症例詳細
Case detail
前歯のメタルをセラミックにしたい 歯自体が変色している場合の参考用
治療症例の内容
- 診療科目
- 治療カテゴリ
- 担当医
- 患者様
- 30代女性
- 治療期間
- 1ヶ月
- 治療回数
- 2-5回
- 治療計画
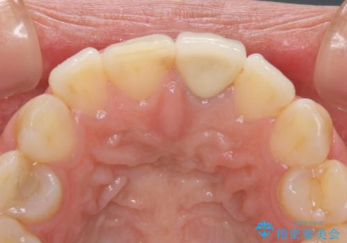
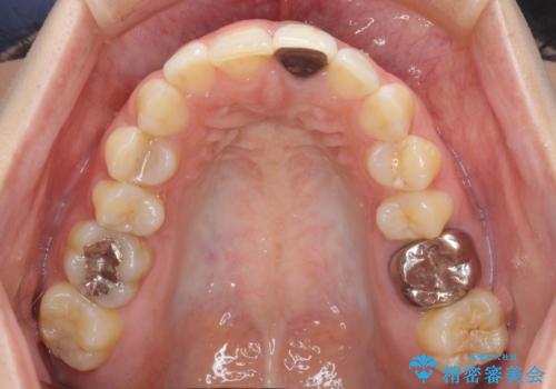
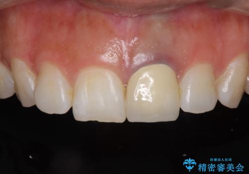
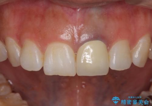
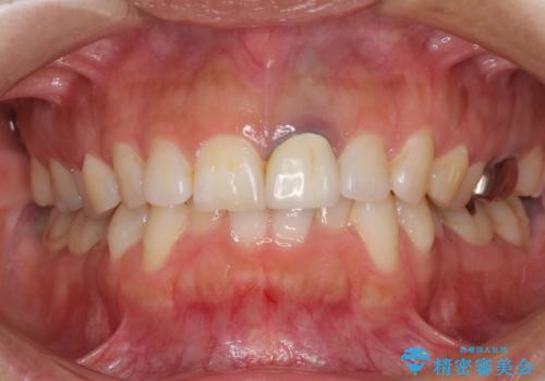
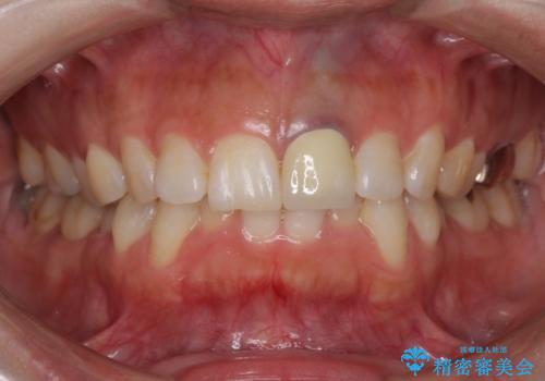
- 前歯をメタルの被せものにしており、セラミックに変えるのを希望された患者様です。
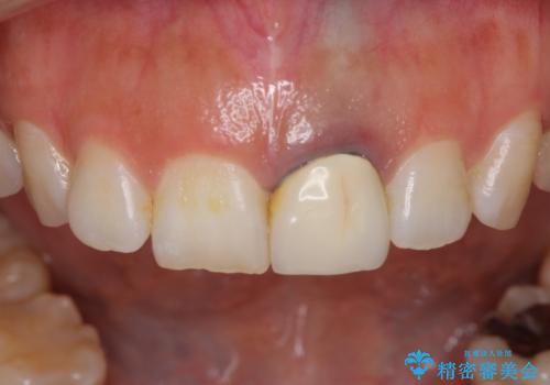
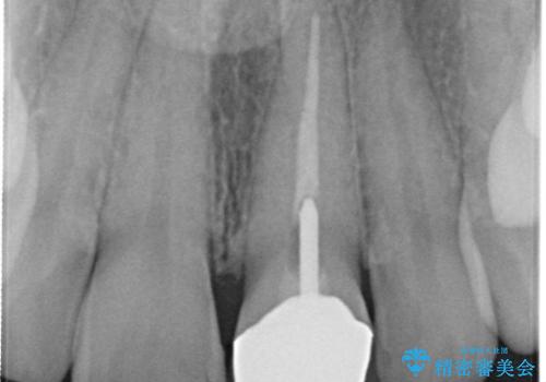
土台も金属だったため、歯がかなり黒く変色していました。
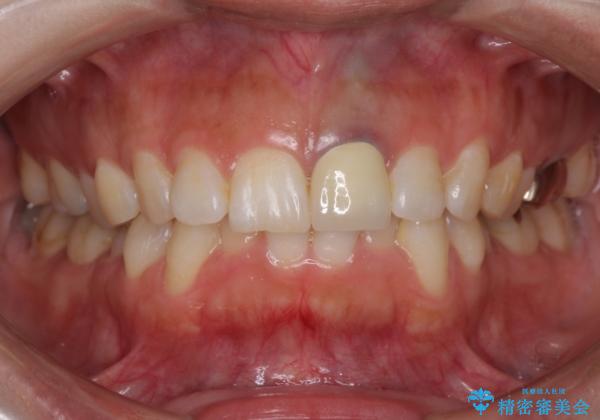
色は完全にとるのが不可能であることをご了承頂いた上で、土台と被せものの治療を行いました。
- 費用(概算)
- 13万円費用は治療当時の料金となります
治療詳細
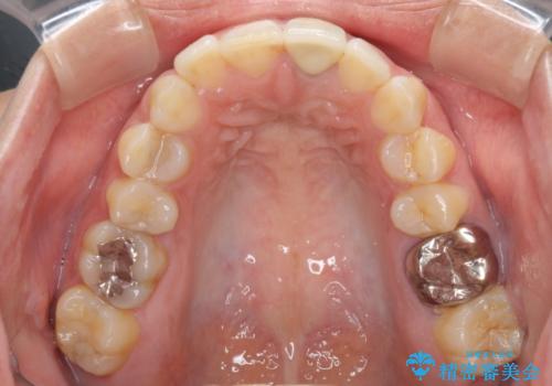
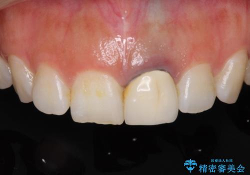
今回は歯自体が黒くなって歯茎から透けて見えている黒ずみのため、セラミック治療で改善させることは困難だというお話をしました。その上でできる範囲できれいに治療することになりました。
今回のように歯自体が金属イオンで黒く変色すると、被せものをメタルフリーにしても黒ずみをすべて隠すのは困難になります。一方、被せものの金属が見えていることが原因の黒ずみの場合は、セラミック治療できれいになりますので、気になる方は一度ご来院ください。
セラミック治療の注意事項(リスク・副作用など)
- 天然歯を削ります
- 硬い素材は天然歯を傷つけてしまう場合があります
- かみ合わせや歯ぎしりが強すぎる方はセラミックが割れてしまう可能性があります
- 自費診療(保険適用外治療)となります
当サイトの内容、テキスト、画像等の無断転載、複製、複写、盗用を固く禁じます。












