。














